Khi mắc viêm tủy răng có mủ cho thấy bệnh lý đã chuyển sang giai đoạn nghiêm trọng. Vậy, khi bị viêm tủy răng có mủ nên điều trị như thế nào? Có bao nhiêu giải pháp khắc phục? Làm thế nào để ngăn ngừa bệnh lý này? Để biết thêm thông tin hãy cùng Nha Khoa Peace Dentistry theo dõi bài viết sau đây.
Viêm tủy răng có mủ là tình trạng tủy răng bị viêm nhiễm nghiêm trọng dẫn đến hình thành ổ mủ bên trong ống tủy hoặc quanh chân răng. Đây là giai đoạn nặng của bệnh lý và có thể dẫn đến nguy cơ mất răng cao nếu không phát hiện và điều trị kịp thời.

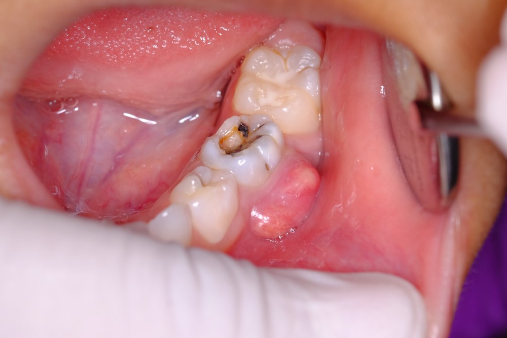
(Viêm tủy răng có mủ là một dạng nhiễm trùng răng có thể xảy ra ở trẻ em hoặc người lớn)(**)
Bệnh lý này thường có những dấu hiệu sau đây:
Dưới đây là các nguyên nhân phổ biến gây viêm tủy có mủ:
Sâu răng là nguyên nhân phổ biến dẫn đến viêm tủy. Khi lỗ sâu tiến sâu vào lớp ngà răng và không được trám lại, vi khuẩn sẽ dễ dàng tấn công vào tủy, gây viêm và hình thành ổ mủ.
Viêm nha chu là tình trạng viêm nhiễm phần nướu và xương nâng đỡ quanh răng. Khi không chữa trị đúng cách, vi khuẩn từ túi nha chu có thể xâm nhập ngược vào ống tủy qua lỗ chóp hoặc qua các ống ngà.
Răng bị chấn thương do té ngã, va đập mạnh có thể khiến răng bị nứt vỡ, lộ tủy hoặc chết tủy.
Một số thói quen hàng ngày tưởng chừng vô hại nhưng lại ảnh hưởng nghiêm trọng đến tủy răng, như: tật nghiến răng kéo dài, dùng răng cắn nước đá, khui nắp chai hoặc do thói quen vệ sinh răng miệng sai cách diễn ra trong thời gian dài.
Trám răng không khít, bọc sứ sai kĩ thuật, men răng yếu…cũng là một trong những nguyên nhân gây viêm tủy có mủ.

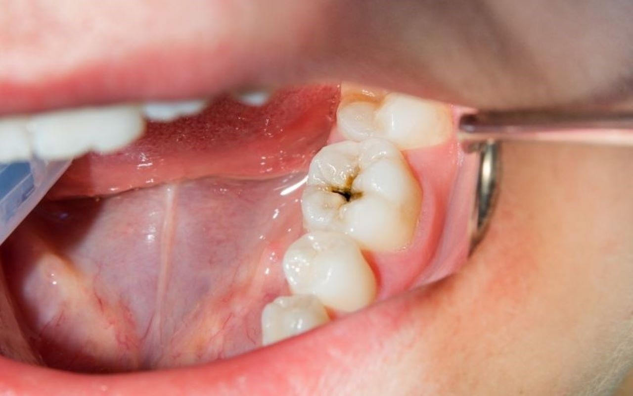
(Sâu răng lâu ngày ở trẻ em hoặc người trưởng thành nếu không điều trị sẽ dẫn đến viêm tủy)(**)
Răng viêm tủy và có mủ là một dạng nhiễm trùng có khả năng mất răng cao. Vi khuẩn gây bệnh có thể đi vào bên trong cơ thể và gây ra các bệnh lý toàn thân khác. Vì vậy bạn không được chủ quan mà nên can thiệp chữa trị sớm.
Dưới đây là những biến chứng bạn có thể gặp phải nếu trì hoãn chữa tủy trong thời gian dài:
Khi vi khuẩn xâm nhập sâu vào tủy mà không được xử lý các ống tủy sẽ dần bị hoại tử. Ổ mủ khi hình thành sẽ lan rộng theo ống tủy đến chóp răng. Từ đó tấn công vào xương hàm gây đau nhức, sưng mặt thậm chí phải mổ để nạo mủ.

(Vi khuẩn tích tụ trong ổ mủ có thể gây hôi miệng, ảnh hưởng đến xương hàm)(**)
Khi tủy răng chết cấu trúc răng cũng bị ảnh hưởng nghiêm trọng. Chân răng sẽ bị lung lay, viêm quanh chóp lan rộng làm cho chiếc răng không còn giữ được.
Ổ mủ không chỉ gây hại cho răng đang viêm tủy, nếu không xử lý kịp vi khuẩn sẽ lan sang các răng kế bên làm sâu răng, viêm nướu, viêm tủy.
Trường hợp nghiêm trọng, vi khuẩn từ ổ mủ răng có thể đi vào bên trong cơ thể máu gây nhiễm trùng máu. Đây là tình trạng rất nguy hiểm, có thể đe dọa tính mạng nếu không cấp cứu kịp thời. Người bệnh cũng có thể bị sốt cao, rét run, tụt huyết áp, mệt lả toàn thân. Biến chứng này thường gặp ở người có hệ miễn dịch yếu, người già, người mắc bệnh mãn tính.
Khi phát hiện bệnh lý này bạn nên đến nha khoa uy tín để bác sĩ chẩn đoán kiểm tra. Tại Peace Dentistry, tùy thuộc vào mức độ viêm nhiễm mà bác sĩ sẽ chỉ định các phương pháp điều trị sau:
Nếu tình trạng viêm chưa lan rộng, ổ mủ còn nhỏ bác sĩ có thể chỉ định dùng thuốc kháng sinh, giảm đau hoặc kháng viêm để làm xẹp ổ mủ và kiểm soát tình trạng nhiễm trùng.
Bác sĩ sẽ tiến hành gây tê, dùng thiết bị khoan chuyên dụng để tạo 1 lỗ nhỏ thông với tủy viêm. Sau khi lấy hết tủy viêm ra bên ngoài bác sĩ sẽ tiến hành trám hoặc bọc sứ để khôi phục lại mô răng thật và cải thiện tính thẩm mỹ.
Trường hợp cấu trúc răng bị phá hủy nghiêm trọng, răng bị lung lay và không thể giữ lại được. Bác sĩ sẽ chỉ định nhổ răng để bảo vệ các răng khác không bị vi khuẩn tấn công.

(Chữa tủy là giải pháp giúp khắc phục tình trạng viêm tủy hiệu quả và bảo tồn răng thật tối đa)(**)
Chữa viêm tủy răng là một thủ thuật phức tạp, dễ gây ra biến chứng nguy hiểm và gây đau nhức dữ dội. Vì vậy, để quá trình điều trị diễn ra nhẹ nhàng, an toàn, hiệu quả bạn nên ưu tiên thực hiện tại nha khoa uy tín. Peace Dentistry là một trong những hệ thống nha khoa uy tín tại Tp.HCM. Ngoài những thế mạnh về niềng răng, trồng răng implant, thẩm mỹ răng sứ. Với đội ngũ bác sĩ giỏi tận tâm, trang thiết bị hiện đại, máy móc tiên tiến. Nha Khoa Peace Dentistry đang là địa điểm được đông đảo khách hàng tin tưởng để lấy tủy răng vì nha khoa đáp ứng được những tiêu chí sau:
Đội ngũ bác sĩ, chuyên gia RHM giỏi chuyên môn, tay nghề cao, giàu kinh nghiệm. Hầu hết các bác sĩ đã hoàn tất các khóa đào tạo sau đại học, các khóa học nâng cao, hội thảo nâng cao chuyên môn ở trong, ngoài nước và đã có chứng chỉ hành nghề. Để chữa tủy răng bạn sẽ được điều trị với bác sĩ tổng quát tay nghề cao, thao tác kĩ thuật chuẩn xác, an toàn giúp hạn chế đau nên bạn có thể hoàn toàn yên tâm.

(Đội ngũ bác sĩ, chuyên gia tại nha khoa Peace Dentistry)(**)
Nha khoa được đầu tư các trang thiết bị, công nghệ hiện đại được nhập khẩu trực tiếp từ nước ngoài như: ghế nha Kavo Premium Osstem, máy CT Cone Beam, máy Xquang 3 chiều kỹ thuật số Gendex GXDP-700 Series, Itero… giúp chẩn đoán nguyên nhân chính xác và hỗ trợ tối đa trong quá trình điều trị cho khách hàng.

(Hệ thống trang thiết bị, công nghệ tân tiến tại Peace Dentistry)(**)
Nha khoa sử dụng các vật liệu trám như composite, GIC, amalgam, sứ, vàng, kim loại quý, răng sứ Zirconia, …có nguồn gốc rõ ràng, nhập khẩu chính hãng 100%.
Phòng tiểu phẫu được vô trùng cự tím để tránh lây nhiễm chéo và đảm bảo an toàn cho khách hàng trong suốt quá trình điều trị. Ngoài ra các dụng cụ cũng đã được tiệt trùng, vô trùng bằng tia cực tím trước khi đem vào phòng tiểu phẫu.

(Khâu vô trùng luôn được đảm bảo nhằm tránh lây nhiễm chéo, đảm bảo an toàn cho khách hàng trong suốt quá trình điều trị)(**)
Để hạn chế mắc bệnh lý này bạn nên tuân thủ các chỉ định sau đây:
Chủ động chữa trị sớm các bệnh lý như sâu răng, viêm nướu, viêm nha chu ở giai đoạn đầu để tránh các biến chứng và đảm bảo ăn nhai, tính thẩm mỹ lâu dài.
Nên đánh răng từ 2 – 3 lần/ngày với bàn chải lông mềm và kem đánh răng chứa fluor. Lưu ý thao tác chải răng nên thực hiện nhẹ nhàng ở tất cả các răng. Sau đó nên kết hợp dùng chỉ nha khoa và nước súc miệng để loại bỏ hết các mảng bám, vi khuẩn trong khoang miệng.
Hạn chế ăn tinh bột, thực phẩm ngọt, đồ uống có gas, thức ăn chứa nhiều axit. Thay vào đó là ăn nhiều các loại rau xanh, trái cây, thịt, cá, trứng, sữa các loại để cung cấp đầy đủ vitamin, khoáng chất cần thiết giúp răng và cơ thể khỏe mạnh.
Nên duy trì thói quen khám răng định kỳ 6 tháng/lần để bác sĩ cạo vôi răng và tầm soát tổng quát sức khỏe răng miệng.
Nên dành nhiều thời gian để nghiên cứu và lựa chọn cơ sở nha khoa đáng tin cậy để trám răng, bọc sứ… Khi chữa trị tại nha khoa uy tín có trang thiết bị, máy móc hiện đại, đội ngũ bác sĩ giỏi, tay nghề cao, nhiều kinh nghiệm sẽ giúp bạn được an toàn, tránh biến chứng và tối ưu được hiệu quả chữa trị.
Hy vọng thông tin về viêm tủy răng có mủ ở trên đây của chúng tôi đã gửi đến bạn thật nhiều thông tin hữu ích. Để được tư vấn chuyên sâu quý khách hàng có thể inbox fanpage Peace Dentistry Quận 7 hoặc gọi hotline tư vấn dịch vụ: 19002102 để được bác sĩ tư vấn chi tiết nhất.
(Để lại thông tin và vấn đề về răng của bạn, Nha khoa sẽ gọi lại tư vấn ngay)