banner trang chủ

HÌNH ẢNH KHÁCH HÀNG CẤY GHÉP IMPLANT TẠI PEACE DENTISTRY


Bộ Sưu Tập Một Số Ca Lâm Sàng Cấy Ghép Implant Tiêu Biểu Tại Peace Dentistry

Thư viện Ca lâm sàng Implant – nơi minh chứng rõ nét nhất cho năng lực chuyên môn và triết lý điều trị chuẩn mực vượt trội trong lĩnh vực Cấy ghép Implant tại Peace Dentistry. Đội ngũ bác sĩ chuyên gia của Peace Dentistry đã thành công xử lý đa dạng các trường hợp lâm sàng, từ mất răng đơn lẻ, cầu răng sứ trên Implant phức tạp, đến các ca mất răng toàn hàm đòi hỏi kỹ thuật All-on-X implant và can thiệp ghép xương, nâng xoang chuyên sâu.

Mỗi ca lâm sàng được trình bày đều là kết quả của sự kết hợp hoàn hảo giữa: Bác sĩ Chuyên khoa Implant dày dặn kinh nghiệm, hệ thống chẩn đoán kỹ thuật số hiện đại, và vật liệu Implant cao cấp. Các hình ảnh lâm sàng được trình bày dưới đây sẽ trực quan hóa quá trình tích hợp xương thành công và kết quả phục hình thẩm mỹ, minh chứng cho cam kết của Peace Dentistry: Mang lại giải pháp Implant bền vững, an toàn và thẩm mỹ rất lâu dài.

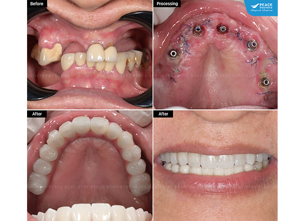
trồng răng implant cho mất răng hàm và tiêu xương vị trí R16, Cầu răng dài ở hàm trên và răng thưa ở hàm dưới

(Ca lâm sàng mất răng hàm và tiêu xương vị trí R16; Cầu răng dài ở hàm trên và răng thưa ở hàm dưới). Xem chi tiết ca lâm sàng tại đây (**)

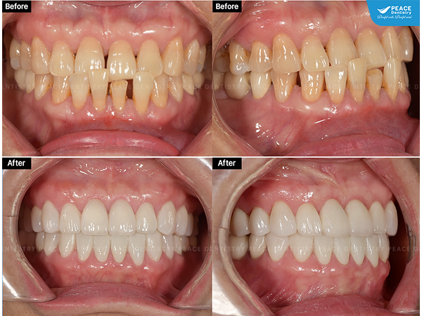
cấy ghép Implant kết hợp thẩm mỹ sứ toàn hàm khôi phục răng mất, răng sẫm màu

(Cấy ghép Implant kết hợp thẩm mỹ sứ toàn hàm khôi phục răng mất, răng sẫm màu (do cơ địa)). Xem chi tiết ca lâm sàng tại đây (**)

cấy ghép Implant cho khách hàng bị suy giảm chức năng ăn nhai do mất răng hàm nhiều năm, men răng yếu

(Cấy ghép Implant cho khách hàng bị suy giảm chức năng ăn nhai do mất răng hàm nhiều năm, men răng yếu,…). Xem chi tiết ca lâm sàng tại đây (**)

All-On-5 hàm trên, phục hình tức thì hàm BioHPP (không ghép xương), Cấy ghép 2 đơn vị Implant R44, R45 hàm dưới

(All-On-5 hàm trên, phục hình tức thì hàm BioHPP (không ghép xương). Cấy ghép 2 đơn vị Implant R44, R45 hàm dưới) Xem chi tiết ca lâm sàng tại đây (**)

cấy ghép Implant khắc phục lỗi từ nha khoa khác

(Khắc phục tình trạng Implant bị cấy ghép lỗi từ nha khoa khác. Bác sĩ Peace Dentistry chỉ định ghép nướu, sử dụng Customized Abutment điều chỉnh hướng phục hình và cắt thắng môi nâng cao thẩm mỹ nụ cười). Xem chi tiết ca lâm sàng tại đây (**)

cấy ghép Implant cho nữ khách hàng 22 tuổi gặp chấn thương sau tai nạn

(Ca cấy ghép Implant cho nữ khách hàng 22 tuổi gặp chấn thương sau tai nạn, chỉ còn một phần chân răng cửa R21). Xem chi tiết ca lâm sàng tại đây (**)

tháo bỏ cầu sứ R12-22 đã xuống cấp, nhổ chân răng R11 và cắm trụ Implant tức thì

(Ca lâm sàng tháo bỏ cầu sứ R12-22 đã xuống cấp, nhổ chân răng R11 và cắm trụ Implant tức thì. Sau đó tiến hành phục hình trên implant và bọc lại các răng đã mài để làm cầu răng sứ). Xem chi tiết ca lâm sàng tại đây (**)

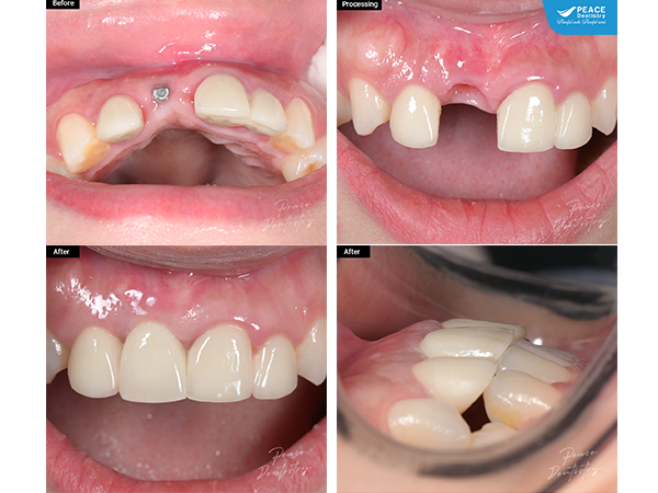
cấy 2 đơn vị implant để phục hồi 4 răng cửa đã mất nhiều năm

(Ca lâm sàng cấy 2 đơn vị implant để phục hồi 4 răng cửa đã mất nhiều năm). Xem chi tiết ca lâm sàng tại đây (**)

cấy ghép 3 trụ implant, phục hình FP3 giúp đường nướu đều đẹp

(Ca lâm sàng cấy ghép 3 trụ implant, loại phục hình FP3 giúp đường nướu đều – đẹp, nâng cao hiệu quả thẩm mỹ tối ưu). Xem chi tiết ca lâm sàng tại đây (**)

cấy ghép 2 đơn vị Implant thay thế cầu răng sứ dài cho khách hàng nữ mất 4 răng cửa nhiều năm

(Ca lâm sàng cấy ghép 2 đơn vị Implant thay thế cầu răng sứ dài cho khách hàng nữ mất 4 răng cửa nhiều năm). Xem chi tiết ca lâm sàng tại đây (**)

cấy ghép Implant cho khách hàng lớn tuổi, mất răng nhiều năm và đang sử dụng cầu răng sứ dài đã xuống cấp

(Ca lâm sàng cấy ghép Implant cho khách hàng lớn tuổi, mất răng nhiều năm và đang sử dụng cầu răng sứ dài đã xuống cấp. Thực hiện Implant các vị trí R15, R13, R23, R24, kết hợp 3 đơn vị Implant hàm dưới và phục hình cầu răng R33-37). Xem chi tiết ca lâm sàng tại đây (**)

Phục hình răng trên Implant khôi phục chức năng ăn nhai tốt

(Phục hình răng trên Implant khôi phục chức năng ăn nhai tốt, ngăn ngừa tiêu xương, tụt/teo nướu và cải thiện thẩm mỹ khuôn mặt hiệu quả). Xem chi tiết ca lâm sàng tại đây (**)

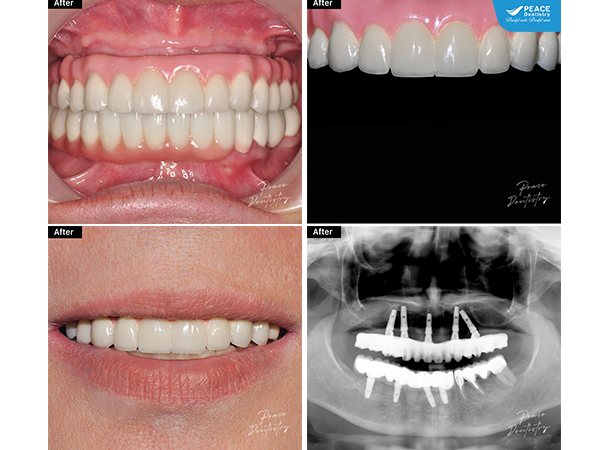
cấy ghép implant All-On-5 hàm trên & All-On-4 hàm dưới cho nữ khách hàng lớn tuổi đã mất hết răng

(Ca cấy ghép implant All-On-5 hàm trên & All-On-4 hàm dưới cho nữ khách hàng lớn tuổi đã mất hết răng. Thay thế hàm tháo lắp ban đầu, giúp khôi phục chức năng ăn nhai tốt). Xem chi tiết ca lâm sàng tại đây (**)

trồng răng Implant All-on-6 cho hàm trên

(Ca lâm sàng trồng răng Implant All-on-6 cho hàm trên, với mão sứ rời cố định trên khung BioHPP). Xem chi tiết ca lâm sàng tại đây (**)

Trồng răng Implant toàn hàm All-On-5 hàm trên và All-On-4 hàm dưới

(Trồng răng Implant toàn hàm All-On-5 hàm trên và All-On-4 hàm dưới, kết hợp bọc sứ răng hàm dưới, giúp khắc phục tình trạng mất răng). Xem chi tiết ca lâm sàng tại đây (**)

trồng răng Implant thay thế cầu răng sứ lâu năm

(Ca lâm sàng trồng răng Implant thay thế cầu răng sứ lâu năm, suy yếu, tiêu xương và thẩm mỹ kém). Xem chi tiết ca lâm sàng tại đây (**)

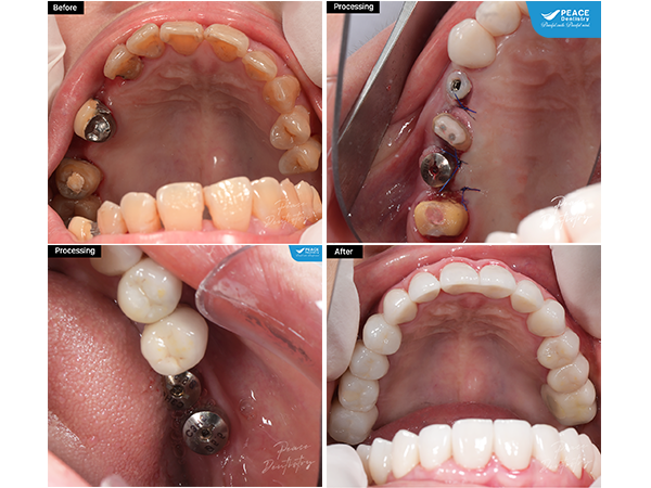
Cấy ghép Implant R14 có ghép xương cho khách hàng trong tình trạng mất răng nhiều năm

(Cấy ghép Implant R14 có ghép xương cho khách hàng trong tình trạng mất răng nhiều năm, đang chờ phục hình sứ trên Implant). Xem chi tiết ca lâm sàng tại đây (**)

cấy ghép Implant cho khách hàng Việt kiều trong tình trạng mất nhiều răng hàm

(Ca lâm sàng kết hợp giữa ghép xương, tái tạo nướu và cấy ghép Implant cho khách hàng Việt kiều trong tình trạng mất nhiều răng hàm và đang sử dụng cầu răng. Sau nhiều năm, tiêu xương hàm trầm trọng, kéo theo tụt nướu sâu và teo nhỏ lại, hóp má thấy rõ). Xem chi tiết ca lâm sàng tại đây (**)

cấy ghép Implant khôi phục răng mất, ngăn ngừa tiêu xương, kết hợp với mặt dán sứ Veneer IPS e.max Press

(Khách hàng nữ mắc các khuyết điểm như: mất răng, răng nhiễm màu và mòn yếu, được chỉ định cấy ghép Implant khôi phục răng mất, ngăn ngừa tiêu xương, kết hợp với mặt dán sứ Veneer IPS e.max Press và răng toàn sứ IPS e.max ZirCAD Prime). Xem chi tiết ca lâm sàng tại đây (**)

cắm trụ Implant Dentium Super Line tức thì và phục hình sứ Zirconia

(Nam khách hàng 45 tuổi, nhổ chân răng R21 tổn thương, cắm trụ Implant Dentium Super Line tức thì và phục hình sứ Zirconia trên Implant với lựa chọn Customized Abutment Zirconia nhằm tối ưu thẩm mỹ). Xem chi tiết ca lâm sàng tại đây (**)

DẠNG 1: CÁC TRƯỜNG HỢP MẤT NHIỀU RĂNG HOẶC MẤT RĂNG NGUYÊN HÀM

 

(Trồng răng implant all on 4 cho trường hợp mất răng lâu năm (**))

 

 

(Cấy 6 trụ implant và bọc răng sứ cho trường hợp mất răng lâu năm, tiêu xương, tụt nướu (**))

 

 

(Trồng răng implant all on 5 cho khách hàng 60 tuổi, mất răng trên 10 năm, có hiện tượng hóp má (**))

 

(Trồng răng implant toàn hàm all on 4 cho khách hàng mất gần hết răng (**))

 

(Trồng 4 trụ implant khôi phục 5 răng cửa và 1 răng hàm (**))

 

(Nhổ răng đã yếu và cấy implant toàn hàm all on 4 cho khách hàng 62 tuổi kết hợp điều chỉnh móm, hóp má (**))

 

(Nhổ chân răng cũ và cấy implant all on 5 cho hàm trên (**))

 

(Trồng răng implant toàn hàm all on 5 cho người mất răng lâu năm (**))

 

(Nhổ các răng đã suy yếu và cấy implant 2 hàm all on 4 cho người mất răng trên 15 năm, kết hợp điều chỉnh móm (**))

 

(Trồng 2 trụ implant khôi phục 4 răng mất kết hợp thẩm mỹ răng sứ hàm trên (**))

 

(Trồng implant all on 5 cho khách hàng 68 tuổi mất răng lâu năm, tiêu xương nghiêm trọng (**))

 

(Trồng implant all on 5 cho khách hàng 41 tuổi hư toàn bộ răng do tai nạn (**))

DẠNG 2: CÁC TRƯỜNG HỢP MẤT ÍT RĂNG

 

(Trồng 1 trụ implant khôi phục 1 răng hàm bằng implant tekka và răng sứ Zirconia (**))

 

(Trồng 2 trụ implant Neodent và răng sứ Zirconia khôi phục 2 răng cửa (Phục hình tức thì) (**))

 

(Cấy 2 trụ implant khôi phục 3 răng cửa, mất răng lâu năm, tiêu xương nhiều (**))

 

(Cấy 1 trụ implant Straumann SLA Active và răng sứ Titan (Phục hình tức thì) (**))

 

(Cấy 2 trụ implant khôi phục 2 răng hàm bị mất (**))

 

(Cấy 2 trụ implant khôi phục 2 răng hàm mất răng hơn 5 năm (**))

 

(Cấy 1 trụ implant cho răng hàm (**))

 

(Cấy 2 trụ implant khôi phục 2 răng hàm, mất răng lâu năm (**))

 

(Trồng 1 trụ implant, răng sứ Zirconia (**))

 

(Trồng 2 trụ implant khôi phục 3 răng hàm, implant Dentium và răng sứ Titan (**))

 

(Khôi phục 1 răng hàm bằng implant Straumann BLT, răng sứ Zirconia (**))

 

(Cấy 2 trụ implant khôi phục 3 răng hàm cho khách hàng Úc (**))

 

(Cấy 2 trụ implant khôi phục 2 răng hàm (**))

 

(Cấy 1 trụ implant Straumann SLA Active và răng sứ Zirconia (Phục hình tức thì) (**))