Lệch khớp cắn hạng 3 là dạng sai khớp cắn khá phổ biến gây ra nhiều tác động tiêu cực đến mặt thẩm mỹ và hạn chế khi ăn nhai. Vậy, lệch khớp cắn hạng 3 do nguyên nhân nào gây ra? Dấu hiệu nhận biết và cách khắc phục như thế nào? Để biết thêm thông tin hãy cùng Nha Khoa Peace Dentistry theo dõi bài viết sau đây.
Lệch khớp cắn hạng 3 (khớp cắn ngược hay móm) là tình trạng hàm dưới có xu hướng chìa ra ngoài nhiều hơn so với hàm trên. Phần cằm có thể chìa ra trước nhiều hoặc ít tùy theo mức độ sai khớp cắn ở mỗi người.

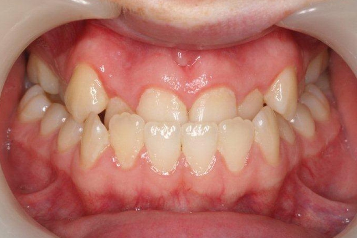
(Lệch khớp cắn hạng 3 có thể gây rối loạn chức năng ăn nhai)(**)
Khớp cắn ngược loại 3 thường xuất phát từ những nguyên nhân sau đây:
Răng hàm dưới mọc lệch lạc, mọc chìa ra bên ngoài và bao phủ hàm trên gây sai lệch khớp cắn nghiêm trọng.
Sự phát triển không đồng điều giữa hai cung hàm. Xương hàm dưới phát triển mạnh và chìa ra nhiều hơn trong khi xương hàm trên khá nhỏ và kém phát triển.
Răng mọc sai lệch kết hợp xương hàm phát triển không ổn định là trường hợp nghiêm trọng. Những người bị móm do răng kết hợp với xương qúa trình chữa trị cũng sẽ mất nhiều thời gian và phải kết hợp nhiều thủ thuật mới có thể đảm bảo kết quả tối ưu.
Thông thường khớp cắn ngược có thể được nhận biết thông qua những dấu hiệu sau:

(Người bị móm thường có biểu hiện khuôn mặt bị lõm vào trong, vùng cằm chìa ra bên ngoài)(**)
Sai khớp cắn hạng 3 nếu để lâu không khắc phục có thể dẫn đến những tác hại sau:
Khớp cắn ngược khiến cho gương mặt trông mất thẩm mỹ. Khi bị móm quá nặng có thể khiến cho vùng cằm của khuôn mặt bị chìa ra trông như lưỡi cày, vùng da mặt bị chảy xệ trông già hơn so với số tuổi.
Khi khớp cắn mất cân đối để đảm bảo thức ăn được nghiền nát tốt các răng sẽ phải dùng lực ăn nhai nhiều hơn. Khi thói quen ăn nhai này duy trì trong một thời gian dài có thể dẫn đến đau hàm, mỏi hàm hoặc tăng nguy cơ mắc các bệnh khớp thái dương hàm.

(Đau hàm là một trong những biến chứng nghiêm trọng khi bị khớp cắn ngược lâu ngày không chữa trị)(**)
Người bị khớp cắn ngược cũng dễ mắc bệnh lý răng miệng. Lý do là bàn chải không thể thao tác tới ở những ngách răng trong cùng. Khu vực đó sẽ là môi trường lý tưởng cho vi khuẩn phát triển và sinh sôi gây nên những bệnh lý như: sâu răng, viêm nướu, viêm nha chu…
Răng và hàm có chức năng vô cùng quan trọng để quyết định đến giọng nói. Khi khớp cắn bị sai lệch, răng mọc lộn xộn sẽ khiến môi và lưỡi không hoạt động nhịp nhàng. Khi phát âm sẽ khó nói được tròn chữ.
Để tránh những biến chứng nguy hiểm người bị khớp cắn ngược cần phải tiến hành khám, kiểm tra và điều trị kịp thời. Tại Peace Dentistry, để khắc phục tình trạng này tùy theo mỗi trường hợp mà bác sĩ sẽ chỉ định 1 trong 2 giải pháp sau đây:
Niềng răng được xem là một trong những giải pháp chữa trị tình trạng móm hiệu quả. Bác sĩ sẽ sử dụng hệ thống khí cụ bao gồm mắc cài, dây cung, dây thun hoặc hệ thống khay trong suốt để tạo lực tác động cho răng di chuyển. Sau điều trị khớp cắn chuẩn sẽ được khôi phục, răng trở nên đều đặn, góc nghiêng đẹp và tính thẩm mỹ khuôn mặt sẽ được cải thiện đáng kể.

(Kết quả niềng răng móm được thực hiện tại Peace Dentistry)(**)
Phẫu thuật hàm sẽ được chỉ định khi bạn bị móm do cấu trúc xương và niềng răng chưa khắc phục được triệt để. Bác sĩ sẽ thực hiện phẫu thuật cắt ghép hoặc loại bỏ phần xương mất cân xứng, điều chỉnh cấu trúc xương mặt cân đối hơn. Tuy nhiên, phương pháp này thường mang tính phức tạp cao và đòi hỏi bác sĩ thực hiện phải là người có tay nghề cao. Do đó bạn nên lựa chọn bác sĩ giỏi kết hợp điều trị tại các bệnh viện uy tín có trang thiết bị, máy móc hiện đại để đảm bảo quá trình chữa trị mang lại hiệu quả cao.
Tại Peace Dentistry, chi phí niềng khớp cắn ngược tùy thuộc vào tình trạng răng và phương pháp niềng. Do tình trạng răng ở mỗi người là khác nhau nên mức giá niềng sẽ có sự chênh lệch. Vì vậy, để biết mức chi phí chính xác cho trường hợp của mình bạn nên đến nha khoa uy tín để bác sĩ kiểm tra, chụp phim. Sau khi thu thập đủ tất cả các thông tin bác sĩ sẽ tư vấn, lựa chọn phương pháp niềng, lên phát đồ chữa trị cũng như báo tổng chi phí niềng cụ thể.
Chỉnh nha niềng răngGiảm Đến 30%. Xem thêm chương trình ưu đãi: tại đây |
||
1. Niềng Răng Mắc Cài |
||
| Dịch Vụ | Giá Niêm Yết (VND) | Giá Ưu Đãi (VND) |
| Niềng răng mắc cài kim loại (1 hàm, hở kẽ) | 20.000.000 | 17.000.000 |
| Niềng răng mắc cài kim loại (2 hàm) | 35.000.000 - 45.000.000 |
32.000.000 - 42.000.000 |
| Niềng răng mắc cài sứ | 47.000.000 - 57.000.000 |
44.000.000 - 54.000.000 |
| Niềng răng mắc cài mặt trong | Giá tùy theo trường hợp | Giá tùy theo trường hợp |
2. Niềng Răng Mắc Cài Tự Đóng |
||
| Dịch Vụ | Giá Niêm Yết (VND) | Giá Ưu Đãi (VND) |
| Niềng răng mắc cài kim loại tự đóng | 44.000.000 - 54.000.000 |
36.500.000 - 46.500.000 |
| Niềng răng mắc cài sứ tự đóng | 50.000.000 - 60.000.000 |
39.500.000 - 49.500.000 |
3. Niềng Răng Trong Suốt Invisalign |
||
| Dịch Vụ | Giá Niêm Yết (VND) | Giá Ưu Đãi (VND) |
| Invisalign Essential | 40.000.000 | 28.000.000 |
| Invisalign Express | 45.500.000 | 31.850.000 |
| Invisalign Lite | 75.700.000 | 52.990.000 |
| Invisalign First | 70.650.000 - 84.250.000 |
49.455.000 - 58.975.000 |
| Invisalign Moderate | 111.950.000 | 78.365.000 |
| Invisalign Comprehensive | 119.600.000 - 121.400.000 | 83.720.000 - 84.980.000 |
| Cam kết: tất cả các loại khí cụ, mắc cài đều là sản phẩm cao cấp, chính hãng: Invisalign, Tomy, AO, Morelli, RMO,... Lưu ý: Có áp dụng thanh toán trả góp lãi suất 0% |
||
Niềng răng là một thủ thuật tương đối phức tạp. Để có kết quả điều trị tối ưu và tránh những biến chứng không mong muốn thì việc lựa chọn cơ sở nha khoa có vai trò rất quan trọng. Peace Dentistry tự hào là hệ thống nha khoa uy tín tại Tp.HCM. Với số lượng khách hàng đông đảo, đội ngũ bác sĩ tay nghề cao, tranh thiết bị tân tiến. Sau 20 năm thành lập Nha Khoa Peace Dentistry đã và đang là địa chỉ niềng răng đáng tin cậy của rất nhiều người do đáp ứng được các tiêu chí sau đây:
Đội ngũ bác sĩ chuyên khoa RHM giỏi, chuyên môn cao, nhiều năm kinh nghiệm. Trên 40% bác sĩ đã tham gia đào tạo liên tục các khóa sau đại học, các khóa nâng cao cả trong và ngoài nước. Các bác sĩ chỉnh nha tay nghề cao, làm việc tận tâm từng điều trị rất nhiều ca chỉnh nha có mức độ từ đơn giản đến cực kỳ phức tạp thành công.

(Đội ngũ bác sĩ, chuyên gia RHM tại nha khoa Peace Dentistry)(**)
Trung tâm được đầu tư các trang thiết bị, công nghệ hiện đại được nhập khẩu trực tiếp từ nước ngoài như: ghế nha Kavo Premium Osstem, máy CT Cone Beam, máy Xquang 3 chiều kỹ thuật số Gendex GXDP-700 Series, Itero…giúp chẩn đoán chính xác nguyên nhân và hỗ trợ tối đa trong suốt quá trình điều trị.

(Trang thiết bị hiện đại, tân tiến tại Peace Dentistry)(**)
Vật liệu, khí cụ chỉnh nha cao cấp: Roth In – Ovation, Damond Clear, Smile, Damon speed, Invisalign… có chứng nhận lưu hành quốc tế, được nhập khẩu trực tiếp từ nước ngoài 100%.

(Vật liệu, khí cụ niềng có nguồn gốc xuất xứ chính hãng 100%)(**)
Chi phí công khai minh bạch, rõ ràng cho khách hàng trước khi bắt đầu tiến trình điều trị. Ngoài ra, nha khoa còn tạo điều kiện thuận lợi giúp bạn thanh toán dễ dàng khi đang áp dụng chính sách trả góp với lãi suất 0% thông qua 31 ngân hàng.

(Linh động trả góp với lãi suất 0% cùng 31 ngân hàng đang liên kết tại Peace Dentistry)(**)
Xem thêm: Niềng răng giá bao nhiêu và các yếu tố ảnh hưởng đến giá niềng răng
Phòng tiểu phẫu được vô trùng cự tím để tránh lây nhiễm chéo và đảm bảo an toàn cho khách hàng trong suốt quá trình điều trị.
Hy vọng thông tin về lệch khớp cắn hạng 3 ở trên đây của chúng tôi đã gửi đến bạn thật nhiều thông tin hữu ích. Để được tư vấn chuyên sâu quý khách hàng có thể inbox fanpage Peace Dentistry Quận 7 hoặc gọi hotline tư vấn dịch vụ: 19002102 để được bác sĩ tư vấn chi tiết nhất.