Lấy tủy răng mất bao lâu mới xong? Mấy lần là hoàn tất? Răng sau khi lấy tủy nên chăm sóc thế nào là những thắc mắc được nhiều người quan tâm? Để giải đáp cụ thể các vấn đề này hãy cùng Nha Khoa Peace Dentistry theo dõi bài viết sau đây.
Chữa tủy thường được bác sĩ chỉ định nếu bạn thuộc 1 trong các trường hợp sau:

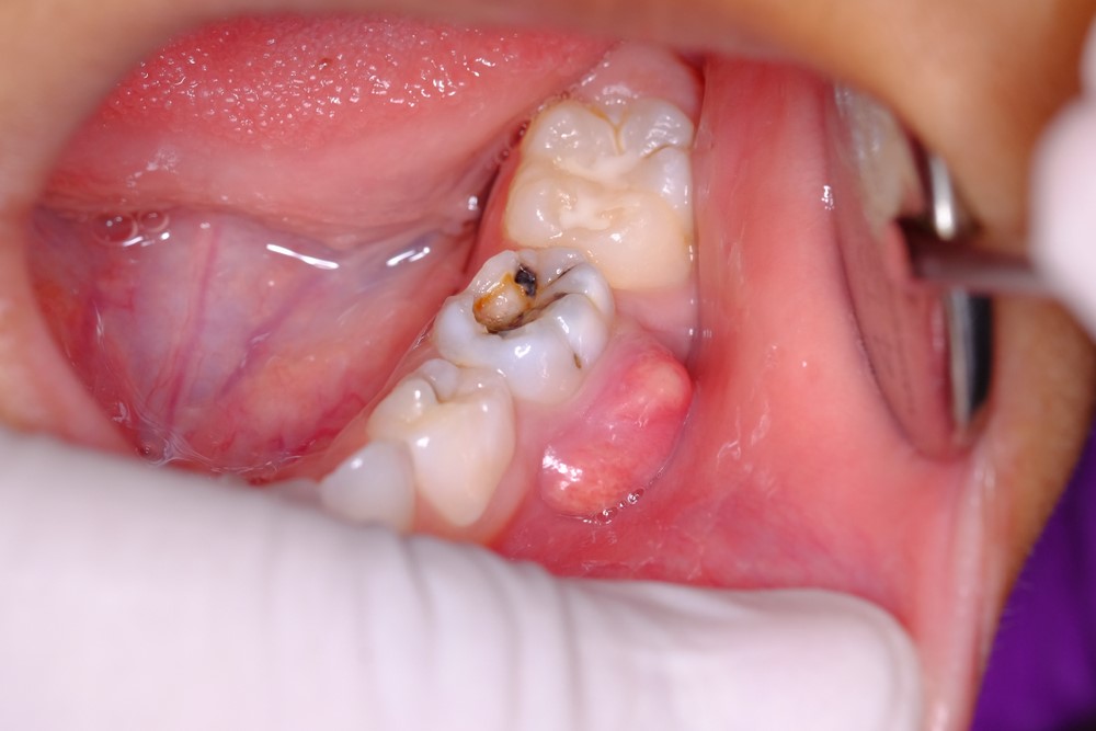
(Nên tiến hành chữa tủy nếu răng bạn bị sâu nghiêm trọng kèm nổi mủ quanh chân răng)(**)
Để giải đáp thắc mắc của khách hàng “lấy tủy răng mất bao lâu” điều này sẽ tùy thuộc vào tình trạng răng, số lượng ống tủy và mức độ viêm nhiễm. Trung bình, một ca điều trị tủy răng thường kéo dài từ 30 – 60 phút/răng. Nếu răng bị viêm nhiễm phức tạp bạn có thể cần từ 1 đến 3 lần hẹn để hoàn tất điều trị.
– Nếu răng cần chữa tuỷ là răng cửa hoặc các răng có 1 ống tuỷ thì thời gian sẽ nhanh hơn so với khi chữa tuỷ các răng hàm có 2 – 3 ống tuỷ.
– Sau khi gây tê cục bộ, bác sĩ sẽ tiến hành chữa tuỷ, vì ống tuỷ rất nhỏ đòi hỏi sự tỉ mỉ cao để lấy sạch phần tuỷ bị viêm nên thời gian trung bình sẽ dao động từ 15 – 45 phút hoặc lâu hơn nếu bạn chữa tuỷ nhiều răng cùng lúc.

Ngoài ra với các trường hợp đã chữa tuỷ nhưng chưa dứt điểm vẫn còn đau nhức ê buốt thì cần phải tiến hành chữa tuỷ lại, lúc này quy trình chữa tuỷ sẽ lâu hơn khi chữa tuỷ bình thường một chút.

Tuỳ vào mức độ viêm tuỷ răng nặng hay nhẹ bác sĩ điều trị sẽ chỉ định trám răng hoặc bọc răng sứ sau khi chữa tuỷ để bảo vệ phần răng còn lại.

(Tuỳ vào mức độ viêm cũng như hư hại của răng mà sau khi chữa tuỷ bác sĩ sẽ chỉ định trám hoặc bọc răng sứ để bảo tồn phần răng còn lại)
Chữa tuỷ răng là một thủ thuật nhỏ nhằm loại bỏ phần tuỷ bị viêm, ngăn chặn hoàn toàn cảm giác đau đớn và hoàn toàn có thể thực hiện trong 1 lần đến khám, thời gian chữa tuỷ sẽ nhanh chóng, hiệu quả nếu được thực hiện bởi bác sĩ giỏi chuyên môn, lành nghề, đã từng xử lý qua nhiều ca chữa tuỷ với các độ phức tạp khác nhau.
Thời gian chữa tủy răng giữa mỗi ca thường có sự chênh lệch. Dưới đây là những yếu tố chính ảnh hưởng đến thời gian điều trị:

(Thời gian lấy tủy răng mất bao lâu sẽ còn phụ thuộc vào tay nghề bác sĩ và vị trí răng cần điều trị)(**)
Thông thường, thủ thuật chữa tủy răng có thể hoàn tất trong 1–2 buổi. Tuy nhiên, một số trường hợp phức tạp cần phải điều trị nhiều lần hơn vì các lý do sau:
Tại Peace Dentistry, quy trình chữa tủy răng chuẩn y khoa sẽ bao gồm các bước như sau:
Bước 1: Khám, chụp phim và xác định tình trạng răng. Bác sĩ sẽ tiến hành khám lâm sàng kỹ lưỡng, chụp X-quang để xác định chính xác vị trí, mức độ tổn thương của tủy răng, từ đó đưa ra kế hoạch điều trị phù hợp.
Bước 2: Gây tê và cách ly. Vùng răng cần chữa tủy sẽ được bác sĩ gây tê cục bộ để đảm bảo khách hàng không cảm thấy khó chịu trong suốt quá trình điều trị
Bước 3: Mở tủy, xử lý viêm và tạo hình lại ống tủy. Bác sĩ sẽ tiến hành mở tủy, loại bỏ hoàn toàn phần tủy bị viêm nhiễm, làm sạch và tạo hình ống tủy.
Bước 4: Trám bít ống tủy và phục hồi thân răng. Sau khi ống tủy được làm sạch hoàn toàn và tạo hình phù hợp, bác sĩ sẽ trám bít ống tủy bằng vật liệu nha khoa chuyên dụng đảm bảo tính kín khít và ngăn ngừa vi khuẩn xâm nhập.

(Khôi phục lại hình dáng, chức năng ăn nhai sau khi điều trị tủy tại Peace Dentistry)(**)
Để đảm bảo hiệu quả khi chữa tuỷ hoặc lấy tuỷ răng chấm dứt triệt để vấn đề viêm tủy, ngăn chặn hoàn toàn nguy cơ tái viêm tủy trong tương lai, tại Peace Dentistry khi chữa tuỷ phải đáp ứng được các tiêu chuẩn sau:

(Răng viêm tủy nhẹ: chữa tủy phục hồi và bọc răng sứ)(**)

(Sâu nhiều răng, viêm tủy dẫn đến áp xe chân răng: Chữa tủy và bọc răng sứ)(**)

(Chữa tủy răng hàm bị sâu viêm tủy, sau đó phục hình bằng phương pháp bọc răng sứ)(**)

(Chữa tủy răng bị sâu, viêm tủy và bọc lại răng sứ)(**)
Chữa tuỷ răng mất bao lâu phụ thuộc rất nhiều chất lượng nha khoa, trang thiết bị và trên hết là tay nghề bác sĩ, tuy chỉ là thủ thuật nhỏ nhưng lại đòi hỏi bác sĩ phải thực hiện đúng kỹ thuật, nhiều năm kinh nghiệm mới đảm bảo thực hiện thành công.
Chính vì vậy, khi thấy răng có các dấu hiệu đau nhức ê buốt, khách hàng nên chủ động tìm đến các nha khoa uy tín, chất lượng để khám từ đó bác sĩ sẽ đưa ra phương án điều trị và chữa tuỷ phù hợp đảm bảo hiệu quả, an toàn và tiết kiệm tối đa thời gian.
Tại Peace Dentistry, chi phí chữa tủy thường dao động từ 1.200.000đ/răng và có thể cao hơn tùy thuộc vào vị trí răng, mức độ viêm nhiễm. Nhìn chung, giá chữa tủy ở mỗi khách hàng sẽ có sự chênh lệch.

(Chữa tủy với bác sĩ giỏi sẽ làm tăng mức chi phí nhưng bạn được đảm bảo an toàn, tối ưu về kết quả)(**)
Quá trình hồi phục răng sau lấy tủy thường diễn ra như sau:
Sau lấy tủy, không phải ai cũng có thời gian hồi phục giống nhau. Dưới đây là những yếu tố có thể rút ngắn hoặc kéo dài thời gian lành thương:
Sau khi chữa tủy răng, việc chăm sóc đúng cách sẽ giúp giảm đau, ngăn biến chứng và giúp răng phục hồi nhanh hơn. Dưới đây là những lưu ý quan trọng:
Duy trì vệ sinh răng miệng sạch sẽ bằng cách đánh răng nhẹ nhàng từ 2 – 3 lần/ngày sau khi ăn. Khi chải răng nên chải nhẹ nhàng và nên dùng thêm chỉ nha khoa, súc miệng bằng nước muối loãng hoặc dung dịch sát khuẩn để ngăn ngừa vi khuẩn tấn công.

(Chăm sóc răng đúng cách, ăn nhiều thực phẩm mềm, dùng thuốc đủ liều sẽ giúp vết thương nhanh hồi phục)(**)
Răng sau lấy tủy thường nhạy cảm hơn. Vì vậy, bạn nên tránh các thực phẩm quá nóng, lạnh, chua cay hoặc cứng để không gây đau buốt và làm tổn thương răng đang hồi phục.
Tái khám theo lịch hẹn của bác sĩ giúp theo dõi tiến trình lành thương và xử lý sớm nếu có dấu hiệu bất thường.
Chữa tủy răng là một thủ thuật phức tạp, dễ gây ra biến chứng nguy hiểm và gây đau nhức dữ dội. Vì vậy, để quá trình điều trị diễn ra nhẹ nhàng, an toàn, hiệu quả bạn nên ưu tiên thực hiện tại nha khoa uy tín. Peace Dentistry là một trong những hệ thống nha khoa uy tín tại Tp.HCM. Ngoài những thế mạnh về niềng răng, trồng răng implant, thẩm mỹ răng sứ. Với đội ngũ bác sĩ giỏi tận tâm, trang thiết bị hiện đại, máy móc tiên tiến. Nha Khoa Peace Dentistry đang là địa điểm được đông đảo khách hàng tin tưởng để lấy tủy răng vì nha khoa đáp ứng được những tiêu chí sau:
Đội ngũ bác sĩ, chuyên gia RHM giỏi chuyên môn, tay nghề cao, giàu kinh nghiệm. Hầu hết các bác sĩ đã hoàn tất các khóa đào tạo sau đại học, các khóa học nâng cao, hội thảo nâng cao chuyên môn ở trong, ngoài nước và đã có chứng chỉ hành nghề. Để chữa tủy răng bạn sẽ được điều trị với bác sĩ tổng quát tay nghề cao, thao tác kĩ thuật chuẩn xác, an toàn giúp hạn chế đau nên bạn có thể hoàn toàn yên tâm.

(Đội ngũ bác sĩ, chuyên gia tại nha khoa Peace Dentistry)(**)
Nha khoa được đầu tư các trang thiết bị, công nghệ hiện đại được nhập khẩu trực tiếp từ nước ngoài như: ghế nha Kavo Premium Osstem, máy CT Cone Beam, máy Xquang 3 chiều kỹ thuật số Gendex GXDP-700 Series, Itero… giúp chẩn đoán nguyên nhân chính xác và hỗ trợ tối đa trong quá trình điều trị cho khách hàng.

(Hệ thống trang thiết bị, công nghệ tân tiến tại Peace Dentistry)(**)
Nha khoa sử dụng các vật liệu trám như composite, GIC, amalgam, sứ, vàng, kim loại quý, răng sứ Zirconia, …có nguồn gốc rõ ràng, nhập khẩu chính hãng 100%.
Phòng tiểu phẫu được vô trùng cự tím để tránh lây nhiễm chéo và đảm bảo an toàn cho khách hàng trong suốt quá trình điều trị. Ngoài ra các dụng cụ cũng đã được tiệt trùng, vô trùng bằng tia cực tím trước khi đem vào phòng tiểu phẫu.

(Khâu vô trùng luôn được đảm bảo nhằm tránh lây nhiễm chéo, đảm bảo an toàn cho khách hàng trong suốt quá trình điều trị)(**)
Lấy tủy răng sẽ không gây ảnh hưởng đến sức khỏe. Thủ thuật này không những giúp loại bỏ vi khuẩn gây hại, lấy hết tủy viêm mà còn bảo tồn tối đa răng thật giúp đảm bảo tính thẩm mỹ và ổn định chức năng ăn nhai cho bạn.
Thông thường, sau 1–2 tiếng khi thuốc tê hết tác dụng, bạn có thể ăn uống trở lại. Tuy nhiên, nên tránh nhai trực tiếp bên răng vừa điều trị và kiêng thức ăn quá cứng, nóng hoặc lạnh trong vài ngày để không gây tổn thương vùng răng đang hồi phục.
Hầu như bạn hoàn toàn có thể đi làm, sinh hoạt như bình thường sau khi lấy tủy.
Hy vọng thông tin về lấy tủy răng mất bao lâu ở trên đây của chúng tôi đã gửi đến bạn thật nhiều thông tin hữu ích. Để được tư vấn chuyên sâu quý khách hàng có thể inbox fanpage Peace Dentistry Quận 7 hoặc gọi hotline tư vấn dịch vụ: 19002102 để được bác sĩ tư vấn chi tiết nhất.
(Để lại thông tin và vấn đề về răng của bạn, Nha khoa sẽ gọi lại tư vấn ngay)