Lấy tủy răng mấy lần thì xong? Vì sao có người phải chữa tủy răng từ 2 – 3 lần? Chữa tủy răng có đau không? Làm thế nào để không phải chữa tủy răng nhiều lần? Nếu bạn cũng đang thắc mắc về những vấn đề này, hãy cùng Nha Khoa Peace Dentistry giải đáp qua bài viết sau.
Việc lấy tủy răng có thể hoàn thành chỉ trong 1 lần hoặc cần đến 2–3 lần hẹn tùy vào mức độ viêm và tình trạng răng. Nếu răng chỉ viêm nhẹ, không có nhiễm trùng lan rộng bác sĩ có thể xử lý và trám bít ống tủy ngay trong 1 buổi. Ngược lại, nếu răng bị viêm nặng, có mủ hoặc nhiều ống tủy, quá trình điều trị sẽ cần chia thành nhiều buổi để đảm bảo sạch tủy và ngăn tái viêm.

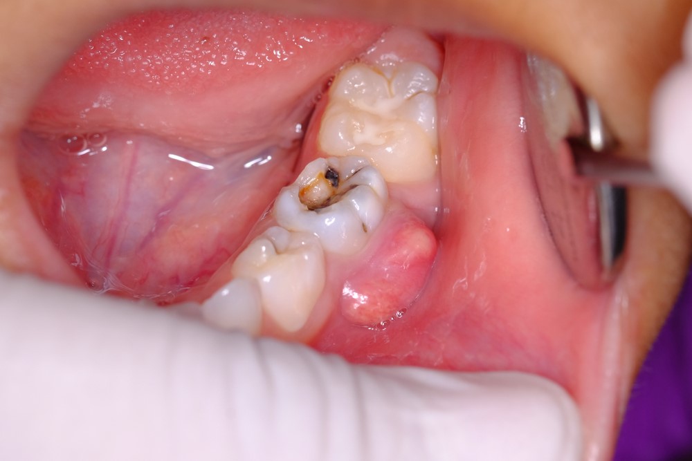
(Lấy tủy răng mấy lần sẽ còn tùy thuộc vào tình trạng răng và vị trí răng điều trị)(**)
Việc lấy tủy răng nhiều lần không phải là điều bất thường. Trong nhiều trường hợp, bác sĩ cần hẹn nhiều buổi để đảm bảo điều trị dứt điểm, ngăn ngừa viêm tái phát. Dưới đây là một số nguyên nhân phổ biến:
Nếu lần đầu không làm sạch hoàn toàn ống tủy hoặc trám bít không kín vi khuẩn có thể xâm nhập trở lại gây tái viêm. Khi đó, cần phải mở lại ống tủy để làm sạch và điều trị lại.
Việc điều trị tủy chính xác đòi hỏi máy định vị chóp, trâm máy, kính hiển vi… Nếu phòng khám thiếu thiết bị bác sĩ có thể gặp khó khăn trong việc làm sạch hết tủy trong một lần.
Một số răng có hệ thống ống tủy phức tạp, cong, hẹp hoặc chia nhánh bất thường khiến quá trình điều trị khó khăn hơn. Khi đó, bác sĩ buộc phải chia thành nhiều lần để xử lý triệt để.
Nếu tủy bị hoại tử, viêm lan rộng hoặc có mủ bác sĩ cần điều trị dần để giảm viêm, dẫn lưu trước khi có thể trám bít hoàn tất. Trường hợp này thường cần từ 2–3 lần hẹn.
Nếu sau lần điều trị đầu tiên không được trám tạm hoặc phục hình đúng cách, vi khuẩn có thể xâm nhập trở lại qua lỗ hở. Khi đó, phải tiến hành điều trị lại để giữ răng thật.

(Trường hợp răng bị viêm nhiễm, áp xe nghiêm trọng bác sĩ sẽ không thể điều trị hoàn tất trong 1 buổi mà phải kéo dài thêm 2 – 3 buổi)(**)
Tại Peace Dentistry, quy trình chữa tủy răng chuẩn y khoa sẽ bao gồm các bước như sau:
Bước 1: Khám, chụp phim và xác định tình trạng răng
Bước 2: Gây tê và cách ly
Bước 3: Mở tủy, xử lý viêm và tạo hình lại ống tủy
Bước 4: Trám bít ống tủy và phục hồi thân răng

(Kết quả chữa tủy răng được thực hiện tại Peace Dentistry)(**)
Lấy tủy răng nhiều lần không chỉ tốn kém thời gian mà còn ảnh hưởng nhiều đến răng. Để hạn chế tình trạng này, bạn nên lưu ý những điều sau đây:
Nên lựa chọn điều trị tại nha khoa uy tín có bác sĩ chuyên sâu về điều trị nội nha để được sẽ chẩn đoán chính xác, xử lý tốt các tình huống phức tạp như ống tủy nhỏ, cong, nhiều nhánh. Điều này giúp quá trình lấy tủy triệt để ngay từ lần đầu giúp giảm nguy cơ tái viêm và phải điều trị lại.
Máy chụp X-quang kỹ thuật số, máy định vị chóp, trâm máy, kính hiển vi… là những công nghệ hỗ trợ quan trọng trong việc lấy sạch tủy và trám bít chính xác. Nha khoa đầu tư nhiều trang thiết bị tân tiến sẽ giúp điều trị tối ưu và giảm thiểu sai sót.
Nhiều người vì lo sợ hoặc chủ quan mà trì hoãn điều trị tủy khiến tình trạng răng trở nên phức tạp hơn. Điều này không chỉ làm quá trình điều trị kéo dài mà còn dễ khiến răng phải điều trị lại nhiều lần. Do đó, khi đã có chỉ định từ bác sĩ bạn nên tiến hành càng sớm càng tốt.
Để giảm đau nhanh, ăn uống dễ dàng và rút ngắn thời gian hồi phục. Bác sĩ Peace Dentistry khuyên bạn nên tuân thủ các chỉ định sau đây:
Khi ăn bạn nên hạn chế nhai vào vùng răng vừa chữa tủy. Nên ưu tiên ăn thức ăn mềm, nguội và thao tác ăn nhai chậm rãi. Ngoài ra bạn cũng nên tránh ăn thực phẩm quá cứng, dai, quá nóng hoặc quá lạnh để không gây kích ứng vùng răng điều trị.

(Nên ưu tiên ăn các món ăn mềm sau khi chữa tủy)(**)
Duy trì vệ sinh răng miệng sạch sẽ bằng cách đánh răng nhẹ nhàng 2 – 3 lần/ngày sau khi ăn. Khi chải răng nên chải nhẹ nhàng. Sau đó nên dùng thêm chỉ nha khoa và súc miệng bằng nước muối loãng hoặc dung dịch sát khuẩn để ngăn ngừa vi khuẩn tấn công.
Việc tái khám giúp bác sĩ theo dõi tình trạng phục hồi, phát hiện sớm các vấn đề như viêm nhiễm tái phát, nứt, vỡ răng hoặc tiến hành trám, bọc sứ để hoàn tất chữa trị.
Chữa tủy răng là một thủ thuật phức tạp, dễ gây ra biến chứng nguy hiểm và gây đau nhức dữ dội. Vì vậy, để quá trình điều trị diễn ra nhẹ nhàng, an toàn, hiệu quả bạn nên ưu tiên thực hiện tại nha khoa uy tín. Peace Dentistry là một trong những hệ thống nha khoa uy tín tại Tp.HCM. Ngoài những thế mạnh về niềng răng, trồng răng implant, thẩm mỹ răng sứ. Với đội ngũ bác sĩ giỏi tận tâm, trang thiết bị hiện đại, máy móc tiên tiến. Nha Khoa Peace Dentistry đang là địa điểm được đông đảo khách hàng tin tưởng để lấy tủy răng vì nha khoa đáp ứng được những tiêu chí sau:
Đội ngũ bác sĩ, chuyên gia RHM giỏi chuyên môn, tay nghề cao, giàu kinh nghiệm. Hầu hết các bác sĩ đã hoàn tất các khóa đào tạo sau đại học, các khóa học nâng cao, hội thảo nâng cao chuyên môn ở trong, ngoài nước và đã có chứng chỉ hành nghề. Để chữa tủy răng bạn sẽ được điều trị với bác sĩ tổng quát tay nghề cao, thao tác kĩ thuật chuẩn xác, an toàn giúp hạn chế đau nên bạn có thể hoàn toàn yên tâm.

(Đội ngũ bác sĩ, chuyên gia tại nha khoa Peace Dentistry)(**)
Nha khoa được đầu tư các trang thiết bị, công nghệ hiện đại được nhập khẩu trực tiếp từ nước ngoài như: ghế nha Kavo Premium Osstem, máy CT Cone Beam, máy Xquang 3 chiều kỹ thuật số Gendex GXDP-700 Series, Itero… giúp chẩn đoán nguyên nhân chính xác và hỗ trợ tối đa trong quá trình điều trị cho khách hàng.

(Hệ thống trang thiết bị, công nghệ tân tiến tại Peace Dentistry)(**)
Nha khoa sử dụng các vật liệu trám như composite, GIC, amalgam, sứ, vàng, kim loại quý, răng sứ Zirconia, …có nguồn gốc rõ ràng, nhập khẩu chính hãng 100%.
Phòng tiểu phẫu được vô trùng cự tím để tránh lây nhiễm chéo và đảm bảo an toàn cho khách hàng trong suốt quá trình điều trị. Ngoài ra các dụng cụ cũng đã được tiệt trùng, vô trùng bằng tia cực tím trước khi đem vào phòng tiểu phẫu.

(Khâu vô trùng luôn được đảm bảo nhằm tránh lây nhiễm chéo, đảm bảo an toàn cho khách hàng trong suốt quá trình điều trị)(**)
Lấy tủy nhiều lần có thể khiến răng yếu hơn, dễ gãy và giảm tuổi thọ. Ngoài ra, việc điều trị lại nhiều lần làm tăng nguy cơ tái viêm nếu không xử lý đúng kỹ thuật. Vì vậy, nên điều trị dứt điểm ngay từ lần đầu tại nha khoa uy tín.
Bọc sứ là giải pháp tối ưu cho răng sau khi chữa tủy. Bởi khi lấy hết tủy răng sẽ trở nên giòn, dễ nứt hoặc vỡ. Bọc sứ giúp bảo vệ răng khỏi các tác động bên ngoài, duy trì chức năng ăn nhai và tăng tính thẩm mỹ.
Sau khi lấy tủy bạn có thể cảm thấy ê buốt, đau nhẹ trong 1–2 ngày đầu. Đây được xem là phản ứng bình thường của cơ thể. Tuy nhiên, nếu cơn đau kéo dài, dữ dội hoặc kèm theo sưng tấy, bạn nên đến nha khoa kiểm tra lại vì có thể răng vẫn còn viêm hoặc nhiễm trùng chưa được xử lý triệt để.
Hy vọng thông tin về lấy tủy răng mấy lần ở trên đây của chúng tôi đã gửi đến bạn thật nhiều thông tin hữu ích. Để được tư vấn chuyên sâu quý khách hàng có thể inbox fanpage Peace Dentistry Quận 7 hoặc gọi hotline tư vấn dịch vụ: 19002102 để được bác sĩ tư vấn chi tiết nhất.
(Để lại thông tin và vấn đề về răng của bạn, Nha khoa sẽ gọi lại tư vấn ngay)