Trẻ em khi mất răng sữa sớm bác sĩ nha khoa thường chỉ định đeo hàm giữ khoảng. Vậy, hàm giữ khoảng là gì? Khí cụ này có mấy loại? Vai trò của chúng là gì? Để giải đáp tất cả các thắc mắc của phụ huynh hãy cùng Nha Khoa Peace Dentistry theo dõi bài viết sau đây.
Hàm giữ khoảng là khí cụ được sử dụng để giữ không gian trống trên cung hàm khi trẻ bị mất răng sữa sớm. Thiết bị này giúp ngăn chặn các răng bên cạnh xô lệch vào khoảng trống, từ đó đảm bảo răng vĩnh viễn sau này mọc đúng vị trí.

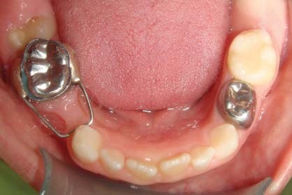
(Hàm giữ khoảng giúp cho các răng sữa bên cạnh không nghiêng về khoảng trống răng mất)(**)
Hàm giữ khoảng thường có những tác dụng sau:
Khi trẻ mất răng sữa sớm đeo khí cụ giữ khoảng giúp bảo vệ khoảng trống để răng vĩnh viễn sau này mọc lên đúng hướng.
Khi mất răng sớm các răng bên cạnh sẽ có xu hướng nghiêng về khu vực mất răng dẫn đến rối loạn khớp cắn. Đeo khí cụ giữ khoảng sẽ giúp trẻ ngăn chặn hiệu quả tình trạng này.
Việc giữ đúng vị trí mọc răng từ sớm sẽ giảm thiểu các sai lệch khớp cắn và lệch lạc răng. Nhờ đó, trẻ có thể hạn chế can thiệp niềng răng trong tương lai hoặc ít nhất là giảm thời gian và chi phí chỉnh nha.
Khí cụ giữ khoảng, đặc biệt là loại tháo lắp có gắn răng giả tạm sẽ giúp đảm bảo khả năng ăn nhai. Đồng thời, việc phát âm của trẻ vẫn được duy trì tốt.

(Khí cụ giữ khoảng cố định sẽ giúp các răng vĩnh viễn mọc lên đúng hướng)(**)
Bác sĩ sẽ chỉ định đeo khí cụ này nếu trẻ thuộc 1 trong 2 trường hợp sau:
Trẻ sẽ cần đeo khí cụ này nếu có các dấu hiệu sau:

(Nên cho trẻ đeo khí cụ giữ khoảng nếu trẻ gặp nhiều khó khăn khi ăn nhai, phát âm không chuẩn hoặc có nhiều răng bị xô lệch về vùng răng mất)(**)
Khi trẻ mất răng sữa sớm ba mẹ nên đưa bé đến nha khoa kiểm tra. Việc mất răng sữa sớm có thể gây ảnh hưởng đến hưởng mọc của răng vĩnh viễn và làm sai lệch khớp cắn. Tùy theo tình trạng răng của trẻ mà bác sĩ sẽ chỉ định đeo hàm giữ khoảng, hướng dẫn bổ sung dinh dưỡng, vệ sinh răng đúng cách hoặc hẹn ngày tái khám để theo dõi thêm.
Tại Peace Dentistry, giá hàm giữ khoảng thường dao động từ 1.200.000 – 3.000.000đ tùy thuộc vào tình trạng răng và loại khí cụ. Tùy theo số lượng răng mất, độ tuổi ở mỗi trẻ mà chi phí điều trị sẽ có dao động. Do đó, để biết mức chi phí chính xác bạn nên đưa bé đến nha khoa kiểm. Thông qua thao tác khám, kiểm tra bác sĩ sẽ lựa chọn loại khí cụ phù hợp và báo mức giá cụ thể.
Chi phí đeo khí cụ giữ khoảng ở mỗi bé sẽ có sự chênh lệch do chúng còn phụ thuộc vào các yếu tố sau:
Thông thường chi phí của bộ giữ khoảng cố định sẽ thấp hơn nhiều so với khí cụ giữ khoảng tháo lắp.
Nếu trẻ mất nhiều răng sữa, cần làm khí cụ giữ khoảng phức tạp hơn hoặc có nhiều vị trí cần can thiệp thì chi phí sẽ cao hơn so với trường hợp mất 1 – 2 răng
Khí cụ giữ khoảng có thể được làm từ các vật liệu như thép không gỉ và nhựa y tế. Sử dụng khí cụ cho trẻ càng cao cấp thì chi phí càng cao nhưng bù lại độ bền tốt và thẩm mỹ hơn.
Khi lựa chọn điều trị tại nha khoa uy tín với bác sĩ giỏi, trang thiết bị hiện đại thường có chi phí cao hơn. Tuy nhiên, bạn hoàn toàn có thể yên tâm về phát độ điều trị , trình độ bác sĩ và hiệu quả mang lại.

(Điều trị với bác sĩ giỏi sẽ làm tăng chi phí những kết quả luôn được đảm bảo tối ưu)(**)
Khi cho trẻ đeo khí cụ giữ khoảng ba mẹ cần lưu ý những vấn đề sau:
Hạn chế cho trẻ ăn thực phẩm quá cứng, dẻo hoặc dai vì sẽ gây ảnh hưởng đến khí cụ. Thay vào đó nên cho trẻ ăn thực phẩm mềm, dễ nhai và cắt nhỏ thức ăn để tránh tạo lực mạnh lên hàm.
Nên đưa trẻ đến tái khám đúng lịch hẹn để bác sĩ kiểm tra tình lại khí cụ, theo dõi quá trình mọc răng vĩnh viễn và điều chỉnh nếu cần. Việc tái khám giúp phát hiện sớm các vấn đề như lỏng hàm, viêm nướu hay sai lệch (nếu có).

(Ba mẹ nên nhắc trẻ chải răng đúng cách để ngăn ngừa các bệnh lý răng miệng trong suốt quá trình chữa trị)(**)
Hy vọng thông tin về hàm giữ khoảng ở trên đây của chúng tôi đã gửi đến bạn thật nhiều thông tin hữu ích. Để được tư vấn chuyên sâu quý khách hàng có thể inbox fanpage Peace Dentistry Quận 7 hoặc gọi hotline tư vấn dịch vụ: 19002102 để được bác sĩ tư vấn chi tiết nhất.
(Để lại thông tin và vấn đề về răng của bạn, Nha khoa sẽ gọi lại tư vấn ngay)