Niềng răng trong suốt có phải nhổ răng không? – Đây là một câu hỏi mà nhiều khách hàng đã Inbox Fanpages Peace Dentistry. Vậy, niềng răng Invisalign có nhổ răng không? Có phải tất cả trường hợp niềng răng đều bắt buộc nhổ răng không? Liên quan đến vấn đề có hay không nhổ răng khi niềng răng trong suốt nói riêng và niềng răng nói chung, bác sĩ tại Nha Khoa Peace Dentistry sẽ cho chúng ta những tư vấn chính xác nhất.
Về cơ bản, niềng răng trong suốt invisalign hạn chế nhổ răng hơn so với các phương pháp niềng răng mắc cài. Nhiều trường hợp, nếu niềng răng mắc cài thì buộc phải chỉ định nhổ răng, nhưng nếu niềng răng invisalign thì không cần nhổ răng. Hoặc có những trường hợp, niềng răng mắc cài phải nhổ 4 răng nhưng niềng răng trong suốt invisalign thì chỉ cần nhổ 2 răng. Thông thường những trường hợp không quá phức tạp thì niềng răng Invisalign có thể không cần nhổ răng.
Tóm lại: Niềng răng trong suốt Invisalign là hạn chế nhổ răng hơn so với niềng răng mắc cài. Tuy nhiên, có những trường hợp cũng phải nhổ răng để mang lại hiệu quả điều trị cao nhất.

(Niềng răng invisalign có nhổ răng không sẽ còn tùy thuộc vào tình trạng răng, mức độ sai khớp cắn ở mỗi khách hàng)(**)
Mặc dù nhổ răng là chỉ định thường gặp trong chỉnh nha (niềng răng). Tuy nhiên, không phải ca niềng răng nào bác sĩ cũng yêu cầu thực hiện thủ thuật này. Cụ thể là:
Đó là các trường hợp phức tạp, đặc biệt phức tạp, răng mọc không đủ chỗ trên cung hàm (diện tích hàm không đủ chỗ để chứa đủ răng và buộc răng phải mọc lệch lạc, mọc chìa, răng xoay…) thì phải nhổ răng để đảm bảo hiệu quả điều trị. Bác sĩ sẽ chỉ định nhổ răng nếu bạn thuộc 1 trong những trường hợp sau:
Tuy nhiên, cần lưu ý thêm: có nhiều trường hợp phức tạp, hay đặc biệt phức tạp nhưng khách hàng mong muốn không nhổ răng và chấp nhận kết quả “chỉ cần cải thiện tình trạng ở mức tối ưu và chấp nhận kết quả cuối cùng là khuyết điểm vẫn chưa hoàn toàn triệt để” thì bác sĩ có thể không cần nhổ răng.
Một con số để bạn tham khảo thêm: Tại chuyên khoa chỉnh nha niềng răng Peace Dentistry, thống kê trên 300 khách hàng niềng răng invisalign cho thấy hơn 60% các trường hợp là không cần nhổ răng. Phần còn lại phải nhổ từ 1 – 2 răng là chủ yếu.
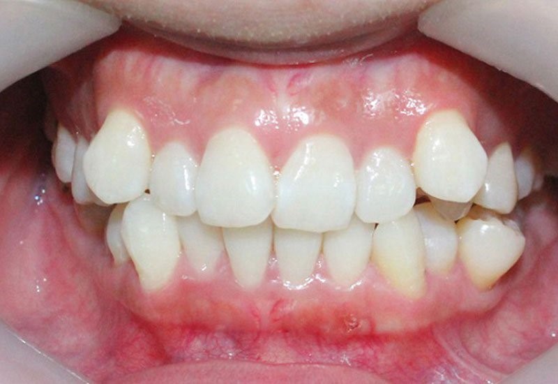
Về cơ bản, với các trường hợp khuyết điểm không phức tạp, cung hàm đủ không gian để sắp xếp các răng một cách thẳng, khớp cắn chuẩn, răng đều thì không cần nhổ răng khi niềng răng trong suốt. Nhổ răng sẽ không cần thiết nếu bạn thuộc các trường hợp sau:

(Một ca niềng răng trong suốt mà khuyết điểm không quá phức tạp với chỉ định không nhổ răng tại Peace Dentistry)
Niềng răng mắc cài thì luôn cần các khoảng trống để việc di chuyển răng thuận lợi, bác sĩ có thể nhổ răng, không nhổ răng mà chọn mài kẽ, hoặc tận dụng khoảng trống có sẵn để di chuyển răng. Nhưng niềng răng trong suốt invisalign, phác đồ di chuyển răng là hoàn toàn khác so với niềng răng mắc cài và bác sĩ có thể di chuyển răng mà không cần các khoảng trống hoặc các khoảng trống không cần quá lớn.
Việc có cần nhổ răng hay không khi niềng Invisalign phụ thuộc vào nhiều yếu tố sau:
Nếu răng mọc khít, chen chúc nghiêm trọng và không đủ chỗ để dịch chuyển bác sĩ có thể chỉ định nhổ răng để tạo khoảng trống.

(Bác sĩ sẽ chỉ định nhổ răng nếu răng bạn quá chen chúc hay bị lệch lạc quá nặng)(**)
Trường hợp khớp cắn lệch nhiều như cắn sâu, cắn chéo hoặc cắn ngược có thể phải nhổ răng để điều chỉnh tỉ lệ hàm trên và hàm dưới.
Răng quá to hoặc lệch khớp hàm khiến việc sắp xếp khó khăn, có thể cần nhổ để đảm bảo hiệu quả chỉnh nha.
Người trẻ tuổi thường có xương hàm mềm, dễ nới rộng bằng cách nong hàm nên hạn chế việc nhổ răng. Người trưởng thành có xương cứng hơn, răng cũng đã phát triển ổn định để có đủ khoảng trống cho răng dịch chuyển bác sĩ sẽ thường yêu cầu nhổ răng.
Thông thường bác sĩ sẽ ưu tiên nhổ các răng số 4 hoặc số 5 bởi đây là các răng không giữ nhiều chức năng quan trọng trên cung hàm. Khi nhổ đi sẽ không gây ảnh hưởng nhiều đến khả năng ăn nhai mà đổi lại sẽ có nhiều khoảng trống để răng di chuyển.
Ngoài ra, trong một số trường hợp đặc biệt, bác sĩ có thể chỉ định nhổ răng khôn (răng số 8) hoặc các răng đang mắc bệnh lý nghiêm trọng. Tùy vào từng ca cụ thể, bác sĩ sẽ xác định rõ vị trí, số lượng răng cần nhổ để đảm bảo hiệu quả và an toàn khi niềng Invisalign.
Tùy theo mỗi trường hợp mà có thể nhổ từ 1 – 2 răng khi niềng răng trong suốt invisalign. Tuy nhiên, cũng có những trường hợp quá phức tạp: hô, móm, chen chúc quá nhiều, cung hàm quá hẹp so với răng thì có thể phải nhổ 4 răng.
Và nguyên tắc được đặt ra đó là: hạn chế nhổ răng, nếu nhổ thì nhổ ít răng nhất có thể và nhổ những răng ít ảnh hưởng đến chức năng ăn nhai.
Tại Peace Dentistry, các bác sĩ luôn tuân theo nguyên tắc như vậy dù là niềng răng trong suốt invisalign, niềng răng mắc cài… Thông thường bác sĩ sẽ ưu tiên nhổ răng khôn, răng hư (răng sâu, răng viêm tủy…) và ưu tiên nhổ các răng cối nhỏ.

(Răng khôn là răng được ưu tiên chỉ định nhổ khi niềng răng trong suốt và niềng răng nói chung)
Ngoài nhổ răng để tạo khoảng trống khi niềng bác sĩ sẽ sử dụng một số kĩ thuật sau:
Bác sĩ sẽ sử dụng các khí cụ chuyên dụng để làm tăng diện tích của khung hàm. Phương pháp này giúp tạo ra các khoảng trống đáng kể trên cung hàm giúp cho các răng mọc lệch di chuyển dễ dàng hơn và hạn chế tối đa việc nhổ bỏ răng.

(Sử dụng hàm nong là một chỉ định khá phổ biến trong niềng răng)(**)
Bác sĩ dùng dụng cụ chuyên dụng mài nhẹ giữa các răng (từ 0,1 – 0,5mm) để lấy khoảng trống mà không ảnh hưởng đến sức khỏe răng.
Dùng khay Invisalign để dần dần đẩy nhóm răng hàm sau lùi lại để tạo khoảng trống phía trước cho răng chen chúc mà không cần nhổ răng.
Nói về vấn đề nhổ răng trong niềng răng nói chung (kể cả niềng răng mắc cài và niềng răng trong suốt), chúng ta cần nắm các vấn đề sau:
Niềng răng Invisalign là một phương pháp chỉnh nha hiện đại và kết hợp nhiều thủ thuật phức tạp để mang lại hiệu quả tối ưu. Do đó, việc lựa chọn cơ sở nha khoa có bác sĩ chuyên chỉnh nha giỏi là yếu tố vô cùng quan trọng. Peace Dentistry là một trong những hệ thống nha khoa uy tín tại Tp.HCM. Sau 20 năm thành lập với đội ngũ bác sĩ giỏi tận tâm, trang thiết bị tiên tiến cùng số lượng khách hàng niềng răng đông đảo mỗi năm. Nha Khoa Peace Dentistry đã và đang là địa điểm đáng tin cậy được nhiều người lựa chọn do đáp ứng được các tiêu chí sau:
Đội ngũ bác sĩ chuyên khoa RHM giỏi, chuyên môn cao, nhiều năm kinh nghiệm. Các bác sĩ chỉnh nha đã được đào tạo liên tục về các chương trình, lớp học nâng cao chuyên môn sau đại học ở trong và ngoài nước và đã có chứng nhận hoàn thành các khóa học. Với khả năng phân tích tình trạng răng chính xác, tay nghề cao, thao tác kĩ thuật đúng nên đã điều trị rất nhiều ca chỉnh nha có mức độ từ đơn giản đến cực kỳ phức tạp thành công.

(Đội ngũ bác sĩ chỉnh nha giỏi tại Peace Dentistry)(**)
Nha khoa được đầu tư các trang thiết bị, công nghệ hiện đại được nhập khẩu trực tiếp từ nước ngoài như: ghế nha Kavo Premium Osstem, máy CT Cone Beam, máy Xquang 3 chiều kỹ thuật số Gendex GXDP-700 Series, Itero…giúp chẩn đoán chính xác nguyên nhân và hỗ trợ tối đa trong suốt quá trình điều trị.

(Hệ thống trang thiết bị tân tiến, hiện đại tại Peace Dentistry)(**)
Vật liệu, khí cụ chỉnh nha cao cấp: Roth In – Ovation, Damond Clear, Smile, Damon speed, Invisalign… có chứng nhận lưu hành quốc tế, được nhập khẩu trực tiếp từ nước ngoài 100%.

(Các khí cụ chỉnh nha có nguồn gốc rõ ràng, nhập khẩu hoàn toàn từ các thương hiệu uy tín)(**)
Phòng tiểu phẫu được vô trùng cự tím để tránh lây nhiễm chéo và đảm bảo an toàn cho khách hàng trong suốt quá trình điều trị. Ngoài ra các dụng cụ cũng đã được tiệt trùng, vô trùng bằng tia cực tím trước khi đem vào phòng tiểu phẫu.

Phòng phẫu thuật hiện đại với hệ thống vô trùng cực tím (**)
Hy vọng thông tin về giá niềng răng invisalign ở trên đây của chúng tôi đã gửi đến bạn thật nhiều thông tin hữu ích. Để được tư vấn chuyên sâu quý khách hàng có thể inbox fanpage Peace Dentistry Quận 7 hoặc gọi hotline tư vấn dịch vụ: 19002102 để được bác sĩ tư vấn chi tiết nhất.
(Để lại thông tin và vấn đề về răng của bạn, Nha khoa sẽ gọi lại tư vấn ngay)