Nha chu là gì? Vì sao nha chu lại hay bị viêm nhiễm? Bệnh nha chu có nguy hiểm không? Có bao nhiêu giải pháp điều trị bệnh lý này? Để giải đáp cụ thể những thắc mắc này, hãy cùng Nha Khoa Peace Dentistry tìm hiểu qua bài viết sau.
Nha chu là một tổ chức quanh răng bao gồm các mô cứng và mô mềm có vai trò nâng đỡ và giữ các răng ổn định trên cung hàm. Khi nha chu khỏe mạnh sẽ giúp răng chắc khỏe và thực hiện tốt việc phát âm, đảm bảo ăn nhai. Ngược lại, nha chu mắc bệnh lý các răng sẽ dễ bị vi khuẩn tấn công, viêm nhiễm và dẫn đến mất răng sớm.
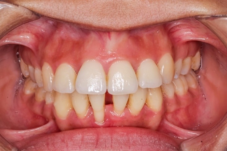
Bệnh nha chu là tình trạng viêm nhiễm của các mô nướu bao bọc quanh răng. Bệnh sẽ làm suy yếu khả năng nâng đỡ của hệ thống nướu khiến cho các răng dễ lung lay, đau nhức và dẫn đến biến chứng mất răng là vô cùng cao.

(Không nên chủ quan với bệnh nha chu)(**)
Bệnh lý này thường được nhận biết qua các dấu hiệu sau đây:
Về cơ bản bệnh nha chu sẽ có 3 loại sau:
Đây là bệnh lý phổ biến thường gặp ở người trưởng thành. Diễn biến của bệnh khá chậm và âm thầm. Tuy nhiên, nếu không phát hiện và điều trị kịp thời sẽ dẫn đến các biến chứng như tiêu xương, tụt nướu, răng lung lay và mất răng.
Bệnh lý này thường gặp ở người trẻ tuổi và có tốc độ tiến triển rất nhanh. Ngay cả khi mảng bám không nhiều, bệnh vẫn có thể gây lung lay răng và tiêu xương nghiêm trọng trong thời gian ngắn.
Đây là loại bệnh lý nguy hiểm, mặc dù hiếm gặp nhưng chúng có thể ảnh hưởng nghiêm trọng đến sức khỏe toàn thân nếu không điều trị kịp thời.
Bệnh nha chu thường gặp nhiều ở các nhóm đối tượng sau:
Dưới đây là những nguyên nhân chính khiến bạn dễ bị viêm nha chu:
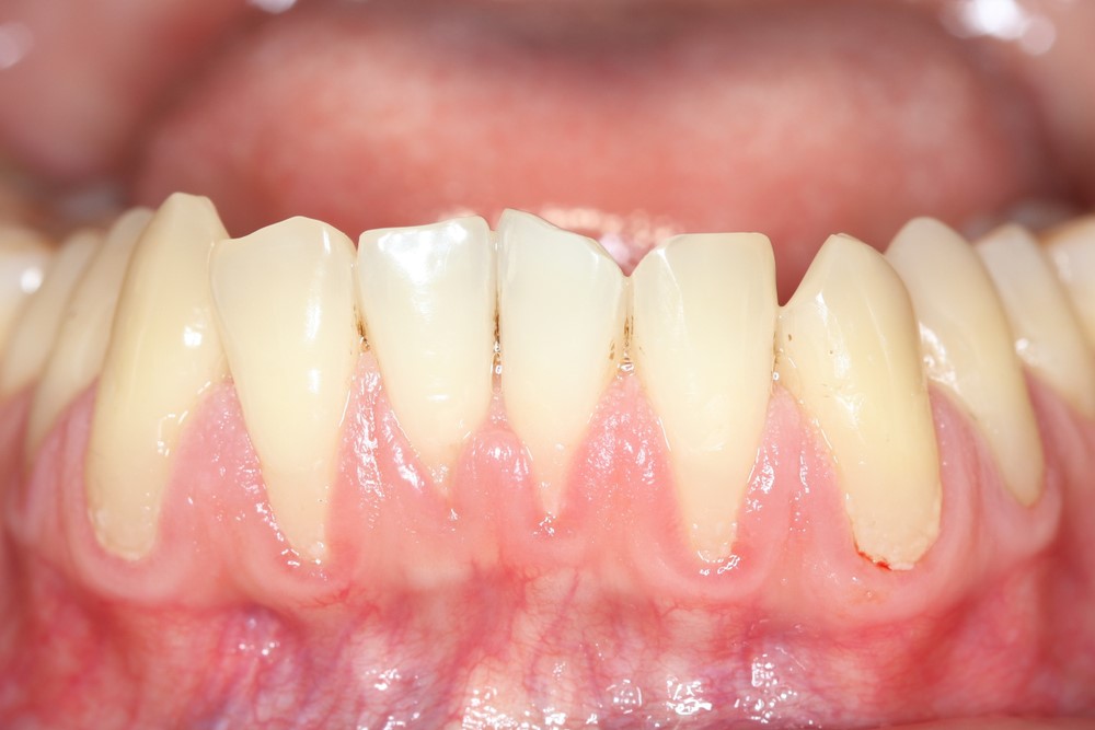
Đây là nguyên nhân hàng đầu gây ra bệnh nha chu. Mảng bám và vi khuẩn nếu không được làm sạch đúng cách chúng sẽ bị oxy hóa dần và tích tụ thành các lớp cao răng bám chắc vào chân răng. Cao răng không thể loại bỏ bằng cách đánh răng thông thường. Khi lớp cao răng càng nhiều chúng sẽ chèn ép vào nướu gây hôi miệng, viêm nướu, viêm nha chu.

(Vôi răng tích tụ nhiều gây hôi miệng, nướu dễ chảy máu và làm dài thân răng)(**)
Chải răng không đúng cách, không dùng chỉ nha khoa hay nước súc miệng là nguyên nhân phổ biến khiến vi khuẩn, mảng bám tích tụ nhiều ở các kẽ răng khiến nướu dễ bị sưng viêm, viêm nướu…
Hút thuốc lá thường xuyên không chỉ gây ảnh hưởng đến phổi, phế quản. Khói thuốc lá còn gây hôi miệng, răng ố vàng, hệ thống nướu cũng sẽ bị tổn thương hơn.
Phụ nữ đang trong chu kỳ kinh nguyệt, mang thai hoặc mãn kinh thường có sự thay đổi hàm lượng hormone. Khi lượng hormone tăng cao sẽ làm làm tăng lưu lượng máu đến mô nướu. Sự thay đổi này sẽ làm nướu răng bị đỏ, dễ bị viêm nướu hoặc nha chu.
Một số bệnh lý như: ung thư, tiểu đường, HIV cũng có mối liên hệ mật thiết với các bệnh về nướu răng.
Đây là bệnh lý nguy hiểm với nguy cơ mất răng là rất cao. Mặt khác, vi khuẩn gây bệnh có thể thâm nhập vào máu để đi vào bên trong cơ thể gây ra các bệnh lý toàn thân. Để tránh những biến chứng này khi phát hiện bạn cần đến nha khoa để bác sĩ kiểm tra và tiến hành chữa trị càng sớm càng tốt.
Bệnh lý này khi không chữa trị kịp thời có thể dẫn đến những biến chứng sau đây:
Vi khuẩn gây bệnh có thể phá hủy toàn bộ hệ thống mô nướu gây tiêu xương, tụt lợi thậm chí là làm mất răng hàng loạt.
Viêm nha chu tái phát nhiều lần vi khuẩn sẽ dễ dàng thâm nhập sâu vào bên trong nướu răng, xương hàm bên dưới dẫn đến tình trạng tiêu xương, tụt nướu nghiêm trọng.
Khi nướu bị viêm nhiễm nặng nướu sẽ có xu hướng co rút và tụt dần xuống chân răng. Điều này khiến phần chân răng bị lộ ra ngoài gây ê buốt dữ dội khi ăn uống đặc biệt là với đồ nóng, lạnh, chua, ngọt.
Viêm nha chu nặng thường đi kèm tình trạng mủ chảy ra từ túi nha chu gây hôi miệng dai dẳng. Hơi thở có mùi không chỉ khiến người bệnh mất tự tin mà còn ảnh hưởng tiêu cực đến các mối quan hệ trong công việc và đời sống hàng ngày.
Vi khuẩn gây bệnh không chỉ gây viêm nhiễm khoang miệng mà chúng còn thâm nhập vào đường máu để di chuyển khắp cơ thể. Về lâu dài sẽ gây ra các bệnh như viêm gan, tim mạch, tiểu đường, viêm màng não…vô cùng nguy hiểm.

(Bệnh nha chu làm hôi miệng kéo dài gây ảnh hưởng đến khả năng giao tiếp)(**)
Dưới đây là 4 giai đoạn phát triển chính của viêm nha chu:
Tại Peace Dentistry, quy trình chữa viêm nha chu chuẩn y khoa thường bao gồm các bước sau đây:
Bước 1: thăm khám và chẩn đoán
Bác sĩ sẽ tư vấn, kiểm tra tình trạng răng, nướu và chụp phim để đánh giá mức độ viêm nhiểm, lựa chọn giải pháp và lên kế hoạch điều trị phù hợp.
Bước 2: vệ sinh răng miệng và tiến hành chữa trị
Bác sĩ sẽ tiến hành vệ sinh, cạo vôi răng. Trường hợp răng bị viêm nhiễm nghiêm trọng, can thiệp các phương pháp xâm lấn sẽ tiến hành gây tê giúp giảm đau cho khách hàng trước khi chữa trị.
Bước 3: Kết thúc điều trị
Tùy theo mỗi tình trạng răng mà bác sĩ sẽ làm sạch, sát khuẩn, khâu túi nha chu… để ngăn vi khuẩn thâm nhập và giúp vết thương nhanh hồi phục
Bước 4: hướng dẫn chăm sóc sau điều trị
Bác sĩ hướng dẫn cách chăm sóc răng miệng tại nhà để hỗ trợ quá trình lành thương và có thể kê toa thuốc (nếu cần).
Về cơ bản sẽ có 5 phương pháp chữa viêm nha chu. Cụ thể là:
Trường hợp bị nha chu là do vệ sinh răng miệng sai cách làm tích tụ nhiều vôi răng bác sĩ sẽ chỉ định cạo vôi răng. Tại Peace Dentistry, bác sĩ sẽ là người trực tiếp cạo vôi cho bạn bằng thiết bị sóng siêu âm giúp loại bỏ cao răng và mảng bảm trên 95%. Khi vôi răng được loại bỏ hoàn toàn kết hợp với chăm sóc răng đúng cách mô nướu răng sẽ dần được khắc phục.

(Kết quả cạo vôi răng chữa viêm nha chu được điều trị tại Peace Dentistry)(**)
Trường hợp viêm nha chu đang tiến triển hay xuất hiện ổ mủ ngoài cạo vôi bác sĩ sẽ kê một số loại thuốc như thuốc kháng sinh, kháng viêm để giảm sưng đau, kiểm soát vi khuẩn không cho chúng tiếp tục thâm nhập và phát triển.
Nếu túi nha chu sâu hơn 4mm, răng có dấu hiệu lung lay bác sĩ sẽ chỉ định nạo túi nha chu. Mục đích của thủ thuật này sẽ giúp loại bỏ hoàn toàn mô viêm, cạo sạch mảng bám, làm nhẵn bề mặt chân răng và ngăn vi khuẩn lan sâu xuống bên dưới.
Khi bệnh lý tiến triển quá nghiêm trọng việc làm sạch thông thường không đạt hiệu quả bác sĩ sẽ thực hiện phẫu thuật lật vạt. Phương pháp này bao gồm: rạch nướu, lật vạt để lộ xương và chân răng. Sau đó tiến hành làm sạch sâu dưới nướu và loại bỏ mô viêm. Sau khi làm sạch xong, mô nướu sẽ được khâu lại vào vị trí ban đầu. Thủ thuật này giúp giảm độ sâu túi nha chu, tăng khả năng phục hồi của mô nướu và hạn chế tiêu xương ổ răng.
Khi bệnh nha chu đã tiến triển có xuất hiện mủ, tiêu xương hoặc làm tụt nướu nhiều. Bác sĩ sẽ cho kết hợp giữa uống thuốc, chăm sóc răng miệng và kết hợp với một số thủ thuật phù hợp. Nếu bị tụt nướu sẽ phải tiến hành ghép nướu, ghép xương cho tình trạng tiêu xương.
Để đảm bảo quá trình điều trị an toàn, hiệu quả và tránh biến chứng bạn nên ưu tiên lựa chọn nha khoa uy tín. Peace Dentistry là một trong những hệ thống nha khoa uy tín tại Tp.HCM. Ngoài những thế mạnh về niềng răng, trồng răng implant, thẩm mỹ răng sứ. Với đội ngũ bác sĩ giỏi tận tâm, trang thiết bị hiện đại, máy móc tiên tiến. Đây đang là địa điểm được đông đảo khách hàng tin tưởng để chữa bệnh nha chu vì nha khoa đáp ứng được những tiêu chí sau:
Đội ngũ bác sĩ, chuyên gia RHM giỏi chuyên môn, tay nghề cao, giàu kinh nghiệm. Hầu hết các bác sĩ đã hoàn tất các khóa đào tạo sau đại học, các khóa học nâng cao, hội thảo nâng cao chuyên môn ở trong, ngoài nước và đã có chứng chỉ hành nghề. Để chữa viêm nha chu bạn sẽ được điều trị với bác sĩ tổng quát tay nghề cao, thao tác kĩ thuật chuẩn xác, an toàn giúp hạn chế đau nên bạn có thể hoàn toàn yên tâm.

(Đội ngũ bác sĩ, chuyên gia tại nha khoa Peace Dentistry)(**)
Nha khoa được đầu tư các trang thiết bị, công nghệ hiện đại được nhập khẩu trực tiếp từ nước ngoài như: ghế nha Kavo Premium Osstem, máy CT Cone Beam, máy Xquang 3 chiều kỹ thuật số Gendex GXDP-700 Series, Itero… giúp chẩn đoán nguyên nhân chính xác và hỗ trợ tối đa trong quá trình điều trị cho khách hàng.
Phòng tiểu phẫu được vô trùng cự tím để tránh lây nhiễm chéo và đảm bảo an toàn cho khách hàng trong suốt quá trình điều trị. Ngoài ra các dụng cụ cũng đã được tiệt trùng, vô trùng bằng tia cực tím trước khi đem vào phòng tiểu phẫu.

(Khâu vô trùng luôn được đảm bảo nhằm tránh lây nhiễm chéo, đảm bảo an toàn cho khách hàng trong suốt quá trình điều trị)(**)
Tại Peace Dentistry, chi phí chữa nha chu thường dao động từ 500.000 – 1.200.000đ tùy thuộc vào tình trạng răng và phương pháp điều trị. Để biết mức giá chính xác bạn nên đến nha khoa kiểm tra, chụp phim. Thông qua thao tác khám bác sĩ sẽ xác định mức độ viêm nhiễm, lựa chọn giải pháp, báo giá và lên kế hoạch chữa trị phù hợp.
Để hạn chế viêm nha chu không tái phát bạn cần lưu ý những vấn đề sau:
Mỗi ngày bạn nên đánh răng từ 2 – 3 lần/ngày sau bữa ăn với bàn chải lông mềm. Sau đó nên kết hợp với chỉ nha khoa, tăm chỉ nha khoa hoặc máy tăm nước để lấy đi hết các vụn thức ăn còn sót lại trong khoang miệng.
Cao răng tích tụ càng nhiều sẽ càng khiến nướu dễ bị viêm và dẫn đến nha chu. Do đó, bạn nên duy trì thói quen lấy cao răng định kỳ từ 3 – 6 tháng/lần. Khi cao răng được loại bỏ triệt để sẽ giúp hạn chế mắc các bệnh lý răng miệng.
Nên duy trì thói quen khám răng định kỳ 6 tháng/lần để bác sĩ kiểm tra, tầm soát sức khỏe răng miệng. Nếu phát hiện có bệnh lý cũng được phát hiện sớm và chữa trị kịp thời.
Cai thuốc lá, loại bỏ các tật xấu. Thay vào đó là nên chú trọng nhiều hơn về chế độ ăn bằng cách ăn nhiều trái cây, rau củ quả, thịt, cá, trứng, sữa…để cung cấp đầy đủ các chất dinh dưỡng cần thiết cho răng, nướu và cơ thể.
Chủ động chữa viêm nướu ngay từ giai đoạn đầu là việc làm đơn giản nhưng giúp ngăn ngừa viêm nha chu hiệu quả.
Hy vọng thông tin về nha chu ở trên đây của chúng tôi đã gửi đến bạn thật nhiều thông tin hữu ích. Để được tư vấn chuyên sâu quý khách hàng có thể inbox fanpage Peace Dentistry Quận 7 hoặc gọi hotline tư vấn dịch vụ: 19002102 để được bác sĩ tư vấn chi tiết nhất.
(Để lại thông tin và vấn đề về răng của bạn, Nha khoa sẽ gọi lại tư vấn ngay)