Trám răng hàm là trường hợp thường gặp do đây là răng có kích thước lớn, nằm sâu trong cung hàm, khó vệ sinh nên rất dễ mắc bệnh lý răng miệng. Vậy, trám răng hàm có hiệu quả không? Trám răng sử dụng được bao lâu? Chi phí điều trị như thế nào? Để giải đáp chi tiết các thắc mắc này hãy cùng Nha Khoa Peace Dentistry theo dõi bài viết sau đây.
Tám răng là thủ thuật mà bác sĩ sử dụng các vật liệu nha khoa để tái tạo lại mô răng hàm bị tổn thương. Vật liệu trám sẽ lấp đầy các khoảng trống trên răng giúp ngăn ngừa vi khuẩn xâm nhập, bảo vệ răng thật tốt hơn.

(Trám răng là thủ thuật phổ biến)(**)
Dưới đây là một số nguyên nhân phổ biến khiến răng hàm dễ hư hỏng:
Răng hàm trên và hàm dưới nằm sâu trong cung hàm và có chức năng chính là nghiền nát thức ăn. Trong quá trình ăn uống hàng ngày, răng hàm phải chịu một lực tác động mạnh và lặp đi lặp lại nhiều lần. Lực nhai lớn khiến men răng bị mài mòn theo thời gian, làm tăng nguy cơ nứt vỡ, sứt mẻ và sâu răng.
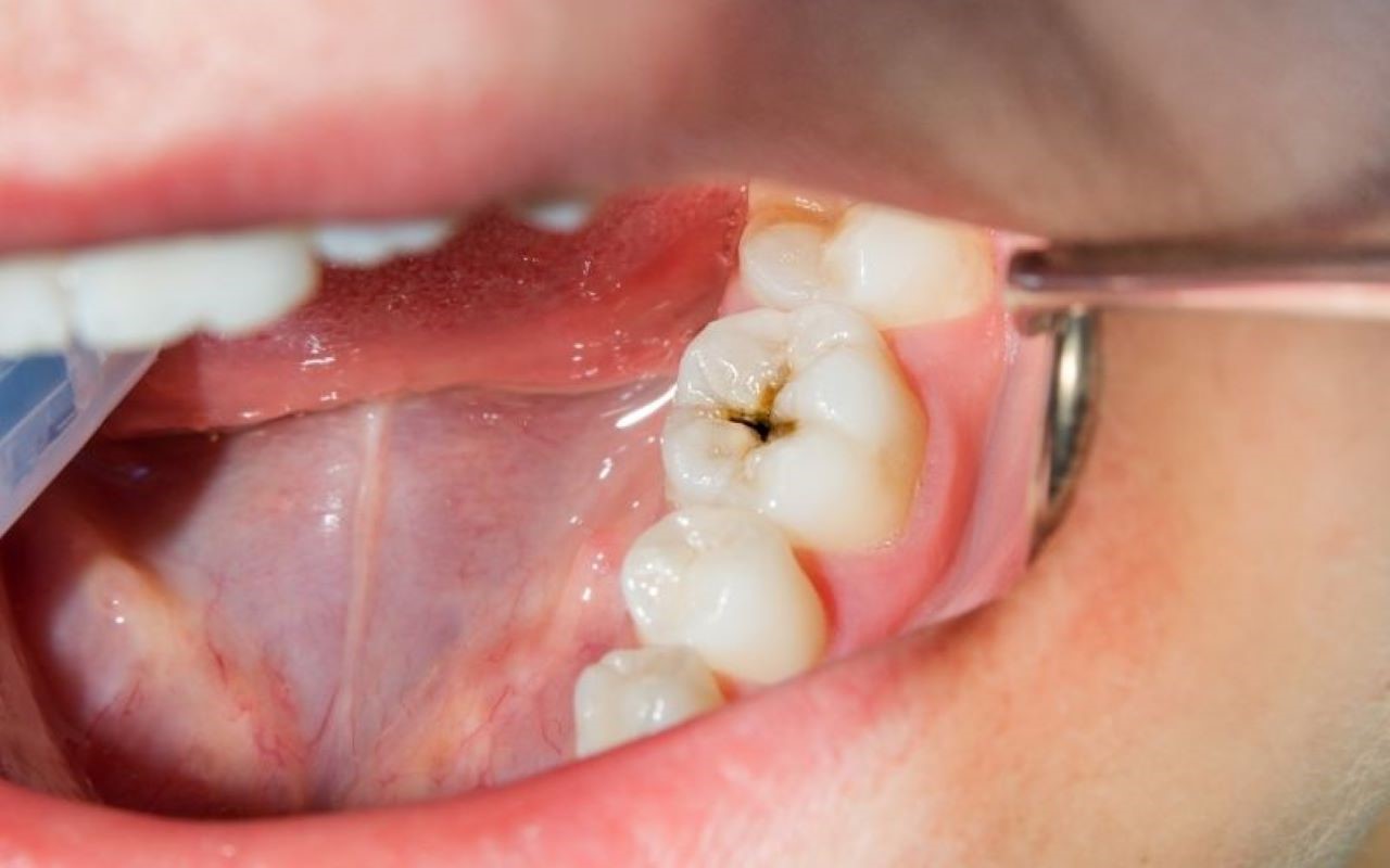
Răng hàm trên nằm trong cùng nên khó quan sát và gặp nhiều khó khăn khi vệ sinh. Nếu không chải răng đúng cách, thức ăn rất dễ mắc lại trong các kẽ của mặt nhai gây ra các bệnh lý như: hôi miệng, viêm nướu, sâu kẽ răng.
Mặt nhai của răng hàm có cấu tạo nhiều rãnh nhỏ, giúp nghiền thức ăn hiệu quả. Tuy nhiên, các rãnh này lại dễ giữ lại mảnh vụn thực phẩm. Nếu không làm sạch kỹ các vi khuẩn, mảng bám sẽ tích tụ càng nhiều gây tổn thương và hình thành lỗ sâu.
Một số thói quen không lành mạnh như ăn uống nhiều thực phẩm ngọt,trái cây chứa nhiều axit, hút thuốc lá, nghiến răng… cũng làm tăng nguy cơ mắc các bệnh lý cho răng hàm.

(Răng hàm nằm trong cùng, gặp nhiều khó khăn khi vệ sinh nên rất dễ mắc bệnh lý răng miệng)(**)
Bác sĩ sẽ chỉ định thủ thuật này nếu bạn thuộc một trong các trường hợp sau:
Có 5 loại vật liệu hàn răng phổ biến hiện nay là:
Composite là chất liệu trám đang được sử dụng phổ biến hiện nay. Chúng thường được làm từ thủy tinh hoặc thạch anh trong nhựa. Trám răng composite thường được dùng để trám cho răng sâu, sứt, mẻ từ kích thước nhỏ đến trung bình.
Ưu điểm:
Nhược điểm:

(Trám răng bằng composite là giải pháp giúp tiết kiệm chi phí đáng kể)(**)
Đây là vật liệu được cấu tạo từ hỗn hợp các kim loại như thủy ngân, bạc, kẽm, đồng,…
Ưu điểm:
Nhược điểm:
Chất liệu trám này được làm hoàn toàn từ phôi sứ nguyên chất
Ưu điểm:
Nhược đểm:

(Hàn răng Inlay/Onlay giúp đảm bảo khả năng ăn nhai, cải thiện tính thẩm mỹ đáng kể)(**)
GIC là chất liệu trám được làm bằng axit acrylic và bột thủy tinh mịn
Ưu điểm:
Nhược điểm:
Kim loại ở đây có thể được làm từ vàng hoặc titan bởi chúng có khả năng tương thích tốt với khoang miệng.
Ưu điểm:
Nhược điểm:
Trám răng hàm có đau không sẽ còn tùy thuộc vào bệnh lý, tình trạng răng ở mỗi người. Thông thường, hàn răng sẽ không đau nếu răng bạn chỉ bị sâu ở mức độ nhẹ. Trường hợp răng sâu nặng gây viêm tủy, áp xe chân răng để giảm đau bác sĩ sẽ tiến hành gây tê. Lúc này hầu như bạn sẽ không cảm nhận bất kỳ cơn đau, khó chịu nào trong suốt quá trình chữa trị.
Tại Peace Dentistry, quy trình trám răng chuẩn y khoa được thực hiện như sau:
Bước 1: Thăm khám kiểm tra và đánh giá tình trạng răng
Bước 2: Vệ sinh chỗ cần trám và tiến hành gây tê
Bước 3: Tiến hành hàn răng
Bước 4: Chỉnh sửa lại chỗ trám

(Kết quả trám răng hàm được điều trị tại Peace Dentistry)(**)
Tại Peace Dentistry, giá hàn răng hàm thường dao động từ 300.000 – 450.000 đ/răng hoặc cao hơn tùy thuộc vào tình trạng răng và loại vật liệu trám. Để biết mức chi phí chính xác bạn nên đến nha khoa để bác sĩ kiểm tra, chụp phim. Tùy theo mức độ tổn thương răng bác sĩ sẽ báo mức giá cụ thể cũng như có phát đồ điều trị phù hợp.
Trám răng thẩm mỹ |
|
| Dịch Vụ | Giá Niêm Yết (VND) |
| Trám răng sâu, mẻ, vỡ, gãy, mòn cổ (Composite) | 300.000 - 450.000 |
| Trám, đắp kẽ răng thưa (Composite) | 1.500.000 |
| Đắp mặt răng | 600.000 |
| Đính đá, kim cương lên răng (công đính) | 400.000 |
Giá hàn răng ở mỗi khách hàng sẽ có sự chênh lệch là do các yếu tố sau đây:

(Số lượng răng trám càng nhiều thì chi phí chữa trị sẽ càng cao)(**)
Tùy thuộc vào loại vật liệu trám mà tuổi thọ của chúng sẽ có sự chênh lệch. Thông thường độ bền của miếng trám có thể kéo dài từ 3 – 10 năm và có thể sử dụng lâu hơn nếu bạn chăm sóc răng đúng cách.
Đồ bền của miếng trám còn phụ thuộc vào các yếu tố sau đây:

(Miếng trám có bền không sẽ phụ thuộc rất lớn vào kĩ thuật trám của bác sĩ)(**)
Để miếng trám được sử dụng lâu, bác sĩ Peace Dentistry khuyên bạn nên làm theo các chỉ định sau:
Để đảm bảo quá trình trám răng diễn ra an toàn và hiệu quả thì việc lựa chọn cơ sở nha khoa có vai trò vô cùng quan trọng. Peace Dentistry hiện đang là một trong những hệ thống nha khoa uy tín tại Tp.HCM. Sau 20 năm thành lập với số lượng khách hàng đông đảo cùng đội ngũ bác sĩ giỏi tận tâm, trang thiết bị máy móc tiên tiến. Nha Khoa Peace Dentistry đã và đang là địa chỉ được nhiều khách hàng lựa chọn để trám răng bởi đảm bảo được các yếu tố sau:
Peace Dentistry có đội ngũ bác sĩ, chuyên gia RHM giỏi chuyên môn, nhiều năm kinh nghiệm. Các bác sĩ được đào tạo liên tục các chương trình sau đại học, tham gia các buổi hội thảo, các lớp nâng cao năng lực và chuyên môn ở trong và ngoài nước. Để hàn răng bạn sẽ được điều trị trực tiếp với bác sĩ tay nghề cao và nhiều kinh nghiệm, thao tác kĩ thuật đúng giúp hạn chế đau và đảm bảo tối ưu được kết quả chữa trị.

(Đội ngũ bác sĩ, chuyên gia tại nha khoa Peace Dentistry)(**)
Peace Dentistry được đầu tư các trang thiết bị, công nghệ hiện đại được nhập khẩu trực tiếp từ nước ngoài như: ghế nha Kavo Premium Osstem, máy CT Cone Beam, máy Xquang 3 chiều kỹ thuật số Gendex GXDP-700 Series,…giúp chẩn đoán chính xác nguyên nhân và hỗ trợ tối đa trong suốt quá trình điều trị.

(Hệ thống trang thiết bị, công nghệ tân tiến tại Peace Dentistry)(**)
Nha khoa sử dụng các vật liệu trám như composite, GIC, amalgam, sứ, vàng, kim loại quý…có nguồn gốc rõ ràng, nhập khẩu chính hãng 100%.
Phòng tiểu phẫu được vô trùng cự tím để tránh lây nhiễm chéo và đảm bảo an toàn cho khách hàng trong suốt quá trình điều trị. Ngoài ra các dụng cụ cũng đã được tiệt trùng, vô trùng bằng tia cực tím trước khi đem vào phòng tiểu phẫu.

(Khâu vô trùng luôn được đảm bảo nhằm tránh lây nhiễm chéo, đảm bảo an toàn cho khách hàng trong suốt quá trình điều trị)(**)
Hy vọng thông tin về trám răng hàm ở trên đây của chúng tôi đã gửi đến bạn thật nhiều thông tin hữu ích. Để được tư vấn chuyên sâu quý khách hàng có thể inbox fanpage Peace Dentistry Quận 7 hoặc gọi hotline tư vấn dịch vụ: 19002102 để được bác sĩ tư vấn chi tiết nhất.
(Để lại thông tin và vấn đề về răng của bạn, Nha khoa sẽ gọi lại tư vấn ngay)