Bị cười hở lợi có sao không? Phụ nữ cười hở lợi là tốt hay xấu? Tướng số phụ nữ bị cười hở lợi có ý nghĩa như thế nào? Nếu bạn đang gặp vấn đề này, để giải đáp cụ thể hãy cùng Nha Khoa Peace Dentistry theo dõi bài viết sau đây.
Cười hở lợi (cười hở nướu) là tình trạng khi bạn cười phần nướu răng hàm trên lộ ra quá nhiều (thường trên 3mm). Mặc dù không gây ảnh hưởng đến sức khỏe, nhưng tình trạng này lại khiến nhiều người tự ti vì nụ cười trông kém duyên.

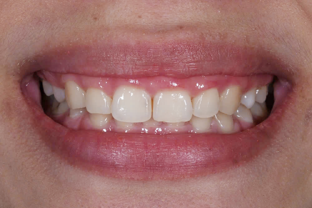
(Thân răng quá ngắn trông khi nướu lộ ra nhiều hơn là dấu hiệu dễ nhận biết của cười hở lợi)(**)
Trong quan niệm dân gian, phụ nữ cười hở nướu thường không được đánh giá cao về mặt tướng số. Đây là đặc điểm gương mặt bị cho là tướng mặt hao tài, dễ khổ vì tình. Tức người dễ gặp bất lợi trong đường tình duyên và tài vận.
Trong tướng số, người nữ cười hở nướu thường được phản ánh là người có tính tình đanh đá, kém nhu mì. Vì vậy mà đường tình duyên của họ thường trắc trở, lận đận. Cười hở nướu làm cho nụ cười của bạn trông rất kém thẩm mỹ và khuôn mặt trở nên kém duyên.
Bạn có thể đánh giá tướng của người nữ cười hở nướu cụ thể hơn qua 3 khía cạnh sau:

(Tướng số phụ nữ khi cười hở lợi thường được đánh giá là không tốt)(**)
Việc điều trị là cần thiết để cải thiện cả về mặt thẩm mỹ lẫn chất lượng cuộc sống nếu bạn thuộc các trường hợp sau đây:
Cười hở nướu nếu không tiến hành chữa trị có thể gây ra những tác hại sau:
Nhiều phụ nữ cười hở nướu thường thấy thiếu tự tin, ngại cười lớn hoặc cười tự nhiên. Điều này khiến họ dần mất đi sự thoải mái trong giao tiếp và dễ mặc cảm về ngoại hình.
Nụ cười là yếu tố quan trọng giúp phụ nữ tạo thiện cảm. Khi e ngại vì cười hở nướu, họ có thể trở nên rụt rè, hạn chế trò chuyện hoặc khó thể hiện cảm xúc trọn vẹn. Từ đó ảnh hưởng đến các mối quan hệ xã hội.
Cảm giác ngại ngùng kéo dài dễ dẫn đến lo âu, buồn bã hoặc căng thẳng nhẹ. Đặc biệt ở những người làm việc trong môi trường cần ngoại hình và giao tiếp nhiều.

(Nụ cười không đẹp khiến phụ nữ trở nên tự ti, e ngại khi giao tiếp)(**)
Để chữa cười hở lợi, tùy theo tình trạng ở mỗi người mà bác sĩ sẽ chỉ định các phương pháp sau đây:
Tiêm Botox là phương pháp thẩm mỹ không phẫu thuật giúp cải thiện các trường hợp hở lợi do cơ môi kéo lên quá mạnh bằng cách đưa các chất làm đầy vào mô cơ. Ưu điểm của phương pháp này là mang lại hiệu quả nhanh. Sau khi tiêm trương lực cơ môi trên không còn co kéo quá mạnh khi cười giúp khắc phục hiệu quả tình trạng cười hở nướu.
Niềng răng được xem là một trong những giải pháp chữa sai khớp cắn, cười hở nướu hiệu quả. Để điều trị bác sĩ sẽ sử dụng hệ thống khí cụ bao gồm mắc cài, dây cung, dây thun hoặc hệ thống khay trong suốt để tạo lực tác động cho răng di chuyển. Khi răng di chuyển hệ thống nướu cũng sẽ dịch chuyển và thay đổi theo. Sau điều trị khớp cắn chuẩn sẽ được khôi phục, răng trở nên đều đặn, đường viền nướu hài hòa với răng, tính thẩm mỹ khuôn mặt sẽ được cải thiện đáng kể.

(Ca lâm sàng niềng răng chữa hô, hở nướu nặng được điều trị tại Peace Dentistry)(**)
Cắt lợi thẩm mỹ (cắt nướu laser) thường phù hợp cho khách hàng bị hở lợi ở 4 – 6 răng. Để điều trị bác sĩ sẽ sử dụng tia sáng laser chuyên dụng để cắt phần nướu bị phát triển quá mức, thông thường sẽ dao động khoảng 2mm. Sau khi cắt nướu thân răng sẽ trở nên dài hơn giúp, khoảng cách giữa răng và nướu được cân chỉnh hài hòa.
Đây là thủ thuật xâm lấn phù hợp các trường hợp bị hở lợi mức độ nặng. Để thực hiện bác sĩ sẽ tiến hành mài xương ổ răng hoặc cắt xương để điều chỉnh lại tỷ lệ cân đối giữ răng và nướu. Nếu trường hợp xương không quá dài và dày sẽ được mài bớt tránh tình trạng phần nướu bị tổn thương.

(Nụ cười đẹp, khuôn miệng hài hòa hơn sau khi cắt nướu làm dài thân răng)(**)
Để quá trình chữa trị được đảm bảo an toàn và đạt hiệu quả tối ưu thì việc lựa chọn cơ sở điều trị có vai trò vô cùng quan trọng. Peace Dentistry tự hào là hệ thống nha khoa uy tín trong suốt 20 năm với đội ngũ bác sĩ giỏi tận tâm. Với số lượng khách hàng đông đảo cùng đa dạng chuyên khoa điều trị. Nha Khoa Peace Dentistry đã và đang là địa chỉ được nhiều khách hàng ưu tiên lựa chọn để chữa cười hở lợi bởi đảm bảo đủ các yếu tố sau:
Đội ngũ bác sĩ, chuyên gia RHM giỏi chuyên môn, tay nghề cao, giàu kinh nghiệm. Hầu hết các bác sĩ đã qua đào tạo các khóa học nâng cao, sau đại học và đã có chứng chỉ hành nghề… Hơn 40% các bác sĩ đã từng tham gia các khóa đào tạo chuyên sâu ở nước ngoài. Khi chữa hở lợi bạn sẽ được trực tiếp chữa trị với sĩ tay nghề cao, thao tác chuẩn xác giúp hạn chế đau và tối ưu được hiệu quả chữa trị.

(Đội ngũ bác sĩ, chuyên gia tại nha khoa Peace Dentistry)(**)
Nha khoa được đầu tư các trang thiết bị, công nghệ hiện đại được nhập khẩu trực tiếp từ nước ngoài như: ghế nha Kavo Premium Osstem, máy CT Cone Beam, máy Xquang 3 chiều kỹ thuật số Gendex GXDP-700 Series,…giúp chẩn đoán chính xác nguyên nhân và hỗ trợ tối đa trong suốt quá trình điều trị.

(Hệ thống trang thiết bị, công nghệ tân tiến tại Peace Dentistry)(**)
Phòng tiểu phẫu được vô trùng cự tím để tránh lây nhiễm chéo và đảm bảo an toàn cho khách hàng trong suốt quá trình điều trị. Ngoài ra các dụng cụ cũng đã được tiệt trùng, vô trùng bằng tia cực tím trước khi đem vào phòng tiểu phẫu.

(Khâu vô trùng luôn được đảm bảo nhằm tránh lây nhiễm chéo, đảm bảo an toàn cho khách hàng trong suốt quá trình điều trị)(**)
Hy vọng thông tin về cười hở lợi tướng số nữ ở trên đây của chúng tôi đã gửi đến bạn thật nhiều thông tin hữu ích. Để được tư vấn chuyên sâu quý khách hàng có thể inbox fanpage Peace Dentistry hoặc gọi hotline tư vấn dịch vụ: 19002102 để được bác sĩ tư vấn chi tiết nhất.
(Để lại thông tin và vấn đề về răng của bạn, Nha khoa sẽ gọi lại tư vấn ngay)