Chân răng có mùi hôi tiềm ẩn nhiều bệnh lý răng miệng nguy hiểm và gây ảnh hưởng đến lối sống của người bệnh. Vậy, chân răng bị hôi do bệnh nào gây ra? Chúng có gây nguy hiểm không và cách khắc phục như thế nào? Để giải đáp cụ thể về chủ đề này hãy cùng Nha Khoa Peace Dentistry theo dõi bài viết sau đây.
Chân răng có mùi hôi là tình trạng mùi hôi xuất hiện ở quanh các chân răng. Mùi hôi có thể diễn ra trong thời gian ngắn hoặc kéo dài gây ảnh hưởng đến khả năng giao tiếp của người bệnh.

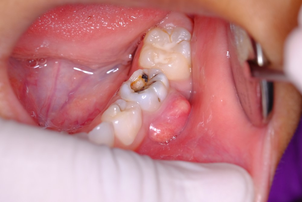
(Cần theo dõi và kiểm tra nếu phát hiện chân răng có mùi hôi)(**)
Không phải ai cũng dễ dàng phát hiện mùi hôi phát ra từ chân răng, bởi tình trạng này thường âm thầm tiến triển. Tuy nhiên, bạn có thể nhận biết chúng qua các dấu hiệu dưới đây:
Mùi hôi ở chân răng thường do những nguyên nhân sau đây:
Đánh răng không đúng cách, không dùng chỉ nha khoa hay bỏ qua việc vệ sinh lưỡi là điều kiện lý tưởng để vi khuẩn tích tụ quanh chân răng. Các vi khuẩn này phân hủy mảnh vụn thức ăn, tạo ra mùi hôi khó chịu và gây ra các bệnh lý về nướu.
Khi mảng bám không được làm sạch sẽ cứng lại thành vôi răng và bám chắc ở chân răng, dưới nướu. Đây là một trong những nguyên nhân gây hôi miệng, viêm nướu và nha chu.
Sâu răng, viêm tủy, áp xe chân răng làm tổn thương mô răng, tủy răng. Trong quá trình ăn uống vi khuẩn, mảng bám sẽ tích tụ ở khu vực này nhiều hơn và sinh ra mùi hôi thối.

(Áp xe chân răng gây hôi miệng kéo dài)(**)
Viêm nha chu là biến chứng của viêm nướu lâu ngày không điều trị. Bệnh lý này có thể gây ảnh hưởng đến ổ xương bên dưới. Viêm nha chu sẽ làm nướu tụt xuống tạo khe hở ở chân răng làm cho vi khuẩn, mảng bám tích tụ và gây mùi hôi thối.
Tình trạng tụt nướu khiến chân răng bị lộ ra ngoài dễ bị mảng bám bám vào và khó vệ sinh sạch. Khi không được làm sạch đúng cách khu vực này dễ bị viêm và phát ra mùi hôi khó chịu.
Một số bệnh lý như tiểu đường, viêm xoang, rối loạn tiêu hóa hoặc nhiễm trùng đường hô hấp cũng có thể ảnh hưởng đến khoang miệng và khiến chân răng bị hôi.
Khi tình trạng này kéo dài và không can thiệp điều trị sẽ dẫn đến những tác hại sau:
Mùi hôi từ chân răng làm cho người bệnh e ngại khi giao tiếp làm ảnh hưởng đến công việc và các mối quan hệ xã hội.
Chân răng có mùi do sâu răng, viêm tủy thường kèm theo các cơn đau nhức, ê buốt khi ăn nhai. Khi ăn uống người bệnh sẽ có xu hướng né vùng răng đang tổn thương và nhai nhiều hơn ở bên còn lại. Về lâu dài có thể gây lệch khớp cắn, các răng còn lại dễ bị suy yếu.
Viêm nha chu, viêm tủy, áp xe chân răng nếu không điều trị kịp thời có thể dẫn đến tiêu xương hàm, lung lay răng và có thể gây mất răng sớm.

(Chân răng bị hôi làm bạn e ngại khi giao tiếp với mọi người)(**)
Để cải thiện mùi hôi chân răng tại nhà bạn có thể làm theo các hướng dẫn sau:
Sau khi ăn nên chải răng từ 2 – 3 lần/ ngày với bàn chải lông mềm và kem đánh răng có chứa fluoride. Thao tác chải răng nên thực hiện theo chiều xoay tròn với lực nhẹ nhàng cho tất cả các răng. Sau đó nên kết hợp dùng chỉ nha khoa, nước súc miệng, bàn chải lưỡi để loại bỏ hiệu quả các vi khuẩn, mảng bám trong khoang miệng.
Hạn chế thực phẩm nặng mùi như hành, tỏi, nước mắm, nước tương, bánh ngọt, tinh bột… Thay vào đó là tăng cường ăn các loại rau xanh, trái cây giàu chất xơ và vitamin C giúp cải thiện sức khỏe răng miệng và giảm mùi hôi hiệu quả.
Cai thuốc lá, hạn chế cà phê và rượu bia vì những yếu tố này sẽ làm khô miệng và thúc đẩy vi khuẩn gây mùi phát triển mạnh hơn quanh chân răng.

(Đánh răng đúng cách giúp loại bỏ vi khuẩn, mảng bám gây hôi miệng hiệu quả)(**)
Tại Peace Dentistry, tùy thuộc vào tình trạng răng, bệnh lý ở mỗi khách hàng mà bác sĩ sẽ chỉ định các phương pháp điều trị sau:
Cao răng tích tụ quanh chân răng là môi trường lý tưởng cho mảng bám, vi khuẩn sinh sôi. Việc lấy cao răng định kỳ 3–6 tháng/lần giúp loại bỏ mảng bám cứng đầu, loại bỏ mùi hôi và làm sạch chân răng hiệu quả.
Nếu chân răng hôi do sâu hoặc viêm tủy bác sĩ sẽ tiến hành điều trị tủy hoặc làm sạch và trám bít lại răng nhằm ngăn ngừa vi khuẩn gây mùi. 2 thủ thuật này còn giúp khôi phục lại thân răng giúp đảm bảo thẩm mỹ và ăn nhai dễ dàng.
Trong trường hợp có viêm nướu hoặc viêm nha chu nha sĩ sẽ thực hiện cạo vôi dưới nướu, nạo túi nha chu hoặc kết hợp với thuốc điều trị để kiểm soát viêm và giảm mùi hôi.
Răng khôn là răng mọc cuối cùng trên cung hàm, nằm sâu bên trong và không có đủ khoảng trống nên chúng thường mọc kẹt, mọc lệch, mọc ngầm, mọc ngang và gây hôi miệng. Nếu phát hiện răng mọc bất thường bạn nên nhổ sớm để loại bỏ mùi hôi và tránh gây ảnh hưởng đến các răng bên cạnh.

(Nhổ răng khôn mọc lệch giúp loại bỏ mùi hôi, ngăn biến chứng cho các răng bên cạnh)(**)
Để đảm bảo quá trình điều trị an toàn, hiệu quả và tránh biến chứng bạn nên ưu tiên lựa chọn nha khoa uy tín. Peace Dentistry là một trong những hệ thống nha khoa uy tín tại Tp.HCM. Ngoài những thế mạnh về niềng răng, trồng răng implant, thẩm mỹ răng sứ. Với đội ngũ bác sĩ giỏi tận tâm, trang thiết bị hiện đại, máy móc tiên tiến. Nha Khoa Peace Dentistry đang là địa điểm được đông đảo khách hàng tin tưởng để chữa chân răng có mùi hôi vì nha khoa đáp ứng được những tiêu chí sau:
Đội ngũ bác sĩ, chuyên gia RHM giỏi chuyên môn, tay nghề cao, giàu kinh nghiệm. Hầu hết các bác sĩ đã hoàn tất các khóa đào tạo sau đại học, các khóa học nâng cao, hội thảo nâng cao chuyên môn ở trong, ngoài nước và đã có chứng chỉ hành nghề. Để chữa hôi chân răng bạn sẽ được điều trị với bác sĩ tổng quát tay nghề cao, thao tác kĩ thuật chuẩn xác, an toàn giúp hạn chế đau nên bạn có thể hoàn toàn yên tâm.

(Đội ngũ bác sĩ, chuyên gia tại nha khoa Peace Dentistry)(**)
Nha khoa được đầu tư các trang thiết bị, công nghệ hiện đại được nhập khẩu trực tiếp từ nước ngoài như: ghế nha Kavo Premium Osstem, máy CT Cone Beam, máy Xquang 3 chiều kỹ thuật số Gendex GXDP-700 Series, Itero… giúp chẩn đoán nguyên nhân chính xác và hỗ trợ tối đa trong quá trình điều trị cho khách hàng.

(Hệ thống trang thiết bị, công nghệ tân tiến tại Peace Dentistry)(**)
Phòng tiểu phẫu được vô trùng cự tím để tránh lây nhiễm chéo và đảm bảo an toàn cho khách hàng trong suốt quá trình điều trị. Ngoài ra các dụng cụ cũng đã được tiệt trùng, vô trùng bằng tia cực tím trước khi đem vào phòng tiểu phẫu.

(Khâu vô trùng luôn được đảm bảo nhằm tránh lây nhiễm chéo, đảm bảo an toàn cho khách hàng trong suốt quá trình điều trị)(**)
Hy vọng thông tin về chân răng có mùi hôi ở trên đây của chúng tôi đã gửi đến bạn thật nhiều thông tin hữu ích. Để được tư vấn chuyên sâu quý khách hàng có thể inbox fanpage Peace Dentistry hoặc gọi hotline tư vấn dịch vụ: 19002102 để được bác sĩ tư vấn chi tiết nhất.
(Để lại thông tin và vấn đề về răng của bạn, Nha khoa sẽ gọi lại tư vấn ngay)