Khớp cắn hạng 1 là gì? Bị khớp cắn hạng 1 có nguy hiểm không? Nguyên nhân gây ra và cách khắc phục như thế nào? Để giải đáp tất cả các thắc mắc này hãy cùng Nha Khoa Peace Dentistry tìm hiểu qua bài viết sau đây.
Sai khớp cắn loại 1 (khớp cắn chéo) là tình trạng răng ở hàm trên hoặc hàm dưới mọc lộn xộn, chen chúc, mọc chìa ra ngoài hay thụt vào trong. Điều này sẽ gây mất cân đối khung hàm dẫn đến lệch khớp cắn nghiêm trọng.

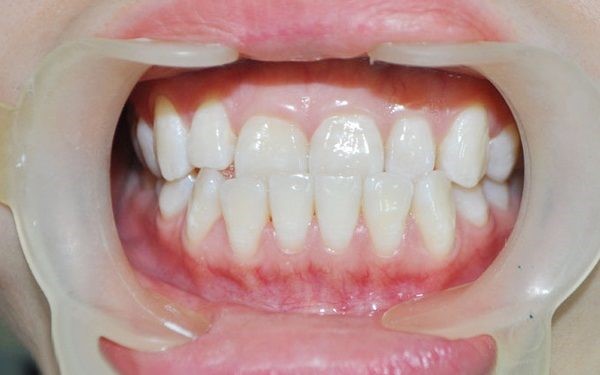
(Khớp cắn hạng 1 gây ảnh hưởng nghiêm trọng đến tính thẩm mỹ)(**)
Tùy theo từng dạng khớp cắn mà chúng có thể được nhận biết qua các đặc điểm sau đây:
Loại khớp cắn này thường khó phát hiện mà chỉ có thể nhận biết khi cười. Người bị khớp cắn chéo thường có nhiều răng mọc lộn xộn trên cung hàm, khoảng cách các răng có thể sát khít hoặc rất thưa. Khi cắn hai hàm lại với nhau sẽ có sự chênh lệch về bên trái hoặc bên phải.
Khớp cắn sâu hay còn gọi hô hoặc vẩu. Nguyên nhân là do xương hàm trên phát triển quá mức dẫn đến hàm trên bao phủ ¾ khu vực răng hàm dưới. Khi ngậm miệng ở trạng thái nghỉ sẽ không hoặc trông thấy rất ít hàm răng dưới.
Người bị khớp cắn ngược hay còn gọi là móm. Tình trạng này rất dễ nhận biết khi nhìn ở góc nghiêng khuôn mặt. Phần môi dưới có xu hướng chìa ra hẳn so với môi trên. Trường hợp nghiêm trọng bệnh nhân sẽ có phần cằm chìa hẳn ra bên ngoài làm cho khuôn mặt rất mất thẩm mỹ.

(Khớp cắn ngược là một dạng sai khớp cắn thường gặp)(**)
Khớp cắn chéo thường được nhận biết qua các dấu hiệu sau đây:
Dưới đây là những nguyên nhân phổ biến dẫn đến khớp cắn chéo:
Gen di truyền có mối liên hệ mật thiết đến sức khỏe răng miệng của các thế hệ sau. Trong gia đình nếu ba mẹ hoặc ông bà bị khớp cắn chéo thì khả năng cao bạn cũng sẽ gặp tình trạng răng tương tự
Một số trẻ nhỏ hay mút tay, đẩy lưỡi, ngậm núm vú giả…các thói quen này lặp lại trong thời gian dài sẽ gây nên khớp cắn chéo.
Mất răng sữa ở trẻ em sớm có thể gây tác động trực tiếp đến khớp cắn. Những răng còn lại có xu hướng nghiêng về khoảng trống răng mất gây xô lệch răng, rối loạn khớp cắn. Khi đến độ tuổi thay răng, răng vĩnh viễn không có đủ chỗ, không xác định hướng mọc đúng dẫn đến răng mọc lệch hoặc mọc ngầm dưới xương hàm.
Niềng răng sai kĩ thuật làm cho khớp cắn bị sai lệch hơn tình trạng răng ban đầu. Đây được xem là biến chứng nguy hiểm và có thể làm tăng chi phí chữa trị trong tương lai.

(Trẻ mất răng sữa sớm làm răng vĩnh viễn khó xác định đúng phương hướng khi mọc lên)(**)
Sai khớp cắn loại 1 nếu để lâu không điều trị có thể dẫn đến những tác hại sau:
Khác với các dạng sai khớp cắn khác, khớp cắn chéo thường khó nhận biết ở bề ngoài của khuôn mặt mà bạn chỉ phát hiện rõ thông qua nụ cười. Việc có quá nhiều răng mọc lộn xộn trên cung hàm sẽ làm cho nụ cười trở nên kém thẩm mỹ.
Hai khớp cắn không khớp với nhau sẽ gây khó khăn khi nghiền nát thức ăn. Khi tình trạng này kéo dài sẽ gây sức ép lên hệ thống tiêu hóa dẫn đến một số bệnh lý về đường ruột, dạ dày.
Răng và hàm có chức năng vô cùng quan trọng để quyết định đến giọng nói. Khi khớp cắn bị sai lệch, răng mọc lộn xộn sẽ khiến môi và lưỡi không hoạt động nhịp nhàng. Khi phát âm sẽ khó nói được tròn chữ.
Răng mọc lộn xộn sẽ gây khó khăn trong việc làm sạch khoang miệng. Mảng bám thức ăn dễ vắt lại ở những kẽ răng khó làm sạch và là môi trường thuận lợi để vi khuẩn phát triển. Về lâu dài sẽ gây ra một số bệnh lý như: viêm nướu, sâu răng, viêm tủy…

(Người bị lệch khớp cắn có thể bị đau hàm, mỏi hàm và dễ mắc các bệnh lý răng miệng)(**)
Để ngăn ngừa các biến chứng nguy hiểm người bị lệch khớp cắn cần đến nha khoa uy tín để kiểm tra, chẩn đoán. Tại Peace Dentistry, để chữa sai khớp cắn hạng 1 tùy thuộc vào tình trạng răng mà bác sĩ sẽ chỉ định 1 trong 3 giải pháp sau:
Niềng răng được xem là một trong những giải pháp chữa trị tình trạng lệch khớp cắn hiệu quả. Bác sĩ sẽ sử dụng hệ thống khí cụ bao gồm mắc cài, dây cung, dây thun hoặc hệ thống khay trong suốt để tạo lực tác động cho răng di chuyển. Sau điều trị khớp cắn chuẩn sẽ được khôi phục, răng trở nên đều đặn, góc nghiêng đẹp và tính thẩm mỹ khuôn mặt sẽ được cải thiện đáng kể.

(Kết quả niềng răng được thực hiện tại Peace Dentistry)(**)
Bọc răng sứ sẽ là chỉ định điều trị phù hợp cho những trường hợp có răng chen chúc từ mức độ nhẹ đến trung bình. Để thực hiện bác sĩ sẽ tiến hành mài đi lớp men răng nhất định. Sau đó sẽ tiến hành lấy dấu răng và gửi về Labo để chế tác ra răng sứ phù hợp. Cuối cùng bác sĩ sẽ gắn mão sứ lên răng và tinh chỉnh đến khi hoàn tất. Sau điều trị các răng sẽ trở nên đều đẹp, khớp cắn chuẩn, màu răng trắng sáng giúp cải thiện tính thẩm mỹ đáng kể.
Phẫu thuật hàm sẽ được chỉ định khi bạn gặp vấn đề về cấu trúc xương và niềng răng chưa khắc phục được triệt để. Bác sĩ sẽ thực hiện phẫu thuật cắt ghép hoặc loại bỏ phần xương mất cân xứng, điều chỉnh cấu trúc xương mặt cân đối hơn. Tuy nhiên, phương pháp này thường mang tính phức tạp cao và đòi hỏi bác sĩ thực hiện phải là người có tay nghề cao. Do đó bạn nên lựa chọn bác sĩ giỏi kết hợp điều trị tại các bệnh viện uy tín có trang thiết bị, máy móc hiện đại để đảm bảo quá trình chữa trị mang lại hiệu quả cao.
Niềng răng là một thủ thuật tương đối phức tạp. Để có kết quả điều trị tối ưu và tránh những biến chứng không mong muốn thì việc lựa chọn cơ sở nha khoa có vai trò rất quan trọng. Peace Dentistry tự hào là hệ thống nha khoa uy tín tại Tp.HCM. Với số lượng khách hàng đông đảo, đội ngũ bác sĩ tay nghề cao, tranh thiết bị tân tiến. Sau 20 năm thành lập Nha Khoa Peace Dentistry đã và đang là địa chỉ niềng răng đáng tin cậy của rất nhiều người do đáp ứng được các tiêu chí sau đây:
Đội ngũ bác sĩ chuyên khoa RHM giỏi, chuyên môn cao, nhiều năm kinh nghiệm. Trên 40% bác sĩ đã tham gia đào tạo liên tục các khóa sau đại học, các khóa nâng cao cả trong và ngoài nước. Các bác sĩ chỉnh nha tay nghề cao, làm việc tận tâm từng điều trị rất nhiều ca chỉnh nha có mức độ từ đơn giản đến cực kỳ phức tạp thành công.

(Đội ngũ bác sĩ, chuyên gia RHM tại nha khoa Peace Dentistry)(**)
Trung tâm được đầu tư các trang thiết bị, công nghệ hiện đại được nhập khẩu trực tiếp từ nước ngoài như: ghế nha Kavo Premium Osstem, máy CT Cone Beam, máy Xquang 3 chiều kỹ thuật số Gendex GXDP-700 Series, Itero…giúp chẩn đoán chính xác nguyên nhân và hỗ trợ tối đa trong suốt quá trình điều trị.

(Trang thiết bị hiện đại, tân tiến tại Peace Dentistry)(**)
Vật liệu, khí cụ chỉnh nha cao cấp: Roth In – Ovation, Damond Clear, Smile, Damon speed, Invisalign… có chứng nhận lưu hành quốc tế, được nhập khẩu trực tiếp từ nước ngoài 100%.

(Vật liệu, khí cụ niềng có nguồn gốc xuất xứ chính hãng 100%)(**)
Chi phí công khai minh bạch, rõ ràng cho khách hàng trước khi bắt đầu tiến trình điều trị. Ngoài ra, nha khoa còn tạo điều kiện thuận lợi giúp bạn thanh toán dễ dàng khi đang áp dụng chính sách trả góp với lãi suất 0% thông qua 31 ngân hàng.

(Linh động trả góp với lãi suất 0% cùng 31 ngân hàng đang liên kết tại Peace Dentistry)(**)
Xem thêm: Niềng răng giá bao nhiêu và các yếu tố ảnh hưởng đến giá niềng răng
Phòng tiểu phẫu được vô trùng cự tím để tránh lây nhiễm chéo và đảm bảo an toàn cho khách hàng trong suốt quá trình điều trị.
Hy vọng thông tin về khớp cắn hạng 1 ở trên đây của chúng tôi đã gửi đến bạn thật nhiều thông tin hữu ích. Để được tư vấn chuyên sâu quý khách hàng có thể inbox fanpage Peace Dentistry Quận 7 hoặc gọi hotline tư vấn dịch vụ: 19002102 để được bác sĩ tư vấn chi tiết nhất.