Răng sâu lỗ to nếu không tiến hành chữa trị có thể gây ra nhiều biến chứng nguy hiểm thậm chí là gây mất răng. Vậy, để khắc phục tình trạng này thì nên can thiệp phương pháp nào? Trám răng sâu lỗ to có hiệu quả không? Để giải đáp cụ thể về vấn đề này, hãy cùng Nha Khoa Peace Dentistry tìm hiểu bài viết sau đây.
Răng sâu lỗ to là tình trạng trên bề mặt răng, kẽ răng xuất hiện lỗ sâu có kích thước to. Đây là mức độ sâu răng nghiêm trọng gây đau nhức làm ảnh hưởng đến chức năng ăn nhai và thói quen sinh hoạt của người bệnh.
Răng sâu lỗ to thường đến từ những nguyên nhân sau:
Không đánh răng đúng cách, không dùng chỉ nha khoa hay súc miệng thường xuyên khiến vi khuẩn tích tụ, tấn công men răng và gây sâu răng nặng dần.
Ăn nhiều tinh bột, bánh kẹo ngọt, nước ngọt, nước có gas… thường chứa hàm lượng đường cao và dễ tích tụ mảng bám quanh răng. Sau khi ăn nếu đánh răng không sạch sẽ để lại các mảng bám trên răng. Chúng sẽ kết hợp với vi khuẩn gây ra mùi hôi khó chịu và gây sâu răng tiến triển.
Sâu răng ban đầu nếu không khắc phục sớm vi khuẩn sẽ tiếp tục ăn sâu vào bên trong gây viêm tủy, nhiễm trùng và nhiều biến chứng khác.
Tụt nướu làm lộ cổ răng và chân răng. 2 bộ phận này không có lớp men răng bảo vệ nên rất dễ bị vi khuẩn tấn công và gây sâu răng.
Một số người có men răng yếu hoặc cấu trúc răng dễ bị sâu do di truyền từ gia đình. Dù vệ sinh răng đúng cách những vẫn có khả năng mắc sâu răng nặng.

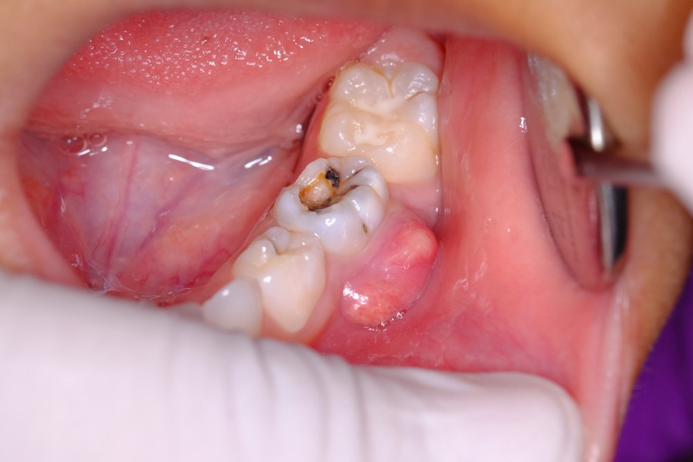
(Sâu răng không điều trị sớm là một trong những nguyên nhân làm cho bệnh lý trở nên nghiêm trọng)(**)
Răng bị sâu lỗ to càng để lâu sẽ dẫn đến một số tác hại sau:
Khi răng bị sâu lỗ to bề mặt nhai không còn nguyên vẹn khiến việc nghiền nát thức ăn trở nên khó khăn. Để dễ dàng ăn nhai người bệnh thường có xu hướng nhai nhiều ở phía đối diện. Tuy nhiên, khi duy trì thói quen này trong thời gian dài và không chữa trị sẽ dễ gây mỏi hàm hoặc làm sai lệch khớp cắn.

(Răng bị sâu lỗ to không những gây đau nhức mà còn ảnh hưởng đến lối sống sinh hoạt)(**)
Nếu răng sâu nằm ở vị trí răng cửa hoặc răng nanh, những lỗ sâu đen sẫm sẽ khiến nụ cười của bạn trở nên kém duyên, thiếu tự tin trong giao tiếp.
Sâu răng nghiêm trọng ở các răng phía trước cũng gây ra một số hạn chế cho quá trình phát âm của bạn.
Sâu răng càng để lâu rất dễ dẫn đến các biến chứng như: viêm tủy, viêm nướu, nhiễm trùng, răng lung lay thậm chí là mất răng.

(Răng sâu lỗ to có thể trám được nếu mô răng thật còn nhiều và đủ điều kiện để trám)(**)
Tóm lại: Để giải đáp câu hỏi của khách hàng “răng bị sâu lỗ to có trám được không?” thì câu trả lời là hoàn toàn có thể. Tuy nhiên, đối với trường hợp răng bị sâu nhiều, vỡ lớn việc áp dụng các biện pháp trám thông thường như: trám răng bằng vật liệu Composite, Amalgan thường không mang lại hiệu quả cao. Bởi những vật liệu này chỉ phù hợp cho trường hợp sâu răng nhẹ. Răng bị sâu lỗ to không thể áp dụng những giải pháp trên. Thông thường sẽ có các giải pháp chữa trị như:
Trám răng sâu lỗ to vẫn có hiệu quả nếu răng chưa bị tổn thương nghiêm trọng, đặc biệt là chưa lan đến tủy. Phương pháp này giúp phục hồi lại hình dạng răng, ngăn ngừa vi khuẩn tấn công đồng thời cải thiện khả năng ăn nhai và thẩm mỹ.
Tuy nhiên, trong trường hợp lỗ sâu quá lớn, răng bị yếu hoặc đã viêm tủy thì hàn răng có thể không còn là lựa chọn tối ưu. Giải pháp tối ưu nhất là điều trị tủy và can thiệp bọc sứ để kéo dài tuổi thọ của răng.
Trám răng sâu lỗ to giá bao nhiêu sẽ còn phụ thuộc rất lớn vào kích thước, tình trạng tủy đã bị ảnh hưởng hay chưa. Do đó, để biết mức chi phí chính xác bạn nên đến nha khoa kiểm tra. Bác sĩ sẽ tiến hành khám, chụp phim, dựa vào mức độ sâu răng bác sĩ sẽ chỉ định giải pháp khắc phục, báo giá cụ thể và lên kế hoạch chữa trị phù hợp.
Chi phí trám răng sâu lỗ to thường có sự chênh lệch bởi chúng còn phụ thuộc vào những yếu tố sau:

(Trám răng với bác sĩ giỏi chi phí sẽ cao nhưng kết quả điều trị của bạn sẽ được đảm bảo)(**)
Răng sâu lỗ to khi không can thiệp chữa trị kịp thời sẽ dẫn đến những biến chứng sau đây:
Tại Peace Dentistry, quy trình trám răng sâu chuẩn y khoa được thực hiện như sau:
Bước 1: Thăm khám kiểm tra và đánh giá tình trạng răng. Bác sĩ kiểm tra tình trạng răng, chụp phim X-quang để đánh giá tổng quan sức khỏe răng miệng. Từ đó, đưa ra giải pháp và lựa chọn vật liệu trám phù hợp.
Bước 2: Vệ sinh chỗ cần trám và tiến hành gây tê. Bác sĩ sẽ tiến hành làm sạch và đưa vật liệu trám trên răng. Trường hợp răng bị sâu nặng, viêm tủy đã gây đau hoặc ê buốt sẽ tiến hành gây tê để giảm bớt cảm giác khó chịu.
Bước 3: Tiến hành hàn răng. Bác sĩ sẽ so màu răng và chuẩn bị vật liệu tương đồng với răng thật. Sau đó sẽ đưa vật liệu lên răng và tạo hình, kết hợp chiếu đèn Halogen quang trùng hợp để đông cứng vết trám.
Bước 4: Chỉnh sửa lại chỗ trám. Sử dụng dụng cụ nha khoa để tinh chỉnh hình thể răng, tinh chỉnh thẩm mỹ, chỉnh cộm và kết thúc quy trình chưa trị

(Kết quả trám răng sâu lỗ to được điều trị tại Peace Dentistry)(**)
Để kéo dài tuổi thọ miếng trám, ăn nhai dễ dàng bác sĩ Peace Dentistry khuyên bạn nên làm theo các chỉ định sau:
Vệ sinh răng miệng đúng cách từ 2 – 3 lần/ngày sau khi ăn. Lưu ý tại vị trí răng trám nên chải với lực nhẹ nhàng. Sau đó nên kết hợp với chỉ nha khoa, nước súc miệng để loại bỏ các mảng bám, vi khuẩn còn sót lại giúp làm sạch khoang miệng tốt hơn.
Từ 30 phút đến 2 giờ sau khi điều trị bạn nên hạn chế ăn để miếng trám có thời gian đông cứng lại. Sau thời gian này bạn nên ưu tiên ăn thực phẩm mềm như cơm, súp, phở… Khi ăn nên nhai nhẹ nhàng và hạn chế nhai nhiều ở khu vực răng vừa trám.
Không ăn đồ cứng, dai, dẻo, nghiến răng kéo dài…Những thói quen này có thể dễ làm răng bị mòn, mẻ, rớt miếng trám ra bên ngoài.
Bạn nên đến khám răng định kỳ 6 tháng/lần để bác sĩ cạo vôi răng, kiểm tra miếng trám và xử lý kịp thời những vấn đề phát sinh nếu (nếu có).

(Nên ưu tiên ăn các món ăn mềm và hạn chế nhai nhiều ở khu vực vừa hàn răng)(**)
Cho dù bạn điều trị bất kỳ dịch vụ nha khoa nào bao gồm cả trám răng. Để đảm bảo an toàn, hiệu quả và tránh biến chứng thì việc lựa chọn nha khoa có vai trò vô cùng quan trọng. Peace Dentistry hiện đang là một trong những hệ thống nha khoa uy tín tại Tp.HCM. Sau 20 năm thành lập với số lượng khách hàng đông đảo cùng đội ngũ bác sĩ giỏi tận tâm, trang thiết bị máy móc tiên tiến. Đây đã và đang là địa chỉ được nhiều khách hàng lựa chọn để chữa các bệnh lý răng miệng do đảm bảo được các yếu tố sau:
Peace Dentistry có đội ngũ bác sĩ, chuyên gia RHM giỏi chuyên môn, nhiều năm kinh nghiệm. Các bác sĩ được đào tạo liên tục các chương trình sau đại học, tham gia các buổi hội thảo, các lớp nâng cao năng lực và chuyên môn ở trong và ngoài nước. Để hàn răng bạn sẽ được điều trị trực tiếp với bác sĩ tay nghề cao và nhiều kinh nghiệm, thao tác kĩ thuật đúng giúp hạn chế đau và đảm bảo tối ưu được kết quả chữa trị.

(Đội ngũ bác sĩ, chuyên gia tại nha khoa Peace Dentistry)(**)
Peace Dentistry được đầu tư các trang thiết bị, công nghệ hiện đại được nhập khẩu trực tiếp từ nước ngoài như: ghế nha Kavo Premium Osstem, máy CT Cone Beam, máy Xquang 3 chiều kỹ thuật số Gendex GXDP-700 Series,…giúp chẩn đoán chính xác nguyên nhân và hỗ trợ tối đa trong suốt quá trình điều trị.

(Hệ thống trang thiết bị, công nghệ tân tiến tại Peace Dentistry)(**)
Nha khoa sử dụng các vật liệu trám như composite, GIC, amalgam, sứ, vàng, kim loại quý…có nguồn gốc rõ ràng, nhập khẩu chính hãng 100%.
Phòng tiểu phẫu được vô trùng cự tím để tránh lây nhiễm chéo và đảm bảo an toàn cho khách hàng trong suốt quá trình điều trị. Ngoài ra các dụng cụ cũng đã được tiệt trùng, vô trùng bằng tia cực tím trước khi đem vào phòng tiểu phẫu.

(Khâu vô trùng luôn được đảm bảo nhằm tránh lây nhiễm chéo, đảm bảo an toàn cho khách hàng trong suốt quá trình điều trị)(**)
Hy vọng thông tin về trám răng sâu lỗ to ở trên đây của chúng tôi đã gửi đến bạn thật nhiều thông tin hữu ích. Để được tư vấn chuyên sâu quý khách hàng có thể inbox fanpage Peace Dentistry Quận 7 hoặc gọi hotline tư vấn dịch vụ: 19002102 để được bác sĩ tư vấn chi tiết nhất.
(Để lại thông tin và vấn đề về răng của bạn, Nha khoa sẽ gọi lại tư vấn ngay)