Cười hở lợi (hay còn gọi là cười hở nướu) là một trong những khuyết điểm khá phổ biến tại Việt Nam. Cười hở nướu không phải là một dạng bệnh nhưng lại ảnh hưởng nghiêm trọng đến thẩm mỹ răng, nụ cười và tự ti khi giao tiếp. Hiện nay, với các công nghệ y khoa hiện đại, việc điều trị cười hở lợi đạt hiệu quả cao với chi phí không đáng kể, cũng không mất nhiều thời gian. Vậy, làm thế nào để khắc phục tình trạng này? Có mấy giải pháp điều trị cười hở lợi? Để tìm hiểu cụ thể hơn về vấn đề này hãy cùng Nha Khoa Peace Dentistry theo dõi bài viết sau đây.
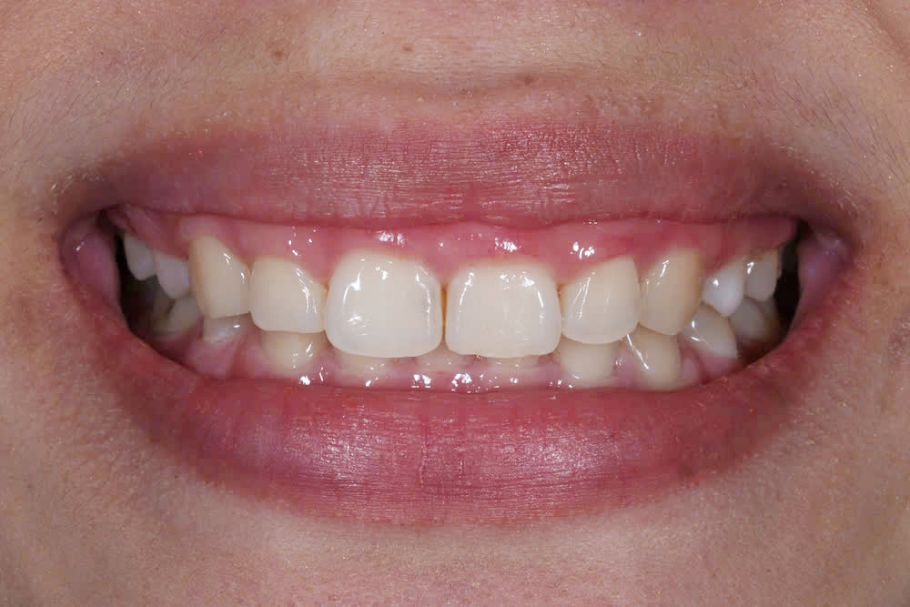
Cười hở lợi là tình trạng khi bạn cười, phần nướu trên răng lộ ra quá nhiều (thường trên 3mm). Mặc dù không gây ảnh hưởng đến sức khỏe, nhưng tình trạng này lại khiến nhiều người tự ti vì nụ cười trông kém duyên.

(Tỷ lệ giữa răng và nướu không cân đối làm nụ cười trông kém thẩm mỹ)(**)
Về cơ bản sẽ có 4 dạng cười hở lợi sau đây:
Dưới đây là những nguyên nhân chính dẫn đến tình trạng cười hở nướu:
Khi bị răng hô các răng sẽ thường mọc chìa ra bên ngoài nhiều hơn. Nên khi cười vành môi trên cũng bị kéo căng hơn làm lộ cả răng và nướu.
Xương hàm trên phát triển quá mạnh theo chiều dọc sẽ làm cho hàm trên bị dài ra so với hàm dưới. Lúc này răng và nướu sẽ bị đẩy xuống dưới. Khi cười phần môi hàm trên bị nâng cao quá mức khiến cho phần nướu bị lộ ra ngoài nhiều hơn.
Nướu phát triển quá mức, bao phủ lên một phần thân răng hoặc bị viêm khiến lợi phì đại, dày lên. Trường hợp này có thể do vệ sinh răng miệng kém, viêm nướu kéo dài hoặc tác dụng phụ của một số loại thuốc.
Một số người có cơ nâng môi trên hoạt động quá mức khiến môi bị kéo lên cao khi cười làm lợi bị lộ ra nhiều.

(Hở lợi do nướu răng phát triển quá mức là tình trạng thường gặp)(**)
Dưới đây là những phương pháp chữa cười hở nướu khá phổ biến:
Tiêm Botox phù hợp với những người bị cười hở lợi do cơ môi hoạt động quá mức, nhưng cấu trúc răng và xương hàm hoàn toàn bình thường. Đây là lựa chọn không phẫu thuật, ít xâm lấn.

(Tiêm botox điều trị cười hở lợi là phương pháp được nhiều người lựa chọn)(**)
Áp dụng khi cười hở lợi do sai lệch khớp cắn, răng mọc lệch, mọc chen chúc, răng hô, răng móm… Niềng răng sẽ giúp điều chỉnh lại vị trí răng và khớp cắn, từ đó cải thiện tình trạng cười hở nướu.

(Niềng răng có thể giúp răng đều đẹp, khớp cắn chuẩn và điều chỉnh lại mô nướu để chúng cân đối hơn)(**)
Phù hợp cho những trường hợp hở lợi mức độ trung bình đến nặng, do xương hàm phát triển quá mức, nướu phì đại hoặc môi trên ngắn.
Tại Peace Dentistry, quy trình chữa cười hở lợi chuẩn y khoa thường được diễn ra như sau:
Bước 1: Thăm khám và tư vấn
Bước 2: Vệ sinh khoang miệng và tiến hành gây tê
Bước 3: Phẫu thuật cắt nướu
Bước 4: Hoàn thiện và hẹn lịch tái khám

(Kết quả chữa cười hở lợi được điều trị tại Peace Dentistry)(**)
Tại Peace Dentistry, giá chữa cười hở lợi thường dao động từ 900.000 – 1.500.000đ/răng tùy thuộc vào tình trạng răng và phương pháp bạn lựa chọn. Do mức độ hở lợi ở mỗi người là khác nhau nên mức chi phí sẽ có sự chênh lệch. Để biết mức giá chính xác bạn nên đến nha khoa kiểm tra. Thông qua thao tác kiểm tra bác sĩ sẽ chỉ định số lượng răng cần khắc phục, chỉ định giải pháp, báo giá cụ thể và lên phát đồ chữa trị phù hợp.
Cắt nướu làm dài thân răng |
|
| Dịch Vụ | Giá Niêm Yết (VND) |
| Cắt nướu làm dài thân răng đơn lẻ | 900.000 |
| Cắt nướu kết hợp điều chỉnh xương ổ làm dài thân răng | 1.500.000 |
Để đảm bảo hiệu quả tối ưu và tránh các biến chứng nguy hiểm. Trước và sau khi thực hiện bạn cần lưu ý một số vấn đề sau đây:

(Lựa chọn cơ sở điều trị, nha khoa uy tín là yếu tố vô cùng quan trọng)(**)
Để quá trình chữa trị được đảm bảo an toàn và đạt hiệu quả tối ưu thì việc lựa chọn cơ sở điều trị có vai trò vô cùng quan trọng. Peace Dentistry tự hào là hệ thống nha khoa uy tín trong suốt 20 năm với đội ngũ bác sĩ giỏi tận tâm. Với số lượng khách hàng đông đảo cùng đa dạng chuyên khoa điều trị. Nha Khoa Peace Dentistry đã và đang là địa chỉ được nhiều khách hàng ưu tiên lựa chọn để chữa cười hở lợi bởi đảm bảo đủ các yếu tố sau:
Đội ngũ bác sĩ, chuyên gia RHM giỏi chuyên môn, tay nghề cao, giàu kinh nghiệm. Hầu hết các bác sĩ đã qua đào tạo các khóa học nâng cao, sau đại học và đã có chứng chỉ hành nghề… Hơn 40% các bác sĩ đã từng tham gia các khóa đào tạo chuyên sâu ở nước ngoài. Khi chữa hở lợi bạn sẽ được trực tiếp chữa trị với sĩ tay nghề cao, thao tác chuẩn xác giúp hạn chế đau và tối ưu được hiệu quả chữa trị.

(Đội ngũ bác sĩ, chuyên gia RHM tại nha khoa Peace Dentistry)(**)
Nha khoa được đầu tư các trang thiết bị, công nghệ hiện đại được nhập khẩu trực tiếp từ nước ngoài như: ghế nha Kavo Premium Osstem, máy CT Cone Beam, máy Xquang 3 chiều kỹ thuật số Gendex GXDP-700 Series,…giúp chẩn đoán chính xác nguyên nhân và hỗ trợ tối đa trong suốt quá trình điều trị.

(Hệ thống trang thiết bị tân tiến, hiện đại tại Peace Dentistry)(**)
Phòng tiểu phẫu được vô trùng cự tím để tránh lây nhiễm chéo và đảm bảo an toàn cho khách hàng trong suốt quá trình điều trị. Ngoài ra các dụng cụ cũng đã được tiệt trùng, vô trùng bằng tia cực tím trước khi đem vào phòng tiểu phẫu.

Phòng phẫu thuật hiện đại với hệ thống vô trùng cực tím (**)
Mức độ nguy hiểm tùy thuộc vào phương pháp điều trị. Các thủ thuật không xâm lấn thường an toàn, ít biến chứng. Với phương pháp xâm lấn như cắt nướu, mài xương ổ, phẫu thuật hàm… cần thực hiện tại nha khoa uy tín, bác sĩ tay nghề cao. Sau điều trị, nên tuân thủ hướng dẫn chăm sóc để tránh biến chứng và giúp vết thương mau lành.
Hầu hết các phương pháp điều trị cười hở lợi ít gây đau nhờ được gây tê hoặc hỗ trợ thuốc giảm đau. Tiêm Botox gần như không đau, niềng răng có thể ê nhẹ vài ngày đầu, còn phẫu thuật thì cảm giác đau thường xuất hiện sau mổ nhưng hoàn toàn có thể kiểm soát bằng thuốc.
Hy vọng thông tin về điều trị cười hở lợi ở trên đây của chúng tôi đã gửi đến bạn thật nhiều thông tin hữu ích. Để được tư vấn chuyên sâu quý khách hàng có thể inbox fanpage Peace Dentistry Quận 7 hoặc gọi hotline tư vấn dịch vụ: 19002102 để được bác sĩ tư vấn chi tiết nhất.
(Để lại thông tin và vấn đề về răng của bạn, Nha khoa sẽ gọi lại tư vấn ngay)