Sâu răng nhẹ nếu được phát hiện sớm thì việc điều trị sẽ vô cùng đơn giản. Làm thế nào để nhận biết mình bị sâu răng nhẹ? Sâu răng nhẹ có tự khỏi không? Giải pháp chữa sâu răng là gì? Để biết thêm thông tin về chủ đề này hãy cùng Nha Khoa Peace Dentistry theo dõi bài viết sau đây.
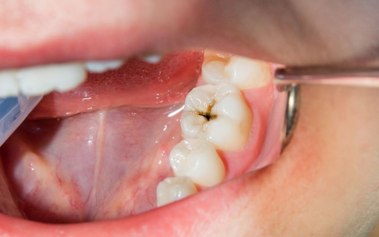
Sâu răng nhẹ (sâu răng mới chớm, sâu răng khởi phát) là tình trạng men răng bị tổn thương do sự tấn công của chủng vi khuẩn Streptococus Mutans. Chúng làm hình thành nên các lỗ sâu nhỏ trên răng mà bạn có thể dễ dàng phát hiện khi nhìn bằng mắt thường.

(Mọi đối tượng đều có thể mắc sâu răng nhẹ)(**)
Bạn có thể nhận biết tình trạng sâu răng nhẹ qua các dấu hiệu sau:

(Răng sâu ở giai đoạn đầu chưa ảnh hưởng nhiều đến sức khỏe răng miệng)(**)
Dưới đây là một số nguyên nhân phổ biến dẫn đến sâu răng:
Lười đánh răng, chải răng theo chiều ngang quá mạnh, dùng bàn chải đánh răng lông cứng sẽ không thể làm sạch vi khuẩn và mảng bám. Khi vi khuẩn, mảng bám tích tụ càng nhiều sẽ gây hôi miệng, răng ố vàng, hình thành lỗ sâu răng.
Ăn nhiều thực phẩm nặng mùi, bánh mì, kẹo, uống nước ngọt, nước có gas có thể làm gia tăng các mảng bám tích tụ quanh kẽ răng, chân răng. Sau khi ăn nếu vệ sinh răng miệng kém các vi khuẩn, mảng bám tích tụ nhiều hơn sẽ gây ra tình trạng hôi miệng, viêm nướu, sâu răng.

(Không nên ăn nhiều đồ ngọt quá thường xuyên)(**)
Fluor giữ vai trò quan trọng trong việc hình thành men răng cứng chắc. Do đó, khi thiếu fluor răng sẽ trở nên yếu, men răng mỏng và rất dễ mắc bệnh lý răng miệng.
Khoang miệng khô sẽ làm mất cân bằng giữa các chủng vi khuẩn có hại và có lợi đang sống cộng sinh với nhau. Lúc này vi khuẩn có hại sẽ có điều kiện thuận lợi để sinh sôi mạnh mẽ gây ra tình trạng hôi miệng, tăng nguy cơ làm sâu răng.
Gen di truyền cũng là một trong những nguyên nhân phổ biến khiến bạn dễ dàng mắc các bệnh răng miệng. Nếu trong gia đình có ông bà, ba mẹ có sức khỏe răng miệng kém, dễ mắc sâu răng thì khả năng cao bạn cũng sẽ mắc tình trạng răng tương tự.
Bệnh lý trào ngược dạ dày thực quản làm axit trào ngược lên vòm họng, khoang miệng. Chúng không chỉ gây nóng rát, hơi thở có mùi mà men răng cũng có thể bị mòn, sâu răng do tiếp xúc với axit HCL từ dạ dày trong một thời gian dài.
Thói quen nghiến răng kéo dài không chỉ gây gây ê buốt răng, đau mỏi hàm. Nếu tình trạng này kéo dài lực nghiến răng mạnh có thể làm mòn men răng. Khi đó, vi khuẩn Streptococus Mutans có tể dễ dàng thâm nhập vào sâu bên trong răng dẫn đến sâu răng.
Khi nhận thấy bị sâu răng nhẹ nhiều người thường bỏ qua. Tuy nhiên, nếu bạn để chúng tiếp tục phát triển và không chữa trị sớm sẽ dẫn đến những biến chứng sau:
Kích thước của lỗ sâu sẽ tiến triển ngày càng to hơn và kèm theo nhiều triệu chứng khó chịu khác.

(Vi khuẩn gây sâu răng lây lan và tấn công sang các răng khác có thể dẫn đến tình trạng viêm tủy răng, nhiễm trùng ở 1 hoặc nhiều răng)(**)
Sâu răng khi đã tấn công đến ngà răng sẽ gây ra những cơn đau, ê buốt kéo dài mỗi khi bạn ăn các thực phẩm nóng hoặc lạnh
Nếu sâu răng ở khu vực răng cửa, răng nanh sẽ gây ảnh hưởng trực tiếp đến tính thẩm mỹ. Người bệnh sẽ kém tự tin, e ngại khi giao tiếp
Vi khuẩn gây sâu răng có khả năng di chuyển khắp khoang miệng và dễ dàng tấn công, gây sâu các răng kế cận.
Trong quá trình ăn nhai các mảng bám thức ăn thường dễ bị mắc lại ở các lỗ sâu. Khi vệ sinh răng miệng sai cách sẽ không loại bỏ hết chúng. Theo thời gian các mảng bám này tích tụ càng nhiều sẽ gây ra tình trạng hôi miệng
Sâu răng càng để lâu sẽ gây ra nhiều biến chứng nghiêm trọng kéo theo chi phí điều trị sẽ ngày càng gia tăng
Vi khuẩn gây sâu không chỉ phá hủy các răng mà chúng còn có thể thâm nhập vào đường máu và di chuyển khắp nơi trong cơ thể. Khi đó chúng sẽ là nguyên nhân chính gây ra các bệnh lý như viêm màng não, tiểu đường, viêm gan, tim mạch, tăng nguy cơ sinh non, nhiễm trùng máu… gây đe dọa đến tính mạng của người bệnh.

(Răng sâu đến tủy cần được khắc phục càng sớm càng tốt)(**)
Khi phát hiện bị sâu răng nhẹ bạn nên chủ động đến nha khoa uy tín để khám và chữa trị kịp thời. Tại Peace Dentistry, để chữa bệnh lý này tùy thuộc vào tình trạng răng mà bác sĩ sẽ áp dụng các giải pháp sau đây:
Nếu sâu răng chỉ mới tấn công lên vùng men răng bác sĩ sẽ chỉ định tái khoáng hoá men răng. Để thực hiện bác sĩ sẽ sử dụng gel có chứa florua để bôi trực tiếp lên răng để ngăn chặn sự tấn công của vi khuẩn. Sau khi bôi florua bạn nên hạn chế ăn trong vòng 30 phút để chúng có thời gian hấp thụ vào răng.
Nếu sâu răng đã hình thành lỗ sâu ở men răng và ngà răng thì trám răng sẽ là giải pháp phù hợp. Để điều trị bác sĩ sẽ tiến hành làm sạch vùng răng sâu sau đó tiến hành trám lại bằng vật liệu composite. Miếng trám composite có màu gần giống với răng thật, độ bền cao nên có thể đảm bảo tốt cả chức năng ăn nhai và tính thẩm mỹ cho bạn.

(Kết quả trám sâu răng nhẹ được điều trị tại Peace Dentistry)(**)
Xem thêm: Sâu răng nhẹ đánh răng có hết không?
Để hạn chế mắc sâu răng bác sĩ Peace Dentistry khuyên bạn nên tuân thủ một số chỉ định sau:

(Đánh răng đúng cách là việc làm đơn giản giúp ngăn ngừa các bệnh lý răng miệng hiệu quả)(**)

(Bổ sung canxi thường xuyên giúp răng và xương luôn được chắc khỏe)(**)
Nên có thói quen kiểm tra răng định kỳ từ 6 tháng – 1 năm/lần. Điều này sẽ giúp kiểm soát sức khỏe răng miệng tốt hơn hoặc có thể phát hiện sớm bệnh lý và có giải pháp khắc phục kịp thời.
Uống đủ 2 lít nước/ngày để làm ẩm khoang miệng và cung cấp nước cho cơ thể. Khi khoang miệng đủ ẩm sẽ giúp ngăn ngừa hiệu quả các bệnh lý răng miệng.

(Mỗi ngày nên uống ít nhất 2 lít nước để tăng cường độ ẩm cho khoang miệng, cung cấp đủ nước cho cơ thể)(**)
Để có kết quả điều trị tối ưu và an toàn thì việc lựa chọn cơ sở nha khoa luôn là yếu tố vô cùng quan trọng. Peace Dentistry là hệ thống nha khoa uy tín tại Tp.HCM. Sau 20 năm thành lập đây là một trong những trung tâm nha khoa chất lượng cao, sở hữu đội ngũ bác sĩ giỏi, tận tâm, trang thiết bị tiên tiến. Nha Khoa Peace Dentistry đã và đang là địa điểm được nhiều khách hàng tin cậy để chữa sâu răng bởi đảm bảo được các yếu tố sau:
Đội ngũ bác sĩ, chuyên gia RHM giỏi chuyên môn, tay nghề cao, giàu kinh nghiệm. Hầu hết các bác sĩ đã qua đào tạo các khóa học nâng cao, sau đại học và đã có chứng chỉ hành nghề… Hơn 40% các bác sĩ đã từng tham gia các khóa đào tạo chuyên sâu ở nước ngoài. Tại Peace Dentistry, để chữa sâu răng bạn sẽ được các bác sĩ, chuyên gia tay nghề cao trực tiếp điều trị nên có thể hoàn toàn yên tâm.

(Đội ngũ bác sĩ, chuyên gia RHM tại nha khoa Peace Dentistry)(**)
Nha khoa được đầu tư các trang thiết bị, công nghệ hiện đại được nhập khẩu trực tiếp từ nước ngoài như: ghế nha Kavo Premium Osstem, máy CT Cone Beam, máy Xquang 3 chiều kỹ thuật số Gendex GXDP-700 Series, Itero…giúp chẩn đoán chính xác nguyên nhân và hỗ trợ tối đa trong suốt quá trình điều trị.

(Ghế nha Kavo Premium và Osstem hiện đại)(**)
Nha khoa sử dụng các vật liệu trám như composite, GIC, amalgam, sứ, vàng, kim loại quý…có nguồn gốc rõ ràng, nhập khẩu chính hãng 100%.
Phòng tiểu phẫu được vô trùng cự tím để tránh lây nhiễm chéo và đảm bảo an toàn cho khách hàng trong suốt quá trình điều trị. Ngoài ra các dụng cụ cũng đã được tiệt trùng, vô trùng bằng tia cực tím trước khi đem vào phòng tiểu phẫu.

Mặc dù sâu răng là do vi khuẩn gây nên và thuốc kháng sinh có tác dụng hiệu quả đối với vi khuẩn. Tuy nhiên, nếu chỉ bị sâu răng nhẹ thì chưa cần thiết dùng đến thuốc kháng sinh. Bác sĩ sẽ cho dùng thuốc kháng sinh nếu bạn đang bị nhiễm trùng răng, răng bị đau nhức dữ dội. Ngoài ra, bạn cũng không được dùng thuốc kháng sinh mà chưa đi thăm khám với nha sỹ. Bởi tự ý dùng thuốc kháng sinh có thể gây lờn thuốc, rối loạn tiêu hóa, mất cân bằng hệ vi sinh ruột và nhiều tác dụng phụ không mong muốn.
Đánh răng chỉ có tác dụng làm sạch khoang miệng và không thể chữa dứt điểm bệnh sâu răng. Để điều trị bệnh lý này bạn cần phải can thiệp các thủ thuật nha khoa như tái khoáng men răng, trám răng, chữa tủy bọc sứ.
Khác với các bộ phận khác trên cơ thể. Răng khi đã bị tổn thương chúng sẽ không có khả năng tự tái tạo và phục hồi trở lại. Để tạo hình, khôi phục lại mô răng sẽ cần phải can thiệp các phương pháp điều trị ở nha khoa.
Hy vọng thông tin về sâu răng nhẹ ở trên đây của chúng tôi đã gửi đến bạn thật nhiều thông tin hữu ích. Để được tư vấn chuyên sâu quý khách hàng có thể inbox fanpage Peace Dentistry hoặc gọi hotline tư vấn dịch vụ: 19002102 để được bác sĩ tư vấn chi tiết nhất.