Hôi miệng sau 1 đêm là tình trạng thường gặp của rất nhiều người. Vậy, thường xuyên bị hôi miệng khi ngủ dậy có gây nguy hiểm không? Đây là dấu hiệu của bệnh lý nào? Cách trị hôi miệng sau 1 đêm ra sao? Bài viết dưới đây sẽ giải đáp các thắc mắc này, cùng Nha Khoa Peace Dentistry theo dõi nhé!
Hôi miệng sau khi ngủ dậy thường do những nguyên nhân sau đây:
Khi ngủ, cơ thể sản xuất ít nước bọt hơn so với ban ngày. Điều này khiến miệng bị khô, tạo điều kiện cho vi khuẩn phát triển mạnh và sinh ra mùi hôi.
Lười đánh răng, không dùng chỉ nha khoa hoặc không vệ sinh lưỡi trước khi đi ngủ khiến thức ăn còn sót lại ở kẽ răng và bề mặt lưỡi. Sau 1 đêm ngủ dậy vi khuẩn phát triển nhiều hơn khiến hơi thở bạn có mùi khó chịu.
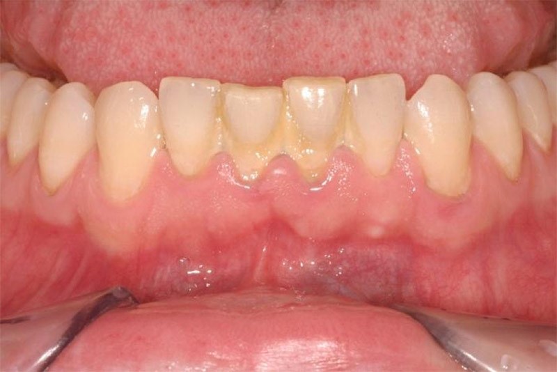
Vôi răng (cao răng) là mảng bám cứng đầu bám chặt ở viền nướu và giữa các kẽ răng. Nếu không được làm sạch định kỳ chúng sẽ ngày càng dày lên, lấn sâu xuống dưới nướu gây ra các bệnh lý như viêm nướu, hôi miệng, răng ố vàng, viêm nha chu…

(Vôi răng tích tụ nhiều là nguyên nhân phổ biến gây hôi miệng)(**)
Một số bệnh lý răng miệng như sâu răng, viêm tủy, viêm nha chu, viêm nướu nghiêm trọng có thể gây mùi hôi dai dẳng.
Người hay hút thuốc lá, uống nhiều rượu bia, thường xuyên thức khuya làm giảm khả năng tiết nước bọt gây khô miệng, hôi miệng kéo dài.
Một số loại thuốc như thuốc chống trầm cảm, thuốc kháng histamin, thuốc lợi tiểu hoặc thuốc điều trị huyết áp có thể làm giảm tiết nước bọt gây khô miệng và làm hôi miệng kéo dài.

(Một số loại thuốc tây có thể gây khô miệng, hơi thở có mùi)(**)
Để chữa hôi miệng sau 1 đêm tạm thời bạn có thể áp dụng các mẹo sau đây:
Uống từ 1.5 – 2 lít nước mỗi ngày. Trước khi ngủ 2 tiếng bạn nên uống một cốc nhỏ nước giúp giữ cho miệng luôn ẩm và hạn chế tình trạng hôi miệng vào sáng hôm sau.
Vệ sinh răng miệng sau khi ăn từ 2 – 3 lần/ngày bằng bàn chải lông mềm. Thao tác đánh răng nên thực hiện nhẹ nhàng theo chiều xoay tròn và nên chải đủ 3 mặt của răng (mặt nhai, mặt trong, mặt ngoài). Lưu ý nên làm sạch vùng lưỡi bằng dụng cụ làm sạch riêng biệt. Sau đó nên dùng thêm chỉ nha khoa để làm sạch các kẽ răng và kết hợp nước súc miệng để loại bỏ các vi khuẩn gây hại.
Kẹo cao su không đường giúp kích thích tiết nước bọt từ đó làm sạch miệng và trung hòa vi khuẩn gây mùi. Đây là cách nhanh và tiện lợi để tạm thời giảm hôi miệng sau khi ăn hoặc trước khi giao tiếp.
Sử dụng nước muối ấm, nước muối sinh lý hoặc các loại nước súc miệng không chứa cồn để loại bỏ vi khuẩn gây hại nhưng không gây khô miệng sau khi dùng.

(Dùng nước súc miệng là cách trị hôi miệng tạm thời nhưng hiệu quả)(**)
Đối với những ai cần giao tiếp ngay buổi sáng, xịt thơm miệng là giải pháp cấp tốc và tiện lợi nhất. Chỉ cần 1–2 lần xịt, mùi hôi được lấn át ngay lập tức, hơi thở trở nên thơm mát hơn. Bạn có thể tham khảo 1 số loại xịt thơm miệng như Listerine Cool Mint, Staycool, Beauty Formulas, Greelux Extra Cool…
Tính axit tự nhiên trong chanh giúp tiêu diệt vi khuẩn gây mùi trong khoang miệng. Để chữa hôi miệng bạn pha 1 thìa nước cốt chanh với 200ml nước ấm dùng để súc miệng vào buổi sáng và sau khi ăn. Mỗi tuần nên áp dụng mẹo này từ 2 – 3 lần đến khi cải thiện.
Gừng có chứa gingerol là hoạt chất kháng khuẩn mạnh và làm ấm cơ thể. Nhai vài lát gừng tươi sau ăn hoặc uống trà gừng mỗi sáng có thể hỗ trợ tiêu hóa, chống viêm dạ dày, đồng thời làm thơm miệng hiệu quả.
Trà xanh được biết đến là thức uống có khả năng chống oxy hóa mạnh, sát khuẩn cao có thể làm giảm triệu chứng viêm nướu, hôi miệng. Để áp dụng cách chữa dân gian này bạn rửa sạch 5-10 lá trà cho vào 250ml nước sôi sau đó để nguội. Mỗi ngày nên súc miệng từ 1-2 lần cho đến khi cải thiện.
Trong lá ổi có chứa tanin, phosphoric, vitamin C … có tác dụng kháng viêm, giảm đau, cải thiện mùi hơi thở. Bạn chỉ cần rửa sạch và ngâm lá ổi non với nước muối từ 5-10 phút. Sau đó đem xay nhuyễn với 200ml nước lọc và chắt lấy nước. Sau khi đánh răng súc miệng với nước lá ổi từ 2 – 3 lần/ngày để đạt hiệu quả tốt nhất.

(Cách trị hôi miệng sau 1 đêm với lá ổi là mẹo được nhiều người áp dụng)(**)
Kiểm soát, điều trị sớm các bệnh lý toàn thân có thể giúp khắc phục triệu chứng hôi miệng hiệu quả. Cụ thể là:

(Kiểm soát tốt các bệnh lý toàn thân sẽ giúp cải thiện mùi hơi thở đáng kể)(**)
Một số bệnh lý như tiểu đường, cao huyết áp, viêm gan… cần điều trị tích cực để hạn chế gây ra các biến chứng nguy hiểm. Khi bệnh đã kiểm soát tốt kết hợp chăm sóc răng miệng đúng cách sẽ giúp kiểm soát mùi hiệu quả.
Một số bệnh lý có thể gây hôi miệng như viêm nướu, viêm nha chu, sâu răng, viêm tủy…
Tùy theo mức độ viêm nướu, viêm nha chu mà bác sĩ sẽ tiến hành cạo vôi răng hoặc kết hợp dùng thuốc kháng sinh. Trám răng đối với răng sâu và chữa tủy nếu răng bị viêm tủy nghiêm trọng.
Bạn nên đến nha khoa kiểm tra nếu có những dấu hiệu sau:
Bác sĩ sẽ khám, chụp phim để thu thập dữ liệu giúp chuẩn đoán chính xác bệnh lý, tình trạng răng
Cao răng là nơi tích tụ vi khuẩn, gây mùi hôi làm nướu dễ sưng viêm. Việc lấy cao răng định kỳ (3 – 6 tháng/lần) giúp làm sạch khoang miệng, giảm mùi hôi hiệu quả.

(Loại bỏ cao răng định kỳ sẽ giúp hơi thở có mùi dễ chịu và ngăn ngừa được một số bệnh lý)(**)
Bác sĩ sẽ cạo vôi răng, làm sạch túi nha chu hoặc có thể dùng thêm thuốc kháng sinh, kháng viêm để tiêu diệt vi khuẩn giúp tái tạo lại mô nướu răng.
Răng sâu, răng chết tủy là nguyên nhân khiến miệng có mùi hôi nặng và dai dẳng. Tùy thuộc vào bệnh lý mà bác sĩ sẽ thực hiện trám răng, điều trị tủy hoặc nhổ răng nếu không thể bảo tồn giúp khắc phục hiệu quả chứng hôi miệng, bảo vệ các răng thật còn lại
Ngoài điều trị, bác sĩ sẽ hướng dẫn bệnh nhân chăm sóc răng miệng tại nhà bằng cách đánh răng 2 – 3 lần/ngày với bàn chải lông mềm và kem đánh răng có fluoride. Cạo lưỡi hàng ngày, dùng chỉ nha khoa và nước súc miệng sát khuẩn thường xuyên để răng và nướu luôn chắc khỏe.

(Chăm sóc răng đúng cách giúp hạn chế mắc các bệnh lý răng miệng)(**)
Hầu hết sau một đêm ngủ dậy hơi thở của mọi người sẽ có mùi khó chịu. Tuy nhiên, tùy theo sức khỏe của mỗi người mà mùi hôi này sẽ ít hoặc nhiều. Hôi miệng cũng là dấu hiệu của nhiều bệnh lý nguy hiểm nên bạn cần theo dõi nhiều hơn. Nếu thấy chúng không có dấu hiệu thuyên giảm bạn nên đến nha khoa, bệnh viện để bác sĩ chẩn đoán và có giải pháp chữa trị phù hợp.
Nếu bạn đang lo lắng mình bị hôi miệng sau 1 đêm là do mắc bệnh lý răng miệng và đang tìm cơ sở uy tín để chữa trị. Tại Tp.HCM, Peace Dentistry là hệ thống nha khoa uy tín hiện nay. Sau 20 năm thành lập với đội ngũ bác sĩ giỏi tận tâm, trang thiết bị, máy móc hiện đại. Với số lượng khách hàng đông đảo mỗi năm. Khi điều trị ở đây bạn sẽ được chữa trị với các bác sĩ có tay nghề cao, nhiều kinh nghiệm, số ca lâm sàng lớn có thể đảm bảo điều trị hiệu quả cho mọi tình trạng răng dù đơn giản hay phức tạp.
Hy vọng thông tin về cách trị hôi miệng sau 1 đêm ở trên đây của chúng tôi đã gửi đến bạn thật nhiều thông tin hữu ích. Để được tư vấn chuyên sâu quý khách hàng có thể inbox fanpage Peace Dentistry Quận 7 hoặc gọi hotline tư vấn dịch vụ: 19002102 để được bác sĩ tư vấn chi tiết nhất.
(Để lại thông tin và vấn đề về răng của bạn, Nha khoa sẽ gọi lại tư vấn ngay)