Bị viêm nha chu dẫn đến mất răng sớm là trường hợp khá phổ biến. Vậy, viêm nha chu có trồng răng implant được không? Khi điều trị cần lưu ý những vấn đề gì? Nếu bạn cũng đang thắc mắc về chủ đề này hãy cùng Nha Khoa Peace Dentistry giải đáp thông qua bài viết sau đây.
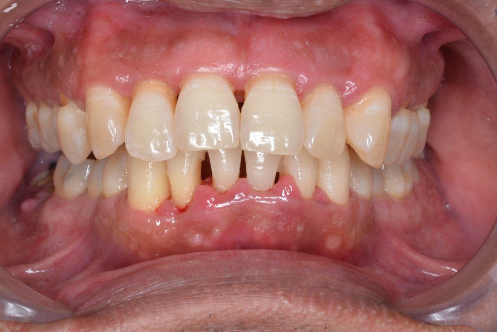
Viêm nha chu là một bệnh nhiễm trùng nướu thường gặp. Vi khuẩn gây bệnh sẽ làm suy yếu khả năng nâng đỡ của hệ thống nướu. Khi không tiến hành điều trị kịp thời các mô nướu răng sẽ ngày càng bị mất dần, xương tiêu đi làm các răng bị lung lay và cuối cùng là mất răng hàng loạt.

(Nên phát hiện và điều trị sớm bệnh viêm nha chu)(**)
Bệnh nha chu nếu để lâu chúng có thể gây ra những biến chứng sau:
Để giải đáp câu hỏi của khách hàng “viêm nha chu có trồng răng implant được không?” thì câu trả lời là hoàn toàn CÓ THỂ. Tuy nhiên, để quá trình điều trị đạt hiệu quả tối ưu, trụ implant tích hợp tốt với xương hàm bạn nên chữa bệnh viêm nha chu trước. Sau khi tình trạng viêm nhiễm được khắc phục triệt để, mô nướu răng được hồi phục hoàn toàn bác sĩ sẽ bắt đầu tiến trình trồng răng implant.

(Viêm nha chu hoàn toàn có thể trồng răng implant được)(**)
Để quá trình trồng răng implant khi bị bệnh nha chu đạt hiệu quả cao bạn cần phải đảm bảo được những điều kiện sau đây:
Điều trị triệt để bệnh nha chu, kiểm soát tốt tình trạng viêm nhiễm. Chú trọng chăm sóc răng sau điều trị thật tốt để ngăn ngừa bệnh tái phát khi gần đến ngày hẹn trồng răng implant.
Để trụ răng tích hợp tốt và đứng vững chắc trên cung hàm cần phải có đủ lượng xương. Nếu răng bị tiêu xương nhiều, thiếu thể tích xương bạn bắt buộc phải can thiệp thủ thuật ghép xương
Trước khi bắt đầu cấy ghép implant bác sĩ sẽ tiến hành lấy máu xét nghiệm để kiểm tra sức khỏe tổng quát cho bạn. Nếu sức khỏe tốt thì sẽ can thiệp trồng implant ngay sau đó. Trường hợp sức khỏe không cho phép bác sĩ sẽ chỉ định các thủ thuật khác phù hợp hơn.

(Xét nghiệm máu là bước vô cùng quan trọng trước khi bắt đầu trồng răng Implant)(**)
Bạn cần duy trì cách chăm sóc răng đúng cách sau khi chữa bệnh nha chu và cả quá trình trồng implant ngay sau đó.
Việc chữa trị bệnh nha chu chưa triệt để mà đã can thiệp trồng implant có thể dẫn đến những biến chứng sau:
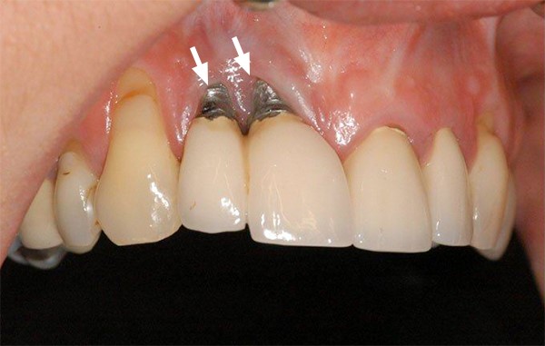
Việc quyết định trồng implant khi chưa kiểm soát tốt bệnh lý có thể tạo điều kiện thuận lợi cho vi khuẩn sinh sôi và thâm nhập vào bên trong xương hàm gây viêm nhiễm, đau nhức. Điều này có thể gây ảnh hưởng đến quá trình tích hợp giữa trụ implant và xương hàm. Khi tình trạng viêm nhiễm trở nên nghiêm trọng hơn có thể bị đào thải trụ implant ra bên ngoài.

(Trụ implant có thể bị đào thải nếu gặp tình trạng nhiễm trùng)(**)
Vi khuẩn gây bệnh nha chu có thể gây viêm nhiễm nướu tái phát làm kéo dài thời gian hồi phục vết thương hơn
Viêm nha chu là một dạng nhiễm trùng nướu. Khi không được kiểm soát tốt trước khi làm implant vi khuẩn gây bệnh sẽ tấn công mạnh mẽ và làm gia tăng nguy cơ nhiễm trùng sau tiểu phẫu.
Những người bị bệnh nha chu nghiêm trọng tỷ lệ thành công sẽ tương đối thấp so với người có mô nướu răng khỏe mạnh. Do đó việc kiểm soát tình trạng viêm và chăm sóc răng miệng đúng cách sau điều trị là vô cùng quan trọng.
Vi khuẩn gây bệnh nha chu có thể di chuyển sang các răng bên cạnh và làm viêm nhiễm. Điều này sẽ làm gia tăng mắc bệnh lý cho răng bên cạnh và cả trụ implant vừa được cấy ghép vào xương hàm.
Để điều trị bệnh nha chu nhẹ thông thường bác sĩ sẽ chỉ định cạo vôi răng kết hợp với vệ sinh răng đúng cách, xây dựng chế độ ăn hợp lý. Tuy nhiên để mô nướu ổn định, hồi phục tốt hơn bác sĩ sẽ yêu cầu bạn tái khám và chờ từ 1 – 2 tuần sau đó mới bắt đầu trồng implant.
Với những người bị nha chu nặng sau khi can thiệp các thủ thuật điều trị bác sĩ sẽ kê thêm thuốc kháng sinh, kháng viêm để tiêu diệt vi khuẩn và khôi phục mô nướu. Bác sĩ sẽ hẹn lịch tái khám khoảng 1 – 2 tuần sau đó để kiểm tra mức độ hồi phục của các mô nha chu. Sau khi xác định tình trạng răng đã ổn bác sĩ sẽ lên phát đồ chữa trị và thông báo thời điểm trồng implant cụ thể.

(Kết quả trồng răng Implant được thực hiện tại Peace Dentistry)(**)
Cấy ghép Implant là một chỉ định quan trọng do đó việc điều trị nên được thực hiện tại cơ sở uy tín có bác sĩ, chuyên gia Implant giỏi. Peace Dentistry tự hào là một trong những hệ thống nha khoa uy tín hiện nay. Để thực hiện thủ thuật này nha khoa luôn đảm bảo được các yếu tố sau:
Peace Dentistry có Thạc Sĩ Bác Sĩ CKII Thân Trọng Nguyên, BS CKI Nguyễn Ngọc Thái, BS CKI Đặng Hoàng Cương, BS. Trần Quang Thái. Đây đều là các bác sĩ Implant nhiều kinh nghiệm, tu nghiệp chuyên sâu về Implant và sở hữu các chứng chỉ cấy ghép Implant uy tín.

(Đội ngũ bác sĩ, chuyên gia RHM tại nha khoa Peace Dentistry)(**)
Phòng tiểu phẫu được vô trùng cự tím để tránh lây nhiễm chéo và đảm bảo an toàn cho khách hàng trong suốt quá trình điều trị. Ngoài ra các dụng cụ cũng đã được tiệt trùng, vô trùng bằng tia cực tím trước khi đem vào phòng tiểu phẫu.

Nha khoa được đầu tư các trang thiết bị, công nghệ hiện đại được nhập khẩu trực tiếp từ nước ngoài như: ghế nha Kavo Premium Osstem, máy CT Cone Beam, máy Xquang 3 chiều kỹ thuật số Gendex GXDP-700 Series, hệ thống Labo CAD/CAM inlab MCXL, công nghệ Digital Smile Design, phòng điều trị vô trùng cực tím… giúp chẩn đoán chính xác nguyên nhân và hỗ trợ tối đa trong suốt quá trình điều trị.

(Ghế nha Kavo Premium và Osstem hiện đại)(**)
Các trụ Implant như: SIC, Neodent GM Helix, Straumann (Thuỵ Sĩ), Hiossen (Mỹ), Tekka (Pháp), NR Lines, Dio (Hàn Quốc)… Răng sứ trên Implant chính hãng của Đức, Mỹ: Zirconia, IPS e.max ZirCAD Prime Esthetic, Lava…được nhập khẩu chính hãng 100%.

(Trụ implant được nhập khẩu chính hãng 100%)(**)
Nha khoa có các chính sách ưu đãi hợp lý. Sau mỗi ca làm Implant đều được bác sĩ dặn dò chăm sóc kỹ càng. Lễ tân gọi lại nhắc hẹn tái khám định kỳ cũng như là giải đáp các thắc mắc đầy đủ nếu khách hàng có vấn đề chưa rõ.
Hy vọng thông tin về viêm nha chu có trồng răng implant được không ở trên đây của chúng tôi đã gửi đến bạn thật nhiều thông tin hữu ích. Để được tư vấn chuyên sâu quý khách hàng có thể inbox fanpage Peace Dentistry Quận 7 hoặc gọi hotline tư vấn dịch vụ: 19002102 để được bác sĩ tư vấn chi tiết nhất.