Sâu chân răng khác với tình trạng sâu kẽ răng, sâu trên bề mặt răng thì sâu chân răng thường khó phát hiện và dễ dẫn đến nhiều biến chứng nguy hiểm. Vậy, sâu chân răng do nguyên nhân nào gây ra? Dấu hiệu nhận biết và cách khắc phục bệnh lý này như thế nào? Để biết thêm thông tin hãy cùng Nha Khoa Peace Dentistry theo dõi bài viết sau đây.
Sâu chân răng là tình trạng sâu răng xảy ra ở vùng chân răng nơi tiếp giáp giữa răng và nướu. Sâu chân răng thường gặp phổ biến ở người trung niên. Bệnh lý này gây ra những cơn đau nhức, khó chịu và dẫn đến nhiều tác hại nguy hiểm nếu không được phát hiện và điều trị kịp thời.
Do vị trí của chân răng là nằm dưới đường viền nướu nên rất khó quan sát. Mặt khác, khi ở giai đoạn khởi phát triệu chứng của chúng thường không rõ ràng nên rất khó phát hiện và chữa trị kịp thời.

(Sâu chân răng diễn biến âm thầm nhưng gây ra nhiều biến chứng rất nghiêm trọng)(**)
| Tiêu chí | Sâu Chân Răng | Sâu Kẽ Răng | Sâu Mặt Nhai |
| Vị trí sâu răng | Chân răng nơi tiếp giáp giữa cổ răng và nướu | Giữa 2 kẽ răng | Trên rãnh, bề mặt nhai của răng |
| Đặc điểm nhận biết | Xuất hiện đốm trắng, nâu hoặc đen gần nướu, sát cổ răng | Thường không thấy rõ bằng mắt | Có thể thấy lỗ sâu trên mặt nhai, màu trắng, nâu hoặc đen |
| Triệu chứng thường gặp | Đau, ê buốt khi ăn đồ nóng, lạnh, cứng hoặc dẻo. Màu sắc răng bị thay đổi | Đau, ê buốt khi ăn đồ nóng, lạnh, cứng hoặc dẻo. Kẽ răng có màu đen hoặc xuất hiện lỗ sâu giữ 2 kẽ răng | Đau, ê buốt khi ăn đồ nóng, lạnh, cứng hoặc dẻo. Bề mặt răng xuất hiện lỗ sâu, răng có màu sậm hơn |
| Đối tượng | Người lớn tuổi, người bị tụt nướu, viêm nha chu | Mọi độ tuổi | Mọi độ tuổi |
| Nguyên nhân | Tụt lợi, hở cổ chân răng, răng yếu | Do giắt thức ăn, vệ sinh kém ở kẽ răng | Do rãnh sâu, thức ăn đọng lại và không được làm sạch |
| Biến chứng nếu không điều trị | Lan rộng quanh cổ răng, có thể gây gãy răng | Lây sang răng kế bên, gây đau kéo dài | Vi khuẩn lan xuống vùng tủy gây viêm tủy, áp xe chân răng |
Bạn có thể nhận biết bệnh lý này thông qua các dấu hiệu sau đây:
Dưới đây là những nguyên nhân phổ biến dẫn đến sâu chân răng:
Vệ sinh răng miệng sai cách, đánh răng theo chiều ngang sẽ không thể lấy đi hết vụn thức ăn, vi khuẩn tích tụ. Theo thời gian vi khuẩn sẽ có cơ hội phát triển và tấn công mạnh mẽ dẫn đến chân răng bị sâu.
Vôi răng (cao răng) là kết quả của quá trình tích tụ mảng bám kết hợp với vi khuẩn. Cao răng tích tụ nhiều không những làm răng ố vàng, hôi miệng, viêm nướu mà còn là nguyên nhân chính dẫn đến sâu răng.
Bác sĩ trám răng không đúng kĩ thuật, vết sâu răng không được làm sạch triệt để dẫn đến tình trạng sâu răng tái phát
Tụt nướu (lợi) sẽ làm lộ chân răng bên dưới. Khu vực này thường không có men răng bảo vệ nên rất dễ bị vi khuẩn tấn công làm sâu răng.

(Tụt lợi làm lộ chân răng sẽ tạo điều kiện thuận lợi cho vi khuẩn tấn công và gây các bệnh lý)(**)
Nước ngọt, nước có gas, đồ ngọt thường chứa hàm lượng đường, axit cao và hay bị kết dính lại trên răng. Sau khi ăn nếu đánh răng không sạch sẽ để lại các mảng bám trên răng. Theo thời gian chúng sẽ kết hợp với vi khuẩn gây ra mùi hôi khó chịu và hình thành các lỗ sâu răng.

(Ăn nhiều đồ ngọt làm tăng nguy cơ mắc sâu răng)(**)
Khoang miệng khô sẽ làm mất cân bằng giữa các chủng vi khuẩn có hại và có lợi đang sống cộng sinh với nhau. Lúc này vi khuẩn có hại sẽ có điều kiện thuận lợi để sinh sôi mạnh mẽ gây ra tình trạng hôi miệng, tăng nguy cơ làm sâu răng.
Khi càng lớn tuổi răng và nướu thường dễ bị lão hóa dẫn đến suy giảm khả năng ăn nhai. Khi men răng bị mòn đi, nướu không còn ôm sát chân răng sẽ dễ mắc các bệnh lý răng miệng.
Chân răng bị sâu nếu không được phát hiện và chữa trị sớm bệnh có thể dẫn đến những tác hại sau:
Nếu răng bị sâu là các răng phía trước không chỉ gây đau nhức, ê buốt mà còn làm ảnh hưởng đến tính thẩm mỹ. Khi đó người bệnh sẽ trở nên tự ti, gặp nhiều hạn chế trong giao tiếp.
Vi khuẩn gây sâu răng không chỉ tấn công ở men răng mà chúng còn thâm nhập vào lớp ngà răng, tủy răng gây đau nhức dữ dội. Nếu không tiến hành khắc phục sớm bệnh có thể gây ra các biến chứng như viêm tủy răng, nhiễm trùng, răng gãy còn chân, răng lung lay thậm chí là mất răng sớm.

(Viêm tủy răng gây đau nhức dữ dội, ảnh hưởng nghiêm trọng đến lối sống của người bệnh)(**)
Sâu chân răng khi tiến triển nghiêm trọng sẽ gây ra các cơn đau, ê buốt răng dữ dội. Điều này sẽ làm suy giảm khả năng ăn nhai, người bệnh sẽ trở nên lười ăn uống hơn.
Vi khuẩn gây sâu không chỉ phá hủy các răng mà chúng còn có thể thâm nhập vào đường máu và di chuyển khắp nơi trong cơ thể. Khi đó chúng sẽ là nguyên nhân chính gây ra các bệnh lý như viêm màng não, tiểu đường, viêm gan, tim mạch, tăng nguy cơ sinh non, nhiễm trùng máu… gây đe dọa đến tính mạng của người bệnh.
Tại Peace Dentistry, quy trình chữa sâu chân răng chuẩn y khoa thường bao gồm các bước sau đây:
Bước 1: Thăm khám kiểm tra và đánh giá tình trạng răng sâu
Bước 2: Vệ sinh chỗ cần trám và tiến hành gây tê
Bước 3: Tiến hành hàn răng
Bước 4: Chỉnh sửa lại chỗ trám
Bệnh sâu chân răng cần được phát hiện sớm và tiến hành điều trị kịp thời. Tại Peace Dentistry, để chữa bệnh lý này tùy thuộc vào tình trạng răng mà bác sĩ sẽ chỉ định các giải pháp sau đây:
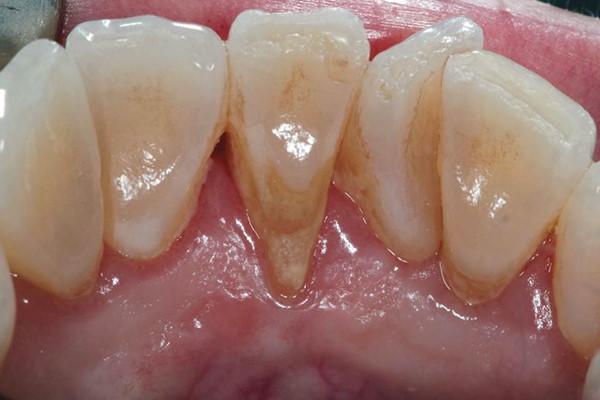
Giải pháp này phù hợp cho trường hợp chân răng bị sâu nhẹ. Để điều trị bác sĩ sẽ làm sạch vùng răng sâu sau đó tiến hành trám lại bằng vật liệu Composite để phục hồi vùng răng bị tổn thương. Sau điều trị chức năng ăn nhai, tính thẩm mỹ sẽ được cải thiện đáng kể.

(Kết quả trám răng được thực hiện tại Peace Dentistry)(**)
Nếu răng sâu và bị viêm tủy, bác sĩ sẽ tiến hành gây tê sau đó khoan một lỗ nhỏ thông với buồng tủy để tủy được lấy ra dễ dàng. Sau khi tủy viêm đã được lấy sạch bác sĩ sẽ tiến hành bọc sứ để khôi phục lại tính thẩm mỹ, chức năng ăn nhai.
Trường hợp răng bị sâu nặng, cấu trúc răng bị phá hủy hoàn toàn. Để hạn chế gây ảnh hưởng đến các răng bên cạnh bác sĩ sẽ yêu cầu nhổ bỏ răng. Sau đó sẽ kết hợp với trồng răng implant để khôi phục răng mất nhằm tránh các biến chứng sau mất răng, duy trì khả năng ăn nhai.
Để hạn chế mắc sâu răng bạn cần tuân thủ một số chỉ định sau:
Hạn chế ăn thực phẩm ngọt, thực phẩm nặng mùi. Thay vào đó là xây dựng chế độ dinh dưỡng hợp lý bằng cách ăn đa dạng các loại thực phẩm như thịt, cá, trứng, sữa, hải sản, rau xanh, trái cây… để bổ sung thêm vitamin, khoáng chất giúp răng và cơ thể luôn khỏe mạnh.
Đánh răng đều đặn 2-3 lần/ngày bằng bàn chải lông mềm. Khi chải nên chải theo chiều xoay tròn hoặc chiều thẳng đứng từ trên xuống để bàn chải có thể len lỏi vào các kẽ răng giúp lấy đi mảng bám dễ dàng hơn. Sau đánh răng nên kết hợp với chỉ nha khoa, máy tăm nước và nước súc miệng để loại bỏ hết vi khuẩn còn sót lại.

(Chăm sóc răng đúng cách là việc làm đơn giản giúp ngăn ngừa hiệu quả các bệnh lý răng miệng)(**)
Nên có thói quen khám răng định kỳ 6 tháng/lần để lấy vôi răng và tầm soát lại sức khỏe răng miệng.

(Thói quen khám răng định kỳ 6 tháng/lần có vai trò vô cùng quan trọng)(**)
Canxi và fluor là 2 khoáng chất vô cùng quan trọng đối với răng. Để giúp răng khoẻ mạnh bạn nên dùng kem đánh răng có chứa hàm lượng fluor phù hợp. Kết hợp bổ sung canxi bằng cách uống hoặc ăn các loại tôm, cá, cua, mực thường xuyên.
Để có kết quả điều trị tối ưu và an toàn thì việc lựa chọn cơ sở nha khoa luôn là yếu tố vô cùng quan trọng. Peace Dentistry là hệ thống nha khoa uy tín tại Tp.HCM. Sau 20 năm thành lập đây là một trong những trung tâm nha khoa chất lượng cao, sở hữu đội ngũ bác sĩ giỏi, tận tâm, trang thiết bị tiên tiến. Nha Khoa Peace Dentistry đã và đang là địa điểm được nhiều khách hàng tin cậy để chữa sâu răng bởi đảm bảo được các yếu tố sau:
Đội ngũ bác sĩ, chuyên gia RHM giỏi chuyên môn, tay nghề cao, giàu kinh nghiệm. Hầu hết các bác sĩ đã qua đào tạo các khóa học nâng cao, sau đại học và đã có chứng chỉ hành nghề… Hơn 40% các bác sĩ đã từng tham gia các khóa đào tạo chuyên sâu ở nước ngoài. Tại Peace Dentistry, để chữa sâu răng bạn sẽ được các bác sĩ, chuyên gia tay nghề cao trực tiếp điều trị nên có thể hoàn toàn yên tâm.

(Đội ngũ bác sĩ, chuyên gia RHM tại nha khoa Peace Dentistry)(**)
Nha khoa được đầu tư các trang thiết bị, công nghệ hiện đại được nhập khẩu trực tiếp từ nước ngoài như: ghế nha Kavo Premium Osstem, máy CT Cone Beam, máy Xquang 3 chiều kỹ thuật số Gendex GXDP-700 Series, Itero…giúp chẩn đoán chính xác nguyên nhân và hỗ trợ tối đa trong suốt quá trình điều trị.

(Ghế nha Kavo Premium và Osstem hiện đại)(**)
Nha khoa sử dụng các vật liệu trám như composite, GIC, amalgam, sứ, vàng, kim loại quý…có nguồn gốc rõ ràng, nhập khẩu chính hãng 100%.
Peace Dentistry cam kết sử dụng các vật liệu sứ chính hãng đến từ Đức: Zirconia DDBio, Cercon HT, Titanium, Zirconia Ceramill Zolid, Lava Plus… đều là những dòng răng sứ chất lượng cao được hiệp hội nha khoa quốc tế khuyên dùng.
Phòng tiểu phẫu được vô trùng cự tím để tránh lây nhiễm chéo và đảm bảo an toàn cho khách hàng trong suốt quá trình điều trị. Ngoài ra các dụng cụ cũng đã được tiệt trùng, vô trùng bằng tia cực tím trước khi đem vào phòng tiểu phẫu.

Hy vọng thông tin về sâu chân răng ở trên đây của chúng tôi đã gửi đến bạn thật nhiều thông tin hữu ích. Để được tư vấn chuyên sâu quý khách hàng có thể inbox fanpage Peace Dentistry Quận 7 hoặc gọi hotline tư vấn dịch vụ: 19002102 để được bác sĩ tư vấn chi tiết nhất.