Răng vĩnh viễn mọc khi nào? Răng vĩnh viễn có bao nhiêu cái? Chức năng của các răng này như thế nào? Làm thế nào để hạn chế mắc bệnh cho răng vĩnh viễn? Để giúp bạn hiểu hơn về chủ đề này, hãy cùng Nha Khoa Peace Dentistry theo dõi bài viết sau đây.
Răng vĩnh viễn hay còn gọi với tên răng trưởng thành là bộ răng sẽ thay thế khi răng sữa rụng đi. Đây là bộ răng cuối cùng giữ nhiều vai trò quan trọng và sẽ tồn tại cùng với bạn trong suốt khoảng thời gian còn lại.
Tùy theo tình trạng răng mà mỗi người sẽ có trung bình từ 28 – 32 chiếc răng trưởng thành bao gồm cả răng khôn.

(Mỗi người sẽ có từ 28 – 32 chiếc răng vĩnh viễn kể cả răng khôn)(**)
Thời gian mọc răng ở mỗi người sẽ có sự chênh lệch. Thông thường, răng vĩnh viễn sẽ bắt đầu mọc khi trẻ được 5 – 6 tuổi và kết thúc khi trẻ được 11 – 12 tuổi.
Trình tự mọc răng sẽ diễn ra như sau:

(Sơ đồ và thứ tự thay răng vĩnh viễn cho cả 2 hàm)(**)
Tùy thuộc vào mỗi vị trí mà các răng trưởng thành sẽ có những chức năng sau:
Bao gồm răng cửa giữa và răng cửa bên. Đây là những răng nằm phía trước và thường giữ các chức năng như: đảm bảo tính thẩm mỹ, phát âm chuẩn và cắn xé các thức ăn.
Răng nanh (răng số 3) là răng nằm ở ngay góc cung hàm. Hình dạng của răng giống như nhọn giáo với mũi nhọn và dày. Đây là răng trụ giúp ổn định và liên kết các răng khác trên cung hàm. Ngoài ra chúng còn giữ vai trò là hỗ trợ cắn xé thức ăn.
Răng tiền hàm hay răng số 4, số 5 là những răng nằm ở phía trong cung hàm. Nhóm răng này có bề mặt cắt phẳng, mũ răng hình lập phương và có 2 đỉnh nhọn, chúng đảm nhận vai trò là hộ trợ xé và nghiền nát thức ăn.
Răng hàm (răng số 6, số 7) là những răng có kích thước lớn trên cung hàm. Răng có bề mặt nhai rộng, nhiều rãnh múi nên giữ vai trò là nâng đỡ cung hàm và nghiền nát thức ăn.

(Răng trưởng thành giúp đảm bảo tính thẩm mỹ, phát âm chuẩn và ổn định chức năng ăn nhai)(**)
Bạn có thể phân biệt được răng sữa và răng vĩnh viễn qua những đặc điểm sau:
Răng sữa chỉ có 20 răng trong khi đó răng vĩnh viễn sẽ có từ 28 – 32 răng cho cả 2 hàm
Răng sữa thường có kích thước nhỏ hơn so với răng trưởng thành
Men răng và ngà răng của răng sữa tương đối mỏng hơn so với răng vĩnh viễn
Màu của răng sữa thường trắng sáng. Trong khi đó răng vĩnh viễn sẽ có màu trắng ngà hoặc hơi ngã vàng nhẹ so với răng sữa.
Răng vĩnh viễn khi không chăm sóc tốt sẽ rất dễ mắc các bệnh lý sau:
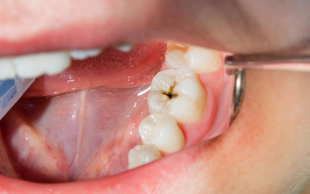
Sâu răng là tình trạng răng thường gặp. Bệnh thường có các dấu hiệu như: xuất hiện các chấm đen, trắng ở bất kỳ vị trí răng nào. Chúng có thể kèm theo triệu chứng hôi miệng, răng ê buốt, đau nhức tùy theo mức độ của bệnh lý.
Có nhiều nguyên nhân dẫn đến sâu răng như: do vi khuẩn Streptococus Mutans, vệ sinh răng miệng kém, ăn nhiều đồ ngọt, men răng yếu, vôi răng…
Để điều trị bệnh lý này tùy theo mức độ của sâu răng mà bác sĩ sẽ chỉ định các giải pháp như: trám răng đối với trường hợp sâu nhẹ, chữa tủy bọc sứ khi răng bị viêm tủy hoặc áp xe chân răng. Nếu răng bị sâu nghiêm trọng, cấu trúc răng bị phá hủy hoàn toàn thì bắt buộc phải nhổ bỏ răng.

(Sâu răng là bệnh lý thường gặp)(**)
Viêm nha chu là bệnh lý nguy hiểm thường được phát hiện thông qua các dấu hiệu như: nướu răng chuyển sang màu đỏ sậm hoặc màu tím, hôi miệng, chảy máu chân răng, tụt nướu, răng bị lung lay…
Viêm nha chu là biến chứng của bệnh viêm nướu lâu ngày không điều trị. Để chữa trị bệnh lý này đối với trường hợp nhẹ bác sĩ sẽ cạo vôi răng. Nếu bệnh lý đã tiến triển nghiêm trọng tùy thuộc vào tình trạng răng bác sĩ sẽ kê toa thuốc kháng sinh, kháng viêm để tiêu diệt vi khuẩn hoặc tiến hành ghép nướu, ghép xương.
Có nhiều lý do dẫn đến mất răng như: sâu răng, viêm nha chu, áp xe chân răng…
Răng vĩnh viễn khi mất đi sẽ gây ra nhiều biến chứng nguy hiểm như: lệch khớp cắn, tiêu xương, hóp má, xô lệch hàm, ảnh hưởng đến khớp thái dương hàm…
Để khôi phục lại răng mất bác sĩ sẽ thường chỉ định các giải pháp như làm cầu răng sứ, sử dụng hàm tháo lắp hoặc trồng răng implant.

(Răng khi mất đi cần được khôi phục lại càng sớm càng tốt)(**)
Để răng luôn khỏe mạnh và ít mắc bệnh lý bạn nên tuân thủ các hướng dẫn chăm sóc răng sau đây:
Hạn chế ăn nhiều loại bánh kẹo, nước ngọt, nước có gas. Bởi những thực phẩm này thường làm gia tăng mảng bám và rất dễ gây ra các bệnh lý răng miệng. Thay vào đó bạn nên cân bằng dinh dưỡng bằng cách ăn đa dạng các loại thực phẩm như rau củ, trái cây, thịt, hải sản các loại để tăng cường bổ sung canxi, fluor, vitsmin giúp răng chắc khỏe hơn.
Đánh răng mỗi ngày từ 2 – 3 lần sau khi ăn bằng bàn chải lông mềm kết hợp với kem đánh răng chứa fluoride. Sau khi đánh răng nên kết hợp dùng chỉ nha khoa, nước súc miệng để loại bỏ đi hết các vụn thức ăn, mảng bám còn tích tụ ở các kẽ răng hàm.
Hạn chế các thói quen xấu như mút tay, đẩy lưỡi, ngậm vú giả, nghiến răng… để giảm thiểu răng mắc các bệnh lý hoặc làm sai lệch khớp cắn.
Nên thăm khám, kiểm tra răng 3 – 6 tháng/lần để lấy vôi răng kết hợp với kiểm tra răng miệng định kỳ.

(Khám răng định kỳ 6 tháng/lần là việc làm vô cùng quan trọng)(**)
Khi bị mất răng bạn nên can thiệp trồng lại răng càng sớm càng tốt để tránh tình trạng tiêu xương, hóp má, lệch khớp cắn. Việc can thiệp trồng răng sớm sẽ giúp đảm bảo tốt chức năng ăn nhai và cải thiện đáng kể tính thẩm mỹ.
Như đề cập ở trên răng vĩnh viễn sẽ bắt đầu mọc khi trẻ lên 5 – 6 tuổi và kết thúc khi trẻ được 11 – 12 tuổi. Răng khôn (răng cối lớn thứ ba) sẽ mọc muộn hơn từ 17 đến 25 tuổi.Tuy nhiên, vẫn có một số ít trường hợp không mọc răng khôn do không có mầm răng.
12 tuổi chưa mọc đủ răng có thể coi là bình thường. Tình trạng này sẽ được xếp vào trường hợp mọc răng muộn. Tuy nhiên, vẫn không ngoại lệ trẻ bị thiếu mầm răng hoặc có răng mọc ngầm trong xương hàm. Khi phát hiện trẻ mọc răng muộn ba mẹ nên theo dõi trẻ nhiều hơn. Nếu sau một thời gian dài quan sát nhưng răng vẫn chưa mọc bạn nên đưa trẻ đến nha khoa kiểm tra.
Hy vọng thông tin về răng vĩnh viễn ở trên đây của chúng tôi đã gửi đến bạn thật nhiều thông tin hữu ích. Để được tư vấn chuyên sâu quý khách hàng có thể inbox fanpage Peace Dentistry Quận 7 hoặc gọi hotline tư vấn dịch vụ: 19002102 để được bác sĩ tư vấn chi tiết nhất.