Tình trạng đau răng sâu gây ảnh hưởng nghiêm trọng đến thói quen sinh hoạt của người bệnh. Vì sao răng sâu lại bị đau? Giải pháp khắc phục đau răng sâu như thế nào? Để biết thêm thông tin hãy cùng Nha Khoa Peace Dentistry tìm hiểu bài viết sau đây.
Đau răng sâu là tình trạng vùng răng sâu có hiện tượng đau nhức. Tùy thuộc vào mức độ sâu răng mà cơn đau có thể thoáng qua hoặc xuất hiện thường xuyên. Răng sâu bị đau cho thấy bệnh lý đã tiến triển nghiêm trọng và cần phải can thiệp chữa trị kịp thời.

(Đau răng sâu gây ảnh hưởng trực tiếp đến thói quen sinh hoạt của người bệnh)(**)
Răng sâu bị đau có thể nhận biết qua các dấu hiệu sau:
Răng sâu bị đau có thể do những nguyên nhân sau:
Vi khuẩn tấn công làm tổn thương men răng, ngà răng sẽ làm răng trở nên nhạy cảm và thường bị ê buốt, đau nhức khi ăn nhai.
Hệ thống buồng tủy sẽ bao gồm các dây thần kinh và các mạch máu. Khi vi khuẩn thâm nhập đến khu vực này sẽ làm tủy chết từ từ, dây thần kinh bị kích thích và tổn thương sẽ gây ra những cơn sốt, đau nhức răng dữ dội.
Áp xe chân răng, viêm lợi lan rộng do vi khuẩn tấn công mạnh mẽ cũng sẽ làm cho người bệnh khó chịu vì các cơn đau nhức xảy ra thường xuyên và kéo dài.

(Nên tiến hành chữa sâu răng càng sớm càng tốt)(**)
Răng bị đau nhẹ, tần suất xảy ra cơn đau không thường xuyên. Chức năng ăn nhai của bạn vẫn được đảm bảo.
Vết sâu có kích thước to hơn. Ngà răng và men răng đã bị tổn thương nên răng sẽ trở nên nhạy cảm, dễ bị đau buốt hơn khi ăn đồ nóng hoặc lạnh.
Ở giai đoạn này các cơn đau sẽ diễn ra thường xuyên kể cả khi bạn đang ăn nhai hoặc không. Cảm giác đau có thể diễn ra trong vài giờ và có thể đau lan đến vùng quai hàm, má hoặc đầu.
Khi cơn đau răng kéo dài và không có dấu hiệu thuyên giảm. Lúc này bạn nên đến nha khoa uy tín để bác sĩ kiểm tra, chẩn đoán. Thông qua thao tác thăm khám, xác định nguyên nhân bác sĩ sẽ đưa ra giải pháp điều trị phù hợp.

(Bạn nên đến nha khoa kiểm tra nếu răng sâu bị đau nhức và không có dấu hiệu thuyên giảm)(**)
Răng bị sâu nếu để lâu không điều trị có thể dẫn đến những biến chứng sau:
Răng sâu khi tiến triển nghiêm trọng sẽ gây ra các cơn đau, ê buốt răng dữ dội. Điều này sẽ làm suy giảm khả năng ăn nhai, người bệnh sẽ trở nên lười ăn uống hơn.
Nếu răng bị sâu là các răng ở vùng răng phía trước không chỉ gây đau nhức, ê buốt mà còn gây ảnh hưởng đến tính thẩm mỹ. Khi đó người bệnh sẽ trở nên tự ti, gặp nhiều hạn chế trong giao tiếp.
Sâu răng nghiêm trọng có thể gây phá hủy hoàn toàn mô và cấu trúc răng. Chúng sẽ làm răng lung lay và cuối cùng là gây mất răng.
Vi khuẩn gây sâu không chỉ phá hủy các răng mà chúng còn có thể thâm nhập vào đường máu và di chuyển khắp nơi trong cơ thể. Theo thời gian chúng sẽ gây ra các bệnh lý như viêm màng não, tiểu đường, viêm gan… gây đe dọa đến tính mạng của người bệnh.
Để chữa sâu răng tạm thời tại nhà bạn có thể tham khảo các mẹo sau đây:
Muối chứa thành phần chủ yếu là natri clorua có công dụng sát khuẩn cao, tiêu diệt vi khuẩn gây hại và làm sạch khoang miệng tận gốc. Để chữa đau răng sâu bạn có thể pha muối 1 muỗng cà phê muối biển với 250ml nước ấm và súc miệng 2-3 lần/ngày đến khi cải thiện.

(Súc miệng bằng nước muối có thể giúp cải thiện tình trạng đau răng do sâu)(**)
Chườm lạnh là 1 trong những giải pháp có thể giúp giảm đau nhanh chóng. Bạn chỉ cần đặt túi chườm lạnh lên vùng má của vị trí răng đang đau. Nước đá lạnh có tác dụng gây tê làm kích thích dẫn truyền lên các dây thần kinh dưới chân răng từ đó giảm sưng đau hiệu quả.
Trường hợp răng sâu nghiêm trọng gây đau nhức dữ dội để khắc phục tình trạng này bạn có thể dùng một số loại thuốc để giảm đau không kê đơn như Paracetamol, Aspirin, Ibuprofen…
Bạn có thể tham khảo một số loại nước súc miệng chuyên trị sâu răng như: Crest, Colgate, P/S, Kin Gingival, AP24…
Tinh dầu trong lá bạc hà có tác dụng sát khuẩn và khử mùi hiệu quả. Để chữa sâu răng với cách này bạn chỉ cần uống từ 1 – 2 ly trà bạc hà trong ngày. Trong tuần có thể uống từ 3 -4 ngày cho đến khi cải thiện.
Tỏi là nguyên liệu quen thuộc trong gian bếp và được biết đến với khả năng sát khuẩn, kháng viêm. Để dùng tỏi chữa sâu răng bạn chỉ cần xay nhuyễn 1-2 tép tỏi với 1 ít nước. Sau đó dùng bông gòn chấm vào dung dịch và thoa lên khu vực răng sâu từ 3-5 phút. Cuối cùng súc miệng lại với nước, có thể áp dụng mẹo này tại nhà từ 2-3 lần/tuần.
Theo nhiều nghiên cứu cho thấy, ngoài việc được xem là gia vị chế biến gừng tươi còn có đặc tính khử mùi hôi, sát khuẩn mạnh giúp điều trị các bệnh răng miệng hiệu quả. Để áp dụng mẹo này bạn nên rửa sạch gừng, giã nát và vắt lấy nước cốt. Sau đó hòa nước gừng với 300ml nước sôi để nguội với một chút muối. Mỗi ngày nên súc miệng từ 2-3 lần cho đến khi cải thiện cơn đau.

(Gừng là bài thuốc có thể áp dụng chữa nhiều bệnh lý răng miệng)(**)
Trong dầu đinh hương có chứa các thành phần kháng khuẩn và chống viêm giúp cải thiện một số bệnh như: sâu răng, đau răng, viêm nướu…Để áp dụng cách này bạn lấy tăm bông thấm 1 lượng dung dịch vừa phải và thoa lên vùng răng đang bị sâu. Để yên trong 5 phút và súc miệng lại với nước sạch. Có thể áp dụng cách này từ 2-3 lần/ngày.
Trong nha đam (lô hội) có chứa các thành phần như: acid salicylic, anthraquinone, saponin, sterol… có tác dụng sát khuẩn, chống viêm, giảm đau, ức chế hoạt động của vi khuẩn gây hại. Để chữa sâu răng bạn cắt nha đam rửa sạch sau đó lấy gel bên trong thoa vào vị trí bị đang bị sâu. Sau khoảng 5 – 7 phút thì súc miệng lại bằng nước sạch. Bạn nên kiên trì áp dụng mẹo này mỗi ngày từ 2 – 3 lần đến khi cải thiện tình trạng răng.
Trong lá ổi có chứa tanin, phosphoric, vitamin C … có tác dụng kháng viêm, giảm đau, cải thiện mùi hơi thở. Bạn chỉ cần rửa sạch và ngâm lá ổi non với nước muối từ 5-10 phút. Sau đó đem xay nhuyễn với 200ml nước lọc và chắt lấy nước. Sau khi đánh răng súc miệng với nước lá ổi từ 2 – 3 lần/ngày để đạt hiệu quả tốt nhất.
Dùng lá tía tô đễ chữa sâu răng là mẹo được nhiều người áp dụng bởi đây là loại rau chứa nhiều tinh dầu và khá lành tính. Để thực hiện bạn rửa sạch một nắm lá tía tô và đun sôi trong khoảng 10 phút. Khi nước sôi bạn cho thêm 1 chút xíu muối và tắt bếp để nước nguội. Sau khi đánh răng bạn dùng nước này để súc miệng từ 1 – 2 lần/ngày cho đến khi cơn đau răng giảm dần.
Tinh dầu tràm có tác dụng tiêu diệt vi khuẩn, giảm sưng, giảm đau. Bạn chỉ cần nhỏ 1 – 2 giọt tinh dầu tràm trà vào tăm bông và chấm lên vùng răng bị đau từ 3-5 phút sau đó súc miệng lại với nước sạch. Thực hiện mỗi ngày 2-3 lần để có được hiệu quả tốt nhất.

(Tràm trà có tác dụng diệt khuẩn mạnh mẽ giúp giảm đau, sưng viêm hiệu quả)(**)
Tại Peace Dentistry, để chữa răng sâu bị đau tùy thuộc vào tình trạng răng mà bác sĩ sẽ chỉ định các giải pháp sau đây:
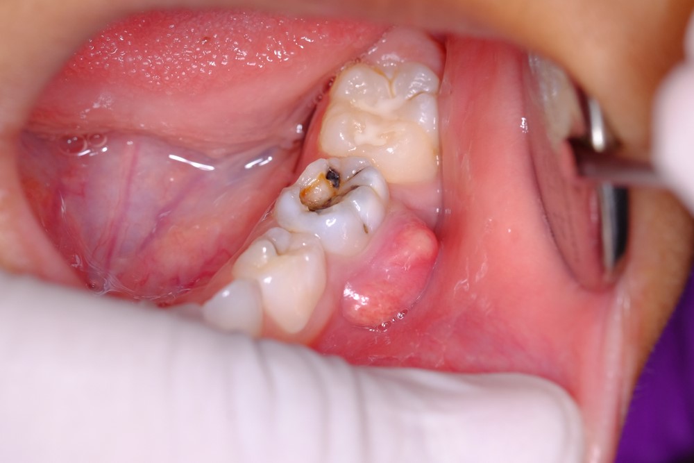
Giải pháp này phù hợp cho tình trạng răng sâu nhẹ. Để điều trị bác sĩ sẽ tiến hành làm sạch vùng răng sâu sau đó tiến hành trám lại bằng vật liệu Composite. Sau điều trị chức năng ăn nhai sẽ được cải thiện đáng kể.

(Kết quả trám răng sâu được thực hiện tại Peace Dentistry)(**)
Nếu răng sâu và bị viêm tủy, bác sĩ sẽ tiến hành gây tê sau đó khoan một lỗ nhỏ thông với buồng tủy để tủy được lấy ra dễ dàng. Sau khi tủy viêm đã được lấy sạch bác sĩ sẽ tiến hành trám hoặc bọc sứ để khôi phục khả năng ăn nhai.
Trường hợp răng bị sâu nặng, cấu trúc răng bị phá hủy hoàn toàn. Để hạn chế gây ảnh hưởng đến các răng bên cạnh bác sĩ sẽ yêu cầu nhổ bỏ răng. Sau đó sẽ kết hợp với trồng răng implant để khôi phục răng mất nhằm đảm bảo khả năng ăn nhai.
Để ngăn ngừa bệnh lý này các bác sĩ tại Peace Dentistry thường khuyên bạn nên tuân thủ các chỉ định sau:
Đánh răng từ 2 – 3 lần/ngày sau bữa ăn với bàn chải lông mềm. Khi chải răng nên dùng lực nhẹ nhàng và chải theo chiều xoay tròn hoặc từ trên xuống để mảng bám được làm sạch tốt hơn. Sau đó nên kết hợp với chỉ nha khoa, máy tăm nước để lấy đi hết các vụn thức ăn còn bám lại ở các vùng răng hàm.
Hạn chế ăn bánh kẹo ngọt, nước ngọt các loại bởi chúng thường chứa hàm lượng đường cao và rất dễ tích tụ các mảng bám làm tăng nguy cơ cao mắc các bệnh lý răng miệng
Bổ sung canxi, fluor bằng cách ăn đa dạng các món như tôm, cua, ốc, hến, cá, mực… hoặc dùng thêm thực phẩm dạng bổ sung. Kết hợp với các loại kem đánh răng chứa fluor phù hợp để răng cứng chắc, tăng cường sức khỏe men răng.
Nên có thói quen thăm khám răng miệng định kỳ từ 3 – 6 tháng/lần để bác sĩ cạo vôi răng và tầm soát lại sức khỏe răng miệng.
Cho dù bạn chữa sâu răng hay điều trị bất kỳ bệnh lý răng miệng nào thì việc lựa chọn cơ sở nha khoa luôn là yếu tố vô cùng quan trọng. Peace Dentistry là hệ thống nha khoa uy tín tại Tp.HCM. Sau 20 năm thành lập đây là một trong những trung tâm nha khoa chất lượng cao, sở hữu đội ngũ bác sĩ giỏi và tận tâm. Nha Khoa Peace Dentistry đã và đang là địa điểm được nhiều khách hàng tin cậy do đảm bảo được các yếu tố sau:
Đội ngũ bác sĩ, chuyên gia RHM giỏi chuyên môn, tay nghề cao, giàu kinh nghiệm. Hầu hết các bác sĩ đã qua đào tạo các khóa học nâng cao, sau đại học và đã có chứng chỉ hành nghề… Hơn 40% các bác sĩ đã từng tham gia các khóa đào tạo chuyên sâu ở nước ngoài. Tại Peace Dentistry, để chữa sâu răng bạn sẽ được các bác sĩ, chuyên gia giỏi chuyên môn, tay nghề cao trực tiếp điều trị nên có thể hoàn toàn yên tâm.

(Đội ngũ bác sĩ, chuyên gia RHM tại nha khoa Peace Dentistry)(**)
Nha khoa được đầu tư các trang thiết bị, công nghệ hiện đại được nhập khẩu trực tiếp từ nước ngoài như: ghế nha Kavo Premium Osstem, máy CT Cone Beam, máy Xquang 3 chiều kỹ thuật số Gendex GXDP-700 Series, Itero… giúp chẩn đoán chính xác nguyên nhân và hỗ trợ tối đa trong suốt quá trình điều trị.

(Ghế nha Kavo Premium và Osstem hiện đại)(**)
Vật liệu trám Composite, Sứ, Amalgam, ….có độ an toàn cao, nguồn gốc rõ ràng.
Cam kết 100% các loại răng sứ mà nha khoa sử dụng đều là răng sứ chính hãng của Đức: Zirconia DDBio, Cercon HT, Titanium, Zirconia Ceramill Zolid, Lava Plus…được khuyên dùng bởi hiệp hội nha khoa quốc tế.
Phòng tiểu phẫu được vô trùng cự tím để tránh lây nhiễm chéo và đảm bảo an toàn cho khách hàng trong suốt quá trình điều trị. Ngoài ra các dụng cụ cũng đã được tiệt trùng, vô trùng bằng tia cực tím trước khi đem vào phòng tiểu phẫu.

Bà bầu có thể điều chỉnh thao tác chải răng đúng cách, dùng nước muối sinh lý. Nếu răng bị đau vượt ngưỡng chịu đựng bạn nên đến nha khoa để bác sĩ kiểm tra và có giải pháp điều trị phù hợp.
Để có chỉ định nhổ răng sâu cho trẻ ba mẹ cần đưa bé đến nha khoa để kiểm tra. Nếu răng bị sâu nhẹ thì có thể can thiệp trám để bảo vệ răng. Trường hợp răng sâu nghiêm trọng, mô răng bị phá hủy nhiều khi đó bác sĩ sẽ yêu cầu nhổ bỏ răng.
Đau răng sâu hoàn toàn có thể gây đau đầu bởi giữa 2 bộ phận này có mối liên hệ chặt chẽ với nhau bởi dây thần kinh sinh ba. Đây là cặp dây thần kinh thứ 5 trong 12 cặp dây thần kinh sọ có chức năng điều khiển cảm giác cho các cơ quan trên khuôn mặt như: răng, nướu, môi trên và môi dưới… Do đó khi bị đau răng sâu dữ dội một số trường hợp sẽ có triệu chứng này.
Hy vọng thông tin về đau răng sâu ở trên đây của chúng tôi đã gửi đến bạn thật nhiều thông tin hữu ích. Để được tư vấn chuyên sâu quý khách hàng có thể inbox fanpage Peace Dentistry Quận 7 hoặc gọi hotline tư vấn dịch vụ: 19002102 để được bác sĩ tư vấn chi tiết nhất.