Hoại tử tủy răng được xem là một biến chứng răng miệng nguy hiểm có thể dẫn đến nguy cơ mất răng cao. Vậy, tủy răng bị hoại tử do nguyên nhân nào gây ra? Dấu hiệu nhận biết và cách chữa trị như thế nào? Bệnh lý này có ngăn ngừa được không? Để được giải đáp cụ thể hãy cùng Nha Khoa Peace Dentistry theo dõi bài viết sau.
Hoại tử tủy răng là tình trạng phần tủy bên trong răng bao gồm các dây thần kinh mạch máu bị chết đi do viêm nhiễm kéo dài hoặc tổn thương nghiêm trọng. Khi tủy bị hoại tử, khả năng dẫn truyền cảm giác của răng sẽ mất dần từ đó răng không còn đau nhức dữ dội như giai đoạn viêm tủy ban đầu.

(Hoại tử tủy răng là một biến chứng răng miệng nguy hiểm)(**)
Bạn có thể nhận biết tình trạng này thông qua các dấu hiệu sau đây:
Tủy răng bị hoại tử (răng chết tủy) thường xuất phát từ những nguyên nhân sau:
Đánh răng sai cách, bỏ qua việc dùng chỉ nha khoa hoặc súc miệng sau khi ăn. Khi thói quen này được lặp lại thường xuyên mảng bám và vi khuẩn không được loại bỏ hết sẽ tích tụ trên răng. Theo thời gian, vi khuẩn sẽ phá hủy men răng gây sâu răng, viêm tủy và cuối cùng là hoại tử tủy nếu không điều trị sớm.
Các bệnh lý như sâu răng, viêm tủy, viêm quanh chóp răng hoặc viêm nha chu nếu không được điều trị kịp thời sẽ khiến vi khuẩn xâm nhập vào ống tủy, gây viêm nhiễm kéo dài. Tủy răng dần mất khả năng phục hồi và dẫn đến hoại tử.
Răng bị va đập mạnh do té ngã, chấn thương mạnh, chơi thể thao không có dụng cụ bảo vệ cũng có thể gây ảnh hưởng đến tủy răng
Các thủ thuật nha khoa như trám răng, bọc sứ, điều trị tủy, làm cầu răng nếu thực hiện sai kỹ thuật có thể dẫn đến tổn thương tủy hoặc tạo điều kiện cho vi khuẩn xâm nhập. Tình trạng này khiến tủy viêm âm thầm và biến chứng làm chết tủy răng.

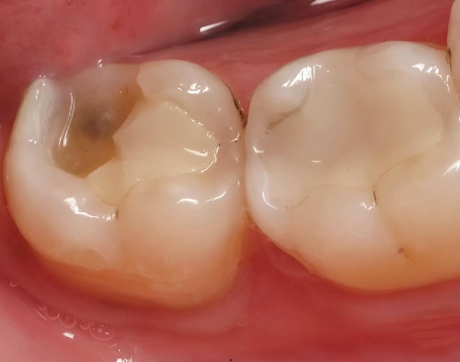
(Trám răng sai kĩ thuật làm miếng trám dễ bị mẻ, bung tạo điều kiện cho vi khuấn thâm nhập vào tủy răng)(**)
Tủy răng bị hoại tử thường có 2 dạng phổ biến sau:
Đây là dạng hoại tử phổ biến xảy ra khi các mô tủy bị vi khuẩn tấn công và viêm nhiễm nhanh chóng tạo thành dịch lỏng chứa vi khuẩn, tế bào chết và các chất độc. Tình trạng này thường đi kèm với các triệu chứng như hôi miệng, nướu thường xuyên bị sưng viêm, răng đau âm ỉ, có xuất hiện mủ hoặc áp xe quanh chân răng.
Hoại tử đông tụ là tình trạng mô tủy bị chết nhưng vẫn giữ nguyên hình dạng ban đầu, không bị chảy thành dịch. Dạng này thường xảy ra khi tủy bị thiếu máu cục bộ do đứt mạch nuôi tủy, chấn thương mạnh.
Viêm tủy răng nếu không được phát hiện và điều trị kịp thời sẽ dẫn đến những biến chứng sau:
Tủy răng hoại tử tạo ra các mô chết và dịch phân hủy bên trong răng. Khi các mô này phân hủy, chúng sẽ tạo ra mùi hôi rất khó chịu làm cho ngươi bệnh tự ti khi giao tiếp.

(Tủy bị hoại tử gây hôi miệng kéo dài)(**)
Vi khuẩn từ tủy hoại tử có thể lan xuống chóp răng và hình thành ổ viêm được bao bọc bởi một lớp mô gọi là nang chân răng. Nang này nếu không được điều trị chúng sẽ phát triển lớn lên gây tiêu xương quanh răng, đau nhức kéo dài và ảnh hưởng đến các răng kế cận.
Nếu vi khuẩn từ tủy hoại tử tiếp tục lan rộng chúng có thể xâm nhập vào xương hàm gây ra viêm tủy xương. Đây là một biến chứng nguy hiểm gây đau dữ dội, sưng tấy vùng mặt có thể kèm theo sốt và mệt mỏi toàn thân.
Khi tủy răng đã chết cấu trúc răng trở nên yếu đi do không còn được nguồn nuôi dưỡng. Răng dễ bị giòn, nứt, vỡ khi ăn nhai. Điều này không chỉ ảnh hưởng thẩm mỹ mà còn làm tăng nguy cơ mất răng vĩnh viễn.
Tủy răng đã chết nếu không điều trị kịp thời cấu trúc răng sẽ bị phá hủy nghiêm trọng, răng lung lay và cuối cùng là mất răng.
Vi khuẩn gây chết tủy có thể theo đường máu và thâm nhập vào bên trong cơ thể gây ra các bệnh lý như: tim mạch, tiểu đường. viêm xoang, nhiễm trùng huyết gây ảnh hưởng đến tính mạng của người bệnh.
Răng chết tủy hoàn toàn có thể điều trị được nếu phát hiện kịp thời và can thiệp đúng cách bởi bác sĩ chuyên khoa. Tuy nhiên, hiệu quả điều trị còn phụ thuộc vào mức độ tổn thương của răng, giai đoạn bệnh và mô răng thật còn lại.
Tại Peace Dentistry, để điều trị biến chứng này tùy thuộc vào tình trạng răng bác sĩ sẽ chỉ định 1 trong 2 giải pháp sau:
Trường hợp răng còn phục hình được bác sĩ sẽ chỉ định chữa tủy. Để điều trị bác sĩ sẽ tiến hành gây tê, dùng thiết bị khoan chuyên dụng để tạo 1 lỗ nhỏ thông với tủy viêm. Sau khi lấy hết tủy chết ra bên ngoài bác sĩ sẽ tiến hành trám hoặc bọc sứ để khôi phục lại mô răng thật và cải thiện tính thẩm mỹ.
Trường hợp cấu trúc răng bị phá hủy nghiêm trọng, răng bị lung lay và không thể giữ lại. Khi đó bác sĩ sẽ chỉ định nhổ răng kết hợp trồng răng implant thay thế vào vị trí răng mất để đảm bảo chức năng ăn nhai và cải thiện thẩm mỹ cho người bệnh.

(Kết quả chữa tủy được thực hiện tại Peace Dentistry)(**)
Chữa viêm tủy răng là một thủ thuật phức tạp, dễ gây ra biến chứng nguy hiểm và gây đau nhức dữ dội. Vì vậy, để quá trình điều trị diễn ra nhẹ nhàng, an toàn, hiệu quả bạn nên ưu tiên thực hiện tại nha khoa uy tín. Peace Dentistry là một trong những hệ thống nha khoa uy tín tại Tp.HCM. Ngoài những thế mạnh về niềng răng, trồng răng implant, thẩm mỹ răng sứ. Với đội ngũ bác sĩ giỏi tận tâm, trang thiết bị hiện đại, máy móc tiên tiến. Nha Khoa Peace Dentistry đang là địa điểm được đông đảo khách hàng tin tưởng để lấy tủy răng vì nha khoa đáp ứng được những tiêu chí sau:
Đội ngũ bác sĩ, chuyên gia RHM giỏi chuyên môn, tay nghề cao, giàu kinh nghiệm. Hầu hết các bác sĩ đã hoàn tất các khóa đào tạo sau đại học, các khóa học nâng cao, hội thảo nâng cao chuyên môn ở trong, ngoài nước và đã có chứng chỉ hành nghề. Để chữa tủy răng bạn sẽ được điều trị với bác sĩ tổng quát tay nghề cao, thao tác kĩ thuật chuẩn xác, an toàn giúp hạn chế đau nên bạn có thể hoàn toàn yên tâm.

(Đội ngũ bác sĩ, chuyên gia tại nha khoa Peace Dentistry)(**)
Nha khoa được đầu tư các trang thiết bị, công nghệ hiện đại được nhập khẩu trực tiếp từ nước ngoài như: ghế nha Kavo Premium Osstem, máy CT Cone Beam, máy Xquang 3 chiều kỹ thuật số Gendex GXDP-700 Series, Itero… giúp chẩn đoán nguyên nhân chính xác và hỗ trợ tối đa trong quá trình điều trị cho khách hàng.

(Hệ thống trang thiết bị, công nghệ tân tiến tại Peace Dentistry)(**)
Nha khoa sử dụng các vật liệu trám như composite, GIC, amalgam, sứ, vàng, kim loại quý, răng sứ Zirconia, …có nguồn gốc rõ ràng, nhập khẩu chính hãng 100%.
Phòng tiểu phẫu được vô trùng cự tím để tránh lây nhiễm chéo và đảm bảo an toàn cho khách hàng trong suốt quá trình điều trị. Ngoài ra các dụng cụ cũng đã được tiệt trùng, vô trùng bằng tia cực tím trước khi đem vào phòng tiểu phẫu.

(Khâu vô trùng luôn được đảm bảo nhằm tránh lây nhiễm chéo, đảm bảo an toàn cho khách hàng trong suốt quá trình điều trị)(**)
Tại Peace Dentistry, chi phí chữa tủy thường dao động từ 800.000 – 1.800.000đ/răng và có thể cao hơn tùy thuộc vào vị trí răng, mức độ viêm nhiễm. Để biết mức chí phí chính xác bạn nên đến nha khoa kiểm tra. Sau khi khám, chụp phim bác sĩ sẽ báo mức giá cụ thể và có phát đồ chữa trị phù hợp.
Nhìn chung, giá chữa tủy ở mỗi khách hàng sẽ có sự chênh lệch. Dưới đây là những yếu tố chính quyết định đến mức chi phí:
Để hạn chế mắc bệnh lý này bạn nên tuân thủ các chỉ định sau đây:
Nên duy trì thói quen khám răng định kỳ 6 tháng/lần để bác sĩ cạo vôi răng và tầm soát tổng quát sức khỏe răng miệng.
Chủ động chữa trị sớm các bệnh lý như sâu răng, viêm nướu, viêm nha chu ở giai đoạn đầu để tránh các biến chứng và đảm bảo ăn nhai, tính thẩm mỹ lâu dài.
Nên đánh răng từ 2 – 3 lần/ngày với bàn chải lông mềm và kem đánh răng chứa fluor. Lưu ý thao tác chải răng nên thực hiện nhẹ nhàng ở tất cả các răng. Sau đó nên kết hợp dùng chỉ nha khoa và nước súc miệng để loại bỏ hết các mảng bám, vi khuẩn trong khoang miệng.
Hạn chế ăn tinh bột, thực phẩm ngọt, đồ uống có gas, thức ăn chứa nhiều axit. Thay vào đó là ăn nhiều các loại rau xanh, trái cây, thịt, cá, trứng, sữa các loại để cung cấp đầy đủ vitamin, khoáng chất cần thiết giúp răng và cơ thể khỏe mạnh.
Nên đeo các dụng cụ bảo vệ răng nếu bạn tham gia các bộ môn thể thao vận động mạnh để tránh gây ảnh hưởng đến vùng miệng.
Hy vọng thông tin về hoại tử tủy răng ở trên đây của chúng tôi đã gửi đến bạn thật nhiều thông tin hữu ích. Để được tư vấn chuyên sâu quý khách hàng có thể inbox fanpage Peace Dentistry Quận 7 hoặc gọi hotline tư vấn dịch vụ: 19002102 để được bác sĩ tư vấn chi tiết nhất.
(Để lại thông tin và vấn đề về răng của bạn, Nha khoa sẽ gọi lại tư vấn ngay)