Sâu răng nặng nếu không điều trị sẽ dẫn đến nhiều biến chứng nguy hiểm thậm chí là gây mất răng. Vậy, giải pháp chữa sâu răng nặng là gì? Chi phí điều trị là bao nhiêu? Bệnh sâu răng có ngăn ngừa được không? Để được giải đáp cụ thể hãy cùng Nha Khoa Peace Dentistry theo dõi bài viết sau đây.
Là tình trạng sâu răng đã phát triển nghiêm trọng gây tổn thương sâu vào cấu trúc bên trong bao gồm cả lớp ngà và tủy răng. Nếu không được điều trị kịp thời răng có thể bị viêm tủy, nhiễm trùng lan rộng và thậm chí mất răng vĩnh viễn.

(Không nên chủ quan khi bị sâu răng nặng)(**)
Bạn có thể dễ dàng phân biệt 2 tình trạng này thông qua bảng phân tích sau:
| Tiêu chí | Sâu răng thông thường | Sâu răng nặng |
| Mức độ tổn thương | Chỉ ở lớp men răng bên ngoài. | Đã ăn sâu vào lớp ngà răng, hoặc tủy răng. |
| Cảm giác đau, ê buốt | Ít đau hoặc chỉ đau, ê buốt nhẹ khi ăn đồ ngọt, nóng, lạnh | Đau dữ dội, đau nhiều hơn khi về đêm |
| Hình dạng răng | Cấu trúc răng chưa thay đổi, chỉ xuất hiện các lỗ sâu nhỏ trên răng | Răng vỡ mẻ, lỗ sâu lớn, thậm chí mất một phần răng |
| Tác hại | Chưa gây ảnh hưởng nhiều đến tính thẩm mỹ, chức năng ăn nhai | Gây nhiễm trùng, sưng nướu, lan sang răng khác |
| Giải pháp điều trị | Tái khoáng hóa men răng, trám răng | Điều trị tủy răng, bọc răng sứ, nhổ răng |
| Thời gian chữa trị | Nhanh chóng | Tùy theo tình trạng răng mà có thể đến nha khoa 1 hoặc nhiều lần |
Vi khuẩn thâm nhập vào men răng khiến cho lớp cứng nhất của răng bị tổn thương. Lúc này bạn có thể thấy trên bề mặt răng, kẽ răng có xuất hiện những chấm trắng, đen, nâu. Ở giai đoạn này bạn vẫn có thể ăn uống bình thường. Tuy nhiên, thỉnh thoảng răng sẽ có cảm giác ê buốt nhẹ nhưng thoáng qua rất nhanh.
Khi vi khuẩn ăn qua lớp men răng chúng tiếp tục tấn công vào lớp ngà răng. Lúc này, răng bắt đầu ê buốt khi ăn đồ lạnh, ngọt hoặc nóng. Nếu không điều trị sâu sẽ lan rộng khiến răng yếu và dễ vỡ hơn.
Đây là giai đoạn rất nghiêm trọng, vi khuẩn xâm nhập vào tủy răng nơi chứa dây thần kinh và mạch máu. Người bệnh thường gặp các cơn đau nhức dữ dội gây ảnh hưởng đến lối sống sinh hoạt. Nếu không chữa trị tủy sẽ chết gây viêm nhiễm, áp xe răng, hoặc nhiễm trùng lan rộng thậm chí là gây mất răng.

(Sâu răng tiến triển âm thầm nhưng gây ra nhiều biến chứng rất nguy hiểm)(**)
Bệnh lý răng sâu nặng thường có những dấu hiệu sau:
Dưới đây là những nguyên nhân phổ biến dẫn đến răng sâu nặng
Không đánh răng đúng cách, không dùng chỉ nha khoa hay súc miệng thường xuyên khiến vi khuẩn tích tụ, tấn công men răng và gây sâu răng nặng dần.
Ăn nhiều tinh bột, bánh kẹo ngọt, nước ngọt, nước có gas… thường chứa hàm lượng đường cao và dễ tích tụ mảng bám quanh răng. Sau khi ăn nếu đánh răng không sạch sẽ để lại các mảng bám trên răng. Chúng sẽ kết hợp với vi khuẩn gây ra mùi hôi khó chịu và gây sâu răng tiến triển.

(Tiêu thụ nhiều thực phẩm ngọt có thể làm gia tăng mắc các bệnh lý răng miệng)(**)
Sâu răng ban đầu nếu không khắc phục sớm vi khuẩn sẽ tiếp tục ăn sâu vào bên trong gây viêm tủy, nhiễm trùng và nhiều biến chứng khác.
Tụt nướu làm lộ cổ răng và chân răng. 2 bộ phận này không có lớp men răng bảo vệ nên rất dễ bị vi khuẩn tấn công và gây sâu răng.
Một số người có men răng yếu hoặc cấu trúc răng dễ bị sâu do di truyền từ gia đình. Dù vệ sinh răng đúng cách những vẫn có khả năng mắc sâu răng nặng.
Sâu răng là bệnh lý nguy hiểm, khi phát hiện nhưng không tiến hành chữa trị sớm sẽ gây ra những tác hại sau đây:
Vi khuẩn gây sâu ở răng hàm hoặc răng khác có thể thâm nhập vào buồng tủy gây viêm tủy, chết tủy. Biến chứng này có thể gây đau nhức dữ dội làm ảnh hưởng đến thói quen sinh hoạt của người bệnh.
Áp xe chân răng là một trong những biến chứng thường gặp khi mắc sâu răng. Đây là một dạng nhiễm trùng gây xuất hiện các nốt mủ ở dưới chân răng và có khả năng gây mất răng vô cùng cao.
Sâu răng nghiêm trọng có thể làm gãy ngang răng, khi cấu trúc răng bị phá hủy càng nhiều thì nguy cơ mất răng vĩnh viễn sẽ càng cao.
Vi khuẩn từ răng sâu có thể lan sang răng bên cạnh gây sâu thêm nhiều răng nếu không được kiểm soát.
Vi khuẩn gây sâu răng không chỉ phá hủy các răng mà chúng còn có thể theo đường máu thâm nhập vào trong cơ thể gây ra tình trạng nhiễm trùng máu, tiểu đường, tim mạch, viêm màng não gây đe dọa tính mạng của người bệnh.

(Sâu răng nghiêm trọng gây ra các cơn đau nhức kéo dài làm ảnh hưởng đến thói quen sinh hoạt của người bệnh)(**)
Sâu răng nặng là bệnh lý nguy hiểm. Để giữ lại răng thật tối đa bạn nên chủ động đến nha khoa kiểm tra sớm. Tại Peace Dentistry, để điều trị tùy thuộc vào tình trạng răng mà bác sĩ sẽ chỉ định các giải pháp sau:
Nếu răng đã bị viêm tủy bác sĩ sẽ tiến hành loại bỏ tủy viêm. Sau đó kết hợp với thủ thuật trám để tạo hình lại mô răng giúp khôi phục lại tính thẩm mỹ và khả năng ăn nhai.
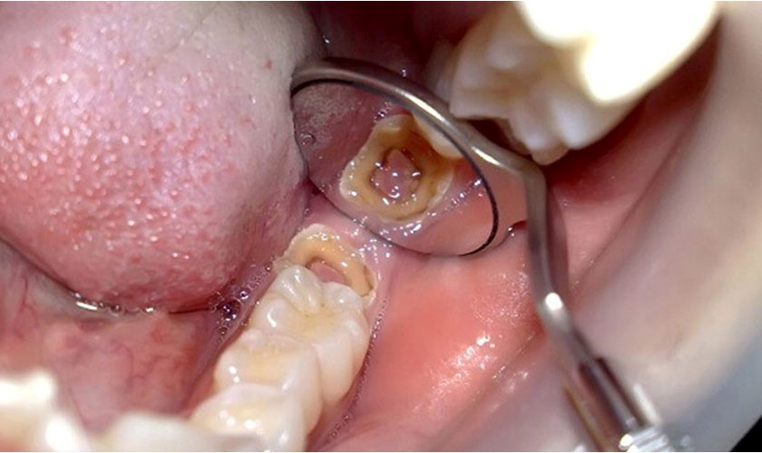
Bọc răng sứ sẽ được áp dụng cho trường hợp răng sâu vỡ lớn, tủy đã có viêm hoặc không. Bác sĩ sẽ tiến hành chữa tủy (nếu có) sau đó sẽ mài răng để tiến hành lấy dấu và chế tác mão sứ có kích thước phù hợp. Tiếp đến sẽ gắn mão sứ lên răng và tiến hành tinh chỉnh đến khi hoàn thiện. Răng sau bọc sứ sẽ giúp đảm bảo khả năng ăn nhai và tăng tính thẩm mỹ đáng kể.

(Ca lâm sàng chữa tủy kết hợp bọc sứ được thực hiện tại Peace Dentistry)(**)
Trường hợp răng bị sâu nặng, cấu trúc răng bị phá hủy hoàn toàn. Để hạn chế gây ảnh hưởng đến các răng bên cạnh bác sĩ sẽ yêu cầu nhổ bỏ răng. Sau đó sẽ kết hợp với trồng răng implant để khôi phục răng mất nhằm đảm bảo khả năng ăn nhai.
Tại Peace Dentistry, giá chữa sâu răng cho mỗi dịch vụ cụ thể là:
Do tình trạng răng, số lượng răng sâu của mỗi người là khác nhau nên sẽ có sự chênh lệch về mức giá chữa trị. Để biết mức chi phí chính xác bạn nên đến nha khoa kiểm tra. Sau thăm khám, chụp phim bác sĩ sẽ phân tích và đánh giá để lựa chọn giải pháp, lập kế hoạch chữa trị và báo mức chi phí cụ thể.
Để ngăn ngừa bệnh lý này bác sĩ Peace Dentistry khuyên bạn nên tuân thủ một số chỉ định sau:
Đánh răng đều đặn 2-3 lần/ngày bằng bàn chải lông mềm. Nên chải răng theo chiều xoay tròn để bàn chải có thể len lỏi vào các kẽ răng giúp lấy đi mảng bám dễ dàng hơn. Sau đánh răng nên kết hợp với chỉ nha khoa, máy tăm nước và nước súc miệng để loại bỏ hết vi khuẩn còn sót lại.

(Vệ sinh răng miệng đúng cách là việc làm đơn giản giúp hạn chế mắc sâu răng)(**)
Hạn chế ăn nhiều thực phẩm ngọt, nước có gas các loại. Thay vào đó là xây dựng chế độ dinh dưỡng hợp lý bằng cách ăn đa dạng các loại thực phẩm như thịt, cá, trứng, sữa, hải sản, rau xanh, trái cây… để bổ sung thêm vitamin, khoáng chất giúp răng và nướu luôn khỏe mạnh.
Lựa chọn kem đánh răng có nồng độ fluor phù hợp. Fluor khi được bổ sung đều đặn sẽ giúp răng trở nên cứng chắc giúp hạn chế mắc các bệnh lý răng miệng.
Nên duy trì thói quen khám răng định kỳ 6 tháng/lần để lấy vôi răng và tầm soát lại sức khỏe răng miệng.
Để có kết quả điều trị tối ưu và an toàn thì việc lựa chọn cơ sở nha khoa luôn là yếu tố vô cùng quan trọng. Peace Dentistry là hệ thống nha khoa uy tín tại Tp.HCM. Sau 20 năm thành lập đây là một trong những trung tâm nha khoa chất lượng cao, sở hữu đội ngũ bác sĩ giỏi và tận tâm. Nha Khoa Peace Dentistry đã và đang là địa điểm được nhiều khách hàng tin cậy để chữa sâu răng bởi đảm bảo được các yếu tố sau:
Đội ngũ bác sĩ, chuyên gia RHM giỏi chuyên môn, tay nghề cao, giàu kinh nghiệm. Hầu hết các bác sĩ đã qua đào tạo các khóa học nâng cao, sau đại học và đã có chứng chỉ hành nghề… Hơn 40% các bác sĩ đã từng tham gia các khóa đào tạo chuyên sâu ở nước ngoài. Tại Peace Dentistry, để chữa sâu răng bạn sẽ được các bác sĩ, chuyên gia tay nghề cao trực tiếp điều trị nên có thể hoàn toàn yên tâm.

(Đội ngũ bác sĩ, chuyên gia RHM tại nha khoa Peace Dentistry)(**)
Nha khoa được đầu tư các trang thiết bị, công nghệ hiện đại được nhập khẩu trực tiếp từ nước ngoài như: ghế nha Kavo Premium Osstem, máy CT Cone Beam, máy Xquang 3 chiều kỹ thuật số Gendex GXDP-700 Series, Itero…giúp chẩn đoán chính xác nguyên nhân và hỗ trợ tối đa trong suốt quá trình điều trị.

(Ghế nha Kavo Premium và Osstem hiện đại)(**)
Nha khoa sử dụng các vật liệu trám như composite, GIC, amalgam, sứ, vàng, kim loại quý…có nguồn gốc rõ ràng, nhập khẩu chính hãng 100%.
Peace Dentistry cam kết sử dụng các vật liệu sứ chính hãng đến từ Đức: Zirconia DDBio, Cercon HT, Titanium, Zirconia Ceramill Zolid, Lava Plus… đều là những dòng răng sứ chất lượng cao được hiệp hội nha khoa quốc tế khuyên dùng.
Các trụ Implant như: ETK, Hiossen (Mỹ), C-Tech (Ý), Neodent Straumann (Brazil)…được nhập khẩu chính hãng, có chứng nhận xuất xứ rõ ràng.
Phòng tiểu phẫu được vô trùng cự tím để tránh lây nhiễm chéo và đảm bảo an toàn cho khách hàng trong suốt quá trình điều trị. Ngoài ra các dụng cụ cũng đã được tiệt trùng, vô trùng bằng tia cực tím trước khi đem vào phòng tiểu phẫu.

Hy vọng thông tin về sâu răng nặng ở trên đây của chúng tôi đã gửi đến bạn thật nhiều thông tin hữu ích. Để được tư vấn chuyên sâu quý khách hàng có thể inbox fanpage Peace Dentistry Quận 7 hoặc gọi hotline tư vấn dịch vụ: 19002102 để được bác sĩ tư vấn chi tiết nhất.
(Để lại thông tin và vấn đề về răng của bạn, Nha khoa sẽ gọi lại tư vấn ngay)