Những người bị cười hở lợi họ thường cảm thấy tự ti, e ngại khi giao tiếp với mọi người xung quanh. Vậy, cười hở lợi là gì? Có mấy mức độ hở lợi? Nguyên nhân gây ra và giải pháp khắc phục là gì? Để được giải đáp cụ thể hãy cùng Nha Khoa Peace Dentistry theo dõi bài viết sau đây.
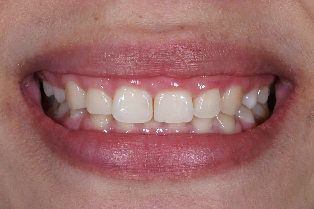
Cười hở lợi là tình trạng mà khi cười bạn sẽ thấy các mô nướu ở hàm trên lộ ra nhiều ở 1 vài vị trí răng hoặc cả hàm. Điều này sẽ gây ảnh hưởng nghiêm trọng đến tính thẩm mỹ và làm nụ cười trông kém duyên hơn.

(Hở lợi làm cho nụ cười trông kém duyên và mất thẩm mỹ)(**)
Thông thường cười hở nướu được chia thành 4 mức độ sau:
Dưới đây là một số nguyên nhân phổ biến dẫn đến cười hở lợi:
Gen di truyền là một trong những nguyên nhân phổ biến dẫn đến cười hở nướu. Nếu trong gia đình có ông bà, ba mẹ gặp tình trạng này thì khả năng cao bạn cũng sẽ gặp vấn đề răng miệng tương tự.

(Gen di truyền có thể quyết định đến tình trạng răng của bạn)(**)
Xương hàm trên phát triển quá mạnh theo chiều dọc sẽ làm cho hàm trên bị dài ra so với hàm dưới. Lúc này răng và nướu sẽ bị đẩy xuống dưới. Khi cười phần môi hàm trên bị nâng cao quá mức khiến cho phần nướu bị lộ ra ngoài nhiều hơn.
Khi bị răng hô các răng sẽ thường mọc chìa ra bên ngoài nhiều hơn. Nên khi cười vành môi trên cũng bị kéo căng hơn làm lộ cả răng và nướu.
Thân răng quá ngắn trong khi đó thì phần nướu ở trên lại phát triển quá mức làm mất cân đối khoảng cách giữa răng và nướu cũng là một trong những nguyên nhân dẫn đến cười hở nướu.
Nhìn chung cười hở nướu không gây ảnh hưởng đến sức khỏe răng miệng nhưng chúng làm ảnh hưởng nghiêm trọng đến tính thẩm mỹ. Người bệnh thường không dám cười thoải mái vì sợ mọi người phát hiện khuyết điểm này. Để nụ cười thu hút hơn, lấy lại sự tự tin trong giao tiếp bạn nên can thiệp các thủ thuật y khoa để bác sĩ cân chỉnh lại tỷ lệ giữa răng và nướu càng sớm càng tốt.

(Ca lâm sàng cắt nướu và dán 4 veneer thiết kế lại nụ cười)(**)
Tại Peace Dentistry, để chữa hở lợi tùy theo tình trạng răng bác sĩ sẽ chỉ định 1 trong 4 giải pháp sau đây:
Cắt lợi thẩm mỹ (cắt nướu laser) thường phù hợp cho khách hàng bị hở lợi ở 4 – 6 răng. Để điều trị bác sĩ sẽ sử dụng tia sáng laser chuyên dụng để cắt phần nướu bị phát triển quá mức, thông thường sẽ dao động khoảng 2mm. Sau khi cắt nướu thân răng sẽ trở nên dài hơn giúp, khoảng cách giữa răng và nướu được cân chỉnh hài hòa.
Niềng răng được xem là một trong những giải pháp chữa sai khớp cắn, cười hở lợi hiệu quả. Để điều trị bác sĩ sẽ sử dụng hệ thống khí cụ bao gồm mắc cài, dây cung, dây thun hoặc hệ thống khay trong suốt để tạo lực tác động cho răng di chuyển. Khi răng di chuyển hệ thống nướu cũng sẽ dịch chuyển và thay đổi theo. Sau điều trị khớp cắn chuẩn sẽ được khôi phục, răng trở nên đều đặn, đường viền nướu hài hòa với răng, tính thẩm mỹ khuôn mặt sẽ được cải thiện đáng kể.

(Khắc phục hiệu quả tình trạng hô do răng kéo theo cười hở lợi được với phương pháp niềng răng)(**)
Tiêm Botox là phương pháp thẩm mỹ không phẫu thuật giúp cải thiện các trường hợp hở lợi do cơ môi kéo lên quá mạnh bằng cách đưa các chất làm đầy vào mô cơ. Ưu điểm của phương pháp này là mang lại hiệu quả nhanh. Sau khi tiêm trương lực cơ môi trên không còn co kéo quá mạnh khi cười giúp khắc phục hiệu quả tình trạng cười hở nướu.
Mài xương ổ là một thủ thuật xâm lấn phù hợp các trường hợp bị hở lợi mức độ nặng. Để thực hiện bác sĩ sẽ tiến hành mài xương ổ răng hoặc cắt xương để điều chỉnh lại tỷ lệ cân đối giữ răng và nướu. Nếu trường hợp xương không quá dài và dày sẽ được mài bớt tránh tình trạng phần nướu bị tổn thương.

(Ca lâm sàng phẫu thuật cắt nướu có điều chỉnh ổ xương cho khách hàng bị hở lợi nhiều)(**)
Tại Peace Dentistry, chi phí chữa cười hở lợi thường dao động từ 900.000 – 1.500.000đ/răng tùy thuộc vào tình trạng răng và phương pháp bạn lựa chọn. Do mức độ hở lợi ở mỗi người là khác nhau nên mức chi phí sẽ có sự chênh lệch. Để biết mức giá chính xác bạn nên đến nha khoa kiểm tra. Thông qua thao tác kiểm tra bác sĩ sẽ chỉ định số lượng răng cần điều trị, đưa ra giải pháp và lên phát đồ chữa trị phù hợp.
Cắt nướu làm dài thân răng |
|
| Dịch Vụ | Giá Niêm Yết (VND) |
| Cắt nướu làm dài thân răng đơn lẻ | 900.000 |
| Cắt nướu kết hợp điều chỉnh xương ổ làm dài thân răng | 1.500.000 |
Sau khi thực hiện tiểu phẫu chữa cười hở nướu bạn cần lưu ý một số vấn đề sau:

(Sau khi chữa hở lợi bên nên chú trọng vệ sinh răng miệng nhẹ nhàng và đúng cách)(**)
Để quá trình chữa trị được đảm bảo an toàn và đạt hiệu quả tối ưu thì việc lựa chọn cơ sở điều trị có vai trò vô cùng quan trọng. Peace Dentistry tự hào là hệ thống nha khoa uy tín trong suốt 20 năm với đội ngũ bác sĩ giỏi tận tâm. Với số lượng khách hàng đông đảo cùng đa dạng chuyên khoa điều trị. Nha Khoa Peace Dentistry đã và đang là địa chỉ được nhiều khách hàng ưu tiên lựa chọn để chữa cười hở lợi bởi đảm bảo đủ các yếu tố sau:
Đội ngũ bác sĩ, chuyên gia RHM giỏi chuyên môn, tay nghề cao, giàu kinh nghiệm. Hầu hết các bác sĩ đã qua đào tạo các khóa học nâng cao, sau đại học và đã có chứng chỉ hành nghề… Hơn 40% các bác sĩ đã từng tham gia các khóa đào tạo chuyên sâu ở nước ngoài. Khi chữa hở lợi bạn sẽ được trực tiếp điều trị với sĩ tay nghề cao, thao tác chuẩn xác giúp hạn chế đau và tối ưu được hiệu quả chữa trị.

(Đội ngũ bác sĩ, chuyên gia RHM tại nha khoa Peace Dentistry)(**)
Nha khoa được đầu tư các trang thiết bị, công nghệ hiện đại được nhập khẩu trực tiếp từ nước ngoài như: ghế nha Kavo Premium Osstem, máy CT Cone Beam, máy Xquang 3 chiều kỹ thuật số Gendex GXDP-700 Series,…giúp chẩn đoán chính xác nguyên nhân và hỗ trợ tối đa trong suốt quá trình điều trị.

(Ghế nha Kavo Premium và Osstem hiện đại)(**)
Phòng tiểu phẫu được vô trùng cự tím để tránh lây nhiễm chéo và đảm bảo an toàn cho khách hàng trong suốt quá trình điều trị. Ngoài ra các dụng cụ cũng đã được tiệt trùng, vô trùng bằng tia cực tím trước khi đem vào phòng tiểu phẫu.

Tùy theo tình trạng răng và mong muốn mà bạn có thể cân nhắc niềng hoặc không. Nếu chỉ bị hở lợi mức độ nhẹ và răng không có vấn đề gì thì không cần can thiệp niềng. Trường hợp bị hở lợi và đi kèm hô do răng để cân chỉnh lại răng và nướu thì niềng răng sẽ là giải pháp hoàn toàn phù hợp.
Cắt lợi sẽ có gây đau, tuy nhiên trước khi chữa trị bác sĩ sẽ tiến hành gây tê để giảm đau. Vì vậy mà bạn sẽ không cảm nhận được cơn đau trong suốt quá trình thực hiện. Cắt lợi có tái phát không đang là thắc mắc của rất nhiều khách hàng. Thực tế thì có trường hợp bị tái phát và nhiều trường hợp không tái phát. Để ngăn ngừa tình trạng lợi mọc trở lại bạn nên ưu tiên chọn nha khoa uy tín có trang thiết bị hiện đại, máy móc tân tiến. Bác sĩ chữa trị phải là người có tay nghề cao, thao tác kĩ thuật chuẩn xác sẽ giúp giảm thiểu các biến chứng, tối ưu được kết quả chữa trị.
Hy vọng thông tin về cười hở lợi ở trên đây của chúng tôi đã gửi đến bạn thật nhiều thông tin hữu ích. Để được tư vấn chuyên sâu quý khách hàng có thể inbox fanpage Peace Dentistry Quận 7 hoặc gọi hotline tư vấn dịch vụ: 19002102 để được bác sĩ tư vấn chi tiết nhất.