Sai lệch khớp cắn là tình trạng phổ biến và có thể xảy ra ở mọi đối tượng. Vậy, nguyên nhân nào dẫn đến sai lệch khớp cắn? Dấu hiệu nhận biết là gì và giải pháp khắc phục như thế nào? Để được giải đáp cụ thể hãy cùng Nha Khoa Peace Dentistry theo dõi bài viết sau đây.
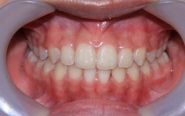
Khớp cắn là sự tương quan giữa 2 hàm khi cắn chặt lại. Chúng sẽ bao gồm tỷ lệ cân xứng răng, xương hàm và diện tích tiếp xúc giữa các răng với nhau ở trạng thái nghỉ.
Khi sở hữu một khớp cắn cân đối sẽ giúp cho thao tác ăn nhai của bạn trở nên dễ dàng, phát âm tốt, khuôn mặt trở nên cân đối và hài hòa hơn.

(Khớp cắn là sự tương quan giữa hàm trên và hàm dưới khi cắn chặt lại)(**)
Sai lệch khớp cắn là tình trạng khớp cắn giữa hai hàm không khớp với nhau. Khi đó các răng sẽ có xu hướng chìa ra ngoài hoặc thụt vào trong. Đây là tình trạng phổ biến có thể gây hạn chế khi ăn nhai và ảnh hưởng nghiêm trọng đến tính thẩm mỹ.
Lệch khớp cắn thường có 4 loại sau đây:
Loại khớp cắn này thường khó phát hiện mà chỉ có thể nhận biết khi cười. Người bị khớp cắn chéo thường có nhiều răng mọc lộn xộn trên cung hàm, khoảng cách các răng có thể sát khít hoặc rất thưa. Khi cắn hai hàm lại với nhau sẽ có sự chênh lệch về bên trái hoặc bên phải.
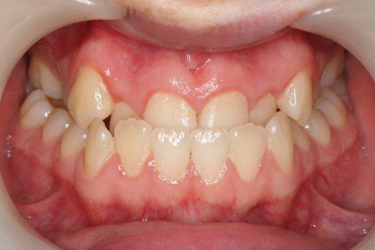
Người bị khớp cắn ngược hay còn gọi là móm. Tình trạng này rất dễ nhận biết khi nhìn ở góc nghiêng khuôn mặt. Phần môi dưới có xu hướng chìa ra hẳn so với môi trên. Trường hợp nghiêm trọng bệnh nhân sẽ có phần cằm chìa hẳn ra bên ngoài làm cho khuôn mặt rất mất thẩm mỹ.
Khớp cắn sâu hay còn gọi hô hoặc vẩu. Nguyên nhân là do xương hàm trên phát triển quá mức dẫn đến hàm trên bao phủ ¾ khu vực răng hàm dưới. Khi ngậm miệng ở trạng thái nghỉ sẽ không hoặc trông thấy rất ít hàm răng dưới.
Khớp cắn hở là dạng sai lệch khớp cắn nghiêm trọng nhất. Nhóm răng cửa bị hở có thể nhìn thấy lưỡi ngay cả khi khép răng ở trạng thái nghỉ. Việc khớp cắn giữa hai hàm không khép chặt được với nhau sẽ gây ra khó khăn khi nghiền nát thức ăn.

(Khớp cắn ngược là dạng sai lệch khớp cắn thường gặp)(**)
Tình trạng sai lệch khớp cắn có thể nhận biết thông qua những dấu hiệu sau:
Dưới đây là những nguyên nhân phổ biến gây lệch khớp cắn:
Gen di truyền có mối liên hệ mật thiết đến sức khỏe răng miệng của các thế hệ sau. Trong gia đình nếu ba mẹ hoặc ông bà bị móm thì khả năng cao bạn cũng sẽ gặp tình trạng răng tương tự
Tai nạn, va đập mạnh vùng đầu, mặt có thể gây ảnh hưởng đến răng và xương hàm dẫn đến lệch khớp cắn.
Trẻ em có các thói quen xấu như ngậm vú giả, mút tay, dùng lưỡi đẩy răng… về lâu dài có thể gây sai lệch khớp cắn.
Niềng răng thất bại làm cho khớp cắn bị sai lệch hơn tình trạng ban đầu. Đây được xem là biến chứng nguy hiểm và có thể làm tăng chi phí chữa trị trong tương lai.
Lệch khớp cắn nếu để lâu không chữa trị có thể gây ra những tác hại sau:
Trên cung hàm có nhiều răng mọc lộn xộn sẽ tạo ra nhiều các kẽ răng nhỏ và dễ gây bám, vắt thức ăn. Nếu vệ sinh răng sai cách các mảng bám không loại bỏ hết sẽ rất dễ gây ra tình trạng hôi miệng, răng dễ bị sâu, viêm nướu, viêm nha chu…
Khớp cắn không chuẩn sẽ gây ảnh hưởng trực tiếp đến khả năng ăn nhai. Bạn sẽ gặp nhiều khó khăn khi cắn xé hoặc nghiền nát thức ăn. Khao tác ăn nhai không đảm bảo các thức ăn sẽ khó được nghiền nát. Điều này sẽ làm tăng áp lực lên hệ tiêu hóa và dễ mắc các bệnh lý liên quan đến dạ dày, đại tràng hơn.

(Lệch khớp cắn nghiêm trọng sẽ làm suy giảm khả năng ăn nhai)(**)
Răng và hàm có chức năng vô cùng quan trọng để quyết định đến giọng nói. Khi khớp cắn bị sai lệch, răng mọc lộn xộn sẽ khiến môi và lưỡi không hoạt động nhịp nhàng. Khi phát âm sẽ khó nói được tròn chữ.
Những người bị lệch khớp cắn thường có gương mặt mất cân đối, đặc biệt ở vùng miệng hay cằm là khu vực dễ phát hiện nhất. Khi cười, những khuyết điểm trên răng sẽ lộ rõ hơn gây mất tự tin khi giao tiếp.
Thông thường giữa người lớn và trẻ em khi bị lệch khớp cắn bác sĩ sẽ can thiệp các giải pháp sau:
Từ 6 – 12 tuổi là giai đoạn trẻ bắt đầu rụng đi các răng sữa và được thay thế dần bởi răng vĩnh viển. Nếu ba mẹ phát hiện trẻ bị răng hô, móm, chen chúc, lệch lạc thì nên can thiệp tiền chỉnh nha sớm bằng cách đeo hàm Trainer. Khí cụ này được chế tác hoàn toàn từ vật liệu silicon an toàn cho môi trường răng miệng của trẻ. Chúng có tác dụng hướng dẫn răng vĩnh viễn mọc đúng vị trí và hạn chế sự phát triển quá mức của xương hàm.

(Đeo hàm trainer sẽ giúp các răng vĩnh viễn mọc đúng hướng và hạn chế sự phát triển quá mức của xương hàm)(**)
Ở người lớn sẽ có 2 phương pháp chỉnh nha phổ biến là:
Chỉnh nha mắc cài sẽ bao gồm: chỉnh nha mắc cài truyền thống, mắc cài sứ và cả mắc cài tự động. Khi điều trị bác sĩ sẽ gắn lần lượt mắc cài, dây cung, dây thun (nếu có) lên răng để tạo một lực kéo mạnh giúp các răng di chuyển về đúng vị trí trên cung hàm.
Tùy thuộc vào mong muốn, tình trạng răng bác sĩ sẽ chỉ định phương pháp phù hợp. Tuy nhiên, hiệu quả của các giải pháp niềng này là như nhau. Sau điều trị răng của bạn sẽ trở nên đều đẹp, khớp cắn chuẩn, đường nét trên khuôn mặt hài hòa và cải thiện đáng kể về mặt thẩm mỹ.
Đây là phương pháp chỉnh nha hiện đại và tiên tiến nhất hiện nay. Chuỗi khay niềng được chế tác cá nhân hóa dựa theo từng tình trạng răng của khách hàng. Mỗi khay có thiết kế ôm sát chân răng không những tăng tính thẩm mỹ mà còn đảm bảo lực tác động tốt để răng dịch chuyển. Bởi đặc tính vô hình của hệ thống khay cùng hiệu quả tối ưu mà chúng mang lại nên đây đang là phương pháp chỉnh nha được nhiều khách hàng ưu tiên lựa chọn.

(Niềng răng Invisalign có thể khắc phục được tất cả các ca lệch khớp cắn từ mức độ nhẹ đến nghiêm trọng)(**)
Phẫu thuật hàm sẽ được áp dụng cho trường hợp sai khớp cắn nặng do xương hàm đã có can thiệp chỉnh nha nhưng chưa đạt hiệu quả tối ưu. Để điều trị bác sĩ sẽ thực hiện cắt xương hàm, sau đó di chuyển xương hàm về vị trí phù hợp để khôi phục lại khớp cắn chuẩn. Tuy nhiên, thủ thuật này thường mang tính phức tạp cao, xâm lấn nhiều. Do đó để đảm bảo an toàn, tỷ lệ thành công cao bạn nên điều trị tại các bệnh viện trung ương có bác sĩ giỏi, tay nghề cao.
12 – 17 tuổi được xem là thời điểm vàng để niềng răng cố định . Khí cụ niềng của phương pháp này thường là mắc cài, dây cung, dây thun hoặc khay trong suốt. Giai đoạn này răng sữa đã được thay thế hoàn toàn bằng răng vĩnh viễn. Cả răng và hàm vẫn đang trong giai đoạn phát triển nên sẽ có nhiều thuận lợi hơn nếu bạn can thiệp chỉnh nha. Một ưu điểm lớn khi lựa chọn niềng từ 12 -17 tuổi là đa số các bạn trẻ sẽ không cần phải nhổ răng. Thời gian đeo niềng cũng tương đối ngắn nhưng hiệu quả lại vô cùng tối ưu.

(12 – 17 tuổi là giai đoạn vàng và thích hợp nhất để can thiệp niềng răng)(**)
Niềng răng là một thủ thuật tương đối phức tạp. Để có kết quả điều trị tối ưu và tránh những biến chứng không mong muốn thì việc lựa chọn cơ sở nha khoa có vai trò rất quan trọng. Peace Dentistry tự hào là hệ thống nha khoa uy tín tại Tp.HCM. Với số lượng khách hàng đông đảo, đội ngũ bác sĩ tay nghề cao, tranh thiết bị tân tiến. Sau 20 năm thành lập Nha Khoa Peace Dentistry đã và đang là địa chỉ niềng răng quen thuộc của rất nhiều người do đáp ứng được các tiêu chí sau đây:
Đội ngũ bác sĩ chuyên khoa RHM giỏi, chuyên môn cao, nhiều năm kinh nghiệm. Trên 40% bác sĩ đã tham gia đào tạo liên tục các khóa sau đại học, các khóa nâng cao cả trong và ngoài nước. Các bác sĩ chỉnh nha tay nghề cao, làm việc tận tâm từng điều trị rất nhiều ca chỉnh nha có mức độ từ đơn giản đến cực kỳ phức tạp thành công.

(Đội ngũ bác sĩ, chuyên gia RHM tại nha khoa Peace Dentistry)(**)
Trung tâm được đầu tư các trang thiết bị, công nghệ hiện đại được nhập khẩu trực tiếp từ nước ngoài như: ghế nha Kavo Premium Osstem, máy CT Cone Beam, máy Xquang 3 chiều kỹ thuật số Gendex GXDP-700 Series, Itero…giúp chẩn đoán chính xác nguyên nhân và hỗ trợ tối đa trong suốt quá trình điều trị.

(Trang thiết bị hiện đại, tân tiến tại Peace Dentistry)(**)
Vật liệu, khí cụ chỉnh nha cao cấp: Roth In – Ovation, Damond Clear, Smile, Damon speed, Invisalign… có chứng nhận lưu hành quốc tế, được nhập khẩu trực tiếp từ nước ngoài 100%.

(Vật liệu, khí cụ niềng có nguồn gốc xuất xứ chính hãng 100%)(**)
Chi phí công khai minh bạch, rõ ràng cho khách hàng trước khi bắt đầu tiến trình điều trị. Ngoài ra, nha khoa còn tạo điều kiện thuận lợi giúp bạn thanh toán dễ dàng khi đang áp dụng chính sách trả góp với lãi suất 0% thông qua 31 ngân hàng.

(Linh động trả góp với lãi suất 0% cùng 31 ngân hàng đang liên kết tại Peace Dentistry)(**)
Xem thêm: Niềng răng giá bao nhiêu và các yếu tố ảnh hưởng đến giá niềng răng
Phòng tiểu phẫu được vô trùng cự tím để tránh lây nhiễm chéo và đảm bảo an toàn cho khách hàng trong suốt quá trình điều trị.
Dưới đây là một số hình ảnh before – after của khách hàng khi chỉnh nha tại Peace Dentistry:

(Ca lâm sàng chữa răng hô bằng phương pháp niềng răng mắc cài kim loại cho bé tuổi teen và hoàn tất sau 21 tháng)(**)

(Ca lâm sàng chữa sai lệch khớp cắn bằng phương pháp chỉnh nha Invisalign hoàn tất sau 26 tháng)(**)

(Cải thiện tình trạng răng mọc chen chúc với giải pháp niềng mắc cài kim loại tự đóng kết hợp nong 2 hàm và hoàn thành sau 23 tháng)(**)

(Hình ảnh trước – sau ca lâm sàng chỉnh nha mắc cài tự đóng sau 2 năm điều trị)(**)

(Kết quả chỉnh nha mắc cài kim loại không nhổ răng và hoàn thành trong 24 tháng được chữa trị tại Peace Dentistry)(**)
Hy vọng thông tin về sai lệch khớp cắn ở trên đây của chúng tôi đã gửi đến bạn thật nhiều thông tin hữu ích. Để được tư vấn chuyên sâu quý khách hàng có thể inbox fanpage Peace Dentistry Quận 7 hoặc gọi hotline tư vấn dịch vụ: 19002102 để được bác sĩ tư vấn chi tiết nhất.