Viêm lợi trùm là gì? Viêm lợi trùm có nguy hiểm không? Dấu hiệu nhận biết và cách khắc phục bệnh lý này như thế nào? Để giải đáp chi tiết hơn về các vấn đề trên, hãy cùng Nha Khoa Peace Dentistry tìm hiểu thông qua bài viết sau đây.
Viêm lợi trùm là phần lợi bao bọc xung quanh răng bị sưng viêm và bao trùm lên 1 phần hoặc toàn bộ răng. Bệnh lý này gây đau nhức và ảnh hưởng nghiêm trọng đến thói quen sinh hoạt của người bệnh.
Bệnh lợi trùm thường tiến triển thành 2 giai đoạn sau:
Bệnh thường xuất hiện trong thời gian ngắn, tần suất thấp và hay đi kèm với những dấu hiệu như sốt, sưng hạch bạch huyết, đau răng…
Tình trạng viêm thường kéo dài và dễ tái phát. Các dấu hiệu trong giai đoạn này thường gồm đau nhức răng dữ dội, hôi miệng, chảy máu chân răng, sốt…

(Không chủ quan với bệnh viêm lợi trùm)(**)
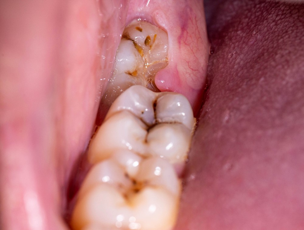
Dưới đây là những nguyên nhân phổ biến gây lợi trùm:
Răng khôn là răng mọc muộn và nằm sâu trong cung hàm. Do mọc trễ và thiếu chỗ trống nên chúng thường có xu hướng mọc ngầm, mọc nghiêng, mọc lệch sang răng số 7 dẫn đến tình trạng lợi trùm, sâu răng, viêm tủy hoặc làm mất răng số 7.

(Bị lợi trùm do mọc răng khôn là tình trạng thường gặp)(**)
Sau khi quá trình mọc răng hoàn tất phần nướu bao phủ thân răng sẽ dần dần bị tiêu biến. Tuy nhiên, trong một số trường hợp phần nướu thừa vần còn tồn tại. Chúng có thể gây hạn chế khi ăn uống và làm gia tăng mắc các bệnh lý răng miệng.
Trong khoang miệng luôn tồn tại các loại vi khuẩn gây hại. Khi hệ miễn dịch bị suy giảm, vệ sinh răng miệng kém sẽ tạp điều kiện thuận lợi cho chúng tấn công lên nướu dẫn đến sưng viêm nướu, lợi trùm, hôi miệng…
Thói quen đánh răng sai cách sẽ làm cho mảng bám và vi khuẩn không được loại bỏ triệt để. Theo thời gian chúng sẽ kết hợp với nước bọt để phân hủy thức ăn hình thành cao răng, sưng lợi, lợi trùm có mủ…
Phụ nữ mang thai, tiền mãn kinh hoặc đang trong ngày kinh nguyệt hàm lượng estrogen và progesterone thay đổi dẫn dẫn đến lượng máu lưu thông đến các mô lợi tăng lên khiến cho các mô nướu dễ bị sưng viêm, kích ứng.
Bạn có thể nhận biết bệnh lý này thông qua những dấu hiệu sau:
Mọi đối tượng đều có thể mắc bệnh lý này. Tuy nhiên, người trưởng thành sẽ có tỷ lệ mắc bệnh cao hơn. Cụ thể là trong giai đoạn đang mọc răng khôn (răng số 8).
Bệnh lợi trùm có thể xảy ra ở vùng răng cửa và thường gặp phổ biến hơn ở vùng răng hàm.
Bệnh lợi trùm nếu để lâu và không điều trị có thể dẫn đến những biến chứng sau đây:
Lợi trùm có mủ là biến chứng thường gặp khi bệnh tái phát nhiều lần. Khi đó quanh bề mặt nướu sẽ xuất hiện các ổ mủ gây đau nhức, hôi miệng… Nếu không chữa trị kịp thời bệnh có thể dẫn đến áp xe nướu vô cùng nguy hiểm.
Nhiễm trùng nướu xảy ra khi bệnh nhân không điều trị dứt điểm bệnh lợi trùm. Khi đó vi khuẩn sẽ có cơ hội thâm nhập vào sâu bên trong nướu gây đau nhức, sốt… Nguy hiểm hơn khi vi khuẩn thâm nhập vào máu và gây ra các bệnh lý toàn thân có thể đe dọa đến tính mạng của người bệnh.
Vi khuẩn gây bệnh lợi trùm có thể di chuyển và gây sưng viêm, sâu răng, viêm nha chu…cho các răng bên cạnh. Điều này sẽ làm suy giảm chức năng ăn nhai, khả năng mất răng và vô cùng cao nếu không phát hiện và điều trị sớm
Bệnh lý này sẽ gây ra những cơn đau dữ dội và dẫn đến khó khăn khi ăn nhai. Thói quen sinh hoạt, khả năng giao tiếp của người bệnh cũng sẽ bị ảnh hưởng.

(Bệnh lợi trùm gây ảnh hưởng nghiêm trọng đến thói quen sinh hoạt của người bệnh)(**)
Nếu các cơn đau diễn ra thường xuyên bạn có thể dùng một số loại thuốc như: Spiramycin, Paracetamol, Aspirin, Arme Rogyl…Tuy nhiên, để có chỉ định dùng loại thuốc phù hợp bạn cần tham khảo ý kiến của bác sĩ trước khi sử dụng.
Đối với trường hợp răng đang mọc bị lợi trùm bác sĩ sẽ chỉ định cắt lợi trùm. Thủ thuật này sẽ giúp loại bỏ phần nướu đang bao phủ bề mặt răng giúp răng mọc lên dễ dàng và ngăn ngừa hiệu quả các bệnh lý về nướu.
Nếu răng khôn mọc lệch, mọc ngầm bạn nên tiến hành nhổ sớm để tránh các biến chứng nguy hiểm. Sau khi nhổ răng tình trạng lợi trùm có mủ cũng sẽ được khắc phục hoàn toàn

(Kết quả nhổ răng khôn được thực hiện tại Peace Dentistry)(**)
Vệ sinh răng miệng nhẹ nhàng bằng bàn chải lông mềm. Cách chải răng đúng cách là chải răng theo chiều xoay tròn hoặc chải răng theo chiều thẳng đứng từ trên xuống. Chú ý nên làm sạch răng mặt ngoài, mặt trong và cả mặt nhai. Sau khi đánh răng nên dùng thêm chỉ nha khoa, nước súc miệng để loại bỏ hết mảng bám, vi khuẩn có hại trong khoang miệng.
Đễ chữa lợi trùm nhiều người thường lựa chọn nước súc miệng Kin Gingival. Nhờ hoạt chất Chlorhexidine Digluconate 0.12% có tác dụng giúp loại bỏ vi khuẩn, ngăn chặn sự hình thành cao răng. Sản phẩm còn hỗ trợ điều trị hiệu quả tình trạng viêm nướu, lợi trùm, ngừa sâu răng và giúp phục hồi mô nướu bị tổn thương hoặc viêm nhiễm.
Để áp dụng sau khi đánh răng bạn ngậm 15ml dung dịch và để yên từ 30 giây – 1 phút rồi nhổ bỏ. Không súc miệng với nước và không nên ăn uống trong 30 phút sau đó. Mỗi ngày có thể súc miệng với dung dịch này từ 1 – 2 lần/ngày cho đến khi cải thiện
Trà xanh được biết đến là thức uống có khả năng chống oxy hóa mạnh, sát khuẩn cao có thể làm giảm triệu chứng viêm nướu, chân răng bị chảy máu, hôi miệng… Để áp dụng cách chữa này bạn rửa sạch 5-7 lá trà cho vào 250ml nước sôi sau đó để nguội. Mỗi ngày nên súc miệng từ 1-2 lần cho đến khi cải thiện.
Tỏi là nguyên liệu quen thuộc trong gian bếp và được biết đến với tính kháng viêm cao. Để dùng tỏi chữa lợi trùm bạn chỉ cần xay nhuyễn 1-2 tép tỏi với 1 ít nước. Sau đó dùng tăm bông chấm vào dung dịch và thoa lên nướu đang viêm từ 3-5 phút. Cuối cùng súc miệng lại với nước, có thể áp dụng mẹo này từ 3 – 4 lần/tuần.

(Dùng tỏi chữa lợi trùm là mẹo được nhiều người áp dụng)(**)
Để hạn chế mắc bệnh lý này bạn cần tuân thủ một số chỉ định sau:
Đánh răng từ 2 – 3 lần/ngày sau bữa ăn với bàn chải lông mềm. Sau đó nên kết hợp với chỉ nha khoa, tăm chỉ nha khoa hoặc máy tăm nước để lấy đi hết các vụn thức ăn còn sót lại trong khoang miệng.
Xây dựng chế độ dinh dưỡng hợp lý bằng cách ăn đa dạng các loại thịt, cá, trứng, sữa, rau xanh, trái cây…nhằm cung cấp đầy đủ vitamin, các khoáng chất cần thiết để tăng cường sức khỏe cho cơ thể.
Thay đổi lối sống sinh hoạt, ăn uống đúng giờ và dành nhiều thời gian nghỉ ngơi. Hạn chế stress, giữ tinh thần thoải mái sẽ giúp ngăn ngừa hiệu quả các bệnh toàn thân, bệnh răng miệng.
Bạn nên duy trì thói quen khám răng định kỳ 3 – 6 tháng/lần để bác sĩ loại bỏ cao răng và tầm soát lại sức khỏe răng miệng.

(Khám răng định kỳ có vai trò vô cùng quan trọng)(**)
Tại Tp.HCM, Peace Dentistry tự hào là hệ thống nha khoa uy tín trong suốt 19 năm với đội ngũ bác sĩ giỏi tận tâm. Với số lượng khách hàng đông đảo cùng đa dạng chuyên khoa điều trị. Nha Khoa Peace Dentistry đã và đang là địa chỉ được nhiều khách hàng lựa chọn để chữa viêm lợi trùm bởi đảm bảo đủ các yếu tố sau:
Đội ngũ bác sĩ, chuyên gia RHM giỏi chuyên môn, nhiều năm kinh nghiệm. Hầu hết các bác sĩ đã từng tham gia các lớp đào tạo nâng cao sau đại học. Hơn 40% bác sĩ đã tham gia các khóa đào tạo chuyên sâu ở nước ngoài. Bác sĩ tổng quát giỏi sẽ là người trực tiếp thăm khám và lên phát đồ điều trị. Họ đều là những người nhiều kinh nghiệm, tay nghề cao nên bạn có thể hoàn toàn yên tâm.

(Đội ngũ bác sĩ, chuyên gia RHM tại nha khoa Peace Dentistry)(**)
Peace Dentistry được đầu tư các trang thiết bị, công nghệ hiện đại được nhập khẩu trực tiếp từ nước ngoài như: ghế nha Kavo Premium Osstem, máy CT Cone Beam, máy Xquang 3 chiều kỹ thuật số Gendex GXDP-700 Series,…giúp chẩn đoán chính xác nguyên nhân và hỗ trợ tối đa trong suốt quá trình điều trị.

(Ghế nha Kavo Premium và Osstem hiện đại)(**)
Phòng tiểu phẫu được vô trùng cự tím để tránh lây nhiễm chéo và đảm bảo an toàn cho khách hàng trong suốt quá trình điều trị. Ngoài ra các dụng cụ cũng đã được tiệt trùng, vô trùng bằng tia cực tím trước khi đem vào phòng tiểu phẫu.

Hy vọng thông tin về viêm lợi trùm ở trên đây của chúng tôi đã gửi đến bạn thật nhiều thông tin hữu ích. Để được tư vấn chuyên sâu quý khách hàng có thể inbox fanpage Peace Dentistry hoặc gọi hotline tư vấn dịch vụ: 19002102 để được bác sĩ tư vấn chi tiết nhất.